Российские врачи укрепили парню кости, чтобы он мог снова ходить
У Леши Чудакова редкая генетическая патология — несовершенный остеогенез. Его кости хрупкие и могут сломаться от собственного веса. Чтобы парень мог ходить, ему сделали операцию — установили в ноги специальный штифты. Но Леша рос, штифт не выдержал нагрузки и сломался. После этого ему вообще запретили опираться на ноги: обломки штифта могли раздробить кости.
Мы помогли оплатить операцию по замене металлоконструкции в ноге. Теперь Леша снова может ходить! Парень записал благодарность для всех, кто ему помог. Вы тоже посмотрите, порадуйтесь за Лешу и напишите пару добрых слов. Ему правда очень непросто, но он не унывает. А это дорогого стоит.
Случаи из практики: Несовершенный остеогенез
Всем привет!
Рубрика "Случаи из практики" не заброшена, у меня ещё вагон и маленькая тележка интересных случаев для демонстрации. Так что продолжаем.
Для тех, кто читает меня впервые: я - врач-рентгенолог и демонстрирую здесь случаи из моей рентгенологической практики. Занимаюсь я всеми модальностями (рентген, КТ, МРТ, рентгеноскопия, маммография, интервенции), но большинство представленных в данной серии случаев из КТ (компьютерная томография), так как именно это исследование зачастую делают первым в экстренных случаях (травмы, острые боли и т.д.).
Лирическое отступление: В своё время мне повезло проходить ординатуру по рентгенологии в небольшой (по российским меркам) больнице на порядка 500 коек города Нордхорн, что в Нижней Саксонии на границе с Нидерландами и землёй Северный Рейн-Вестфалия. Почему повезло? Да потому, что у нашей клиники был довольно большой регион охвата порядка 150 тысяч населения Графства Бентхайм, а также приграничных районов соседнего округа Штайнфурт и приграничной Голландии (провинция Оверейсел). В больнице был т.н. Stroke Unit (центр острых нарушений мозгового кровообращения), также региональный травмацентр + сильная педиатрия с нейропедиатрией и сосудистая хирургия, а также кардиология с сильной электрофизиологией, и всё везли с округи в первую очередь к нам, а у нас уже шло триажирование (распределение) пациентов на могём-не могём и, при необходимости, перевод в более продвинутые университетские или не очень клиники, которые, однако, находились примерно в 80 км от нас (Мюнстер или Оснабрюк), в крайних случаях переводили пациентов в Нидерланды, а именно в клинику города Энсхеде.
К чему столько лирики? Да просто к тому, что во время ординатуры я насмотрелся такого всяко-разного, во-первых, благодаря широкому спектру пациентов больницы, а во вторых из-за одной особенности данной местности: Grafschafter Inzucht или, по нашенски, инцест, который практиковался в регионе и на момент моей работы там. Нет, это не имело повальных характер, занимались этим в отдалённых деревнях, но последствия были видны: у нас была куча пациентов с разными врождёнными патологиями, начиная от безобидных полидактилий или синдактилий (дополнительные или сросшиеся пальцы), и заканчивая различными генетическими синдромами, которые проявлялись как умственной отсталостью, так и другими соматическими проявлениями.
Понимаю, что мозг, наверное, сейчас рисует картину из фильма про ядерный апокалипсис и толпы мутантов, но всё было не так ужасно. В повседневной жизни это как-то особо не замечалось, но замечалось на городских празднествах или ярмарках выходного дня, где вся эта братия выходила в свет.
Ну и понятно, что не всякая врождённая аномалия, которая встречалась мне в повседневной практике за время работы там, была результатом близкородственной связи (включая и представленный случай). Но и исключать это тоже нельзя было. А открыто об этом никто не говорил, не любили афишировать это дело.
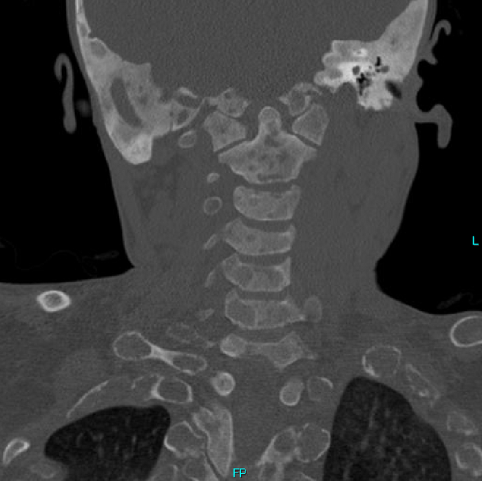
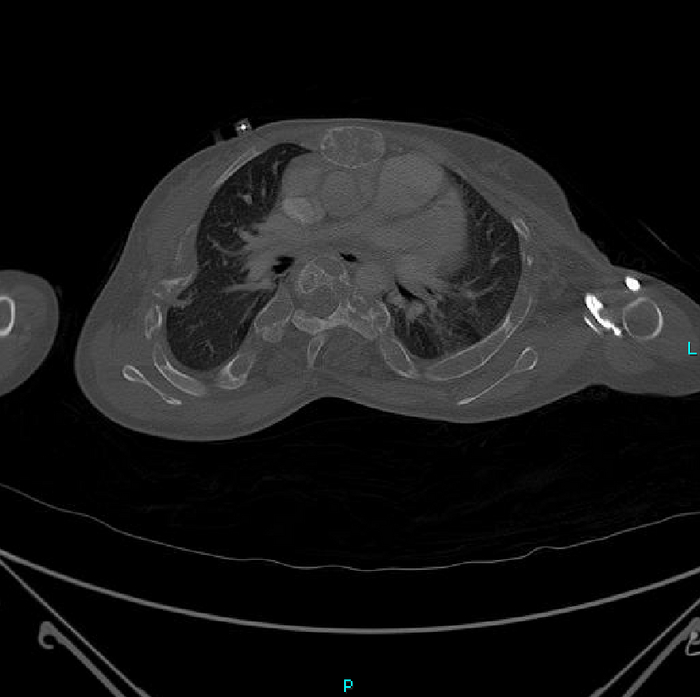
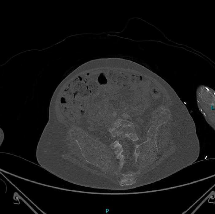
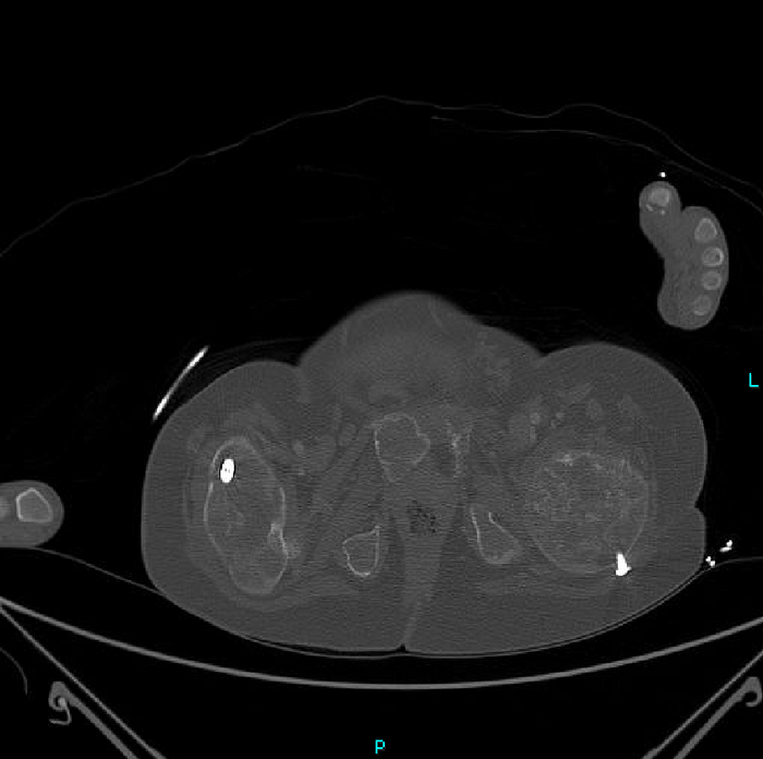
Но вернёмся к случаю: Пациент - девочка, 15 лет. Поступила после ДТП. У нас было проведено КТ-обследование по протоколу политравмы (голова / шея / грудь / живот / таз), где свежих переломов обнаружено не было, но были непонятные леденцы с костями, а именно структура и форма костей со следами старых переломов (грудная клетка и таз с бедренными костями) и, как следствие, их деформацией + следы проведённого остеосинтеза (операция с последующей фиксацией кости тем или иным способом) обоих бедренных костей. Сегодня без пометок / стрелочек, так как картинки говорят сами за себя (всё в костном окне, и всё, что мы видим - кости):
Структура костей напоминала таковую при фиброзной дисплазии (аномалия развития костной ткани с замещением нормальной кости фиброзной тканью, не является опухолью), но, обычно, эти диcплазии возникают в одном месте, т.е. поражают 1 кость (моностотическая форма) и, намного реже, бывают множественные поражения (полистотическая форма), но не всего скелета, как в нашем случае.
Ответ нашёлся в истории болезни пациентки, в анамнезе:
По недавним данным за 2022 года в Германии насчитывалось около 4 000 пациентов с этим диагнозом. В России точных данных нет, но по информации из этого источника, в регистре Минздрава на 2013 год состояло порядка 700 пациентов с данным заболеванием, база данных фонда "Хрупкие люди" насчитывает более 600 пациентов. В Швейцарии насчитывается от 300 до 400 пациентов с этим недугом. А по всему миру задокументировано порядка полумиллиона больных Osteogenesis imperfecta.
На этом всё. Всем хорошей недели и до новых встреч в эфире.
Сегодня отмечается Международный день «хрустальных» людей
«Хрустальные» люди родились с тяжелым генетическим заболеванием. Для них каждое движение — это риск получить перелом, настолько хрупкие кости. Даже простые радости вроде объятий с близкими и то с особой осторожностью.
Но и с таким диагнозом можно жить полной жизнью. Паша — яркий пример. «Хрустальный» ребенок с железным характером. Репортаж Ольги Паутовой:
«Не бойтесь меня сломать!»
Сколько у Дианы было переломов? «После шестидесяти мы перестали считать», — отвечает очень смелый человек, Дианин папа.
Первые семь переломов Диана получила во время рождения — хрупкие кости крошечной девочки не выдержали прохождения через родовые пути. Врачи, увидев такого ребенка, тут же предложили родителям оставить ее и родить себе «здорового», но так вопрос в семье даже не стоял. Родителям было больно, страшно и безумно жалко свою девочку, хотелось ей помочь, но как правильно ухаживать, они не знали. 15 лет назад фонд «Хрупкие люди» еще не появился и про Дианино редкое генетическое заболевание — несовершенный остеогенез, при котором костная ткань истончается и все время случаются переломы, информации почти не было. А стандартов лечения и реабилитации в России нет и сейчас.
Первые годы жизни Диана в прямом смысле слова провела в гипсе. Сначала в больницах, потом родители стали отказываться от госпитализаций и ухаживали за ней дома. Чтобы кости срастались правильно, девочку клали на вытяжку — подвешивали сломанную конечность. Пока зарастал перелом на ноге, ломалась рука. Иногда сразу в нескольких местах, часто со смещением. Ребра, бедра, пальчики — кажется, ни одной неповрежденной кости у нее не осталось. Сколько всего было переломов, посчитать невозможно.
Сейчас Диана совсем небольшого роста, и не сразу понятно, сколько ей лет, — люди с этим диагнозом высокими не вырастают. Но яркий макияж, модные очки в черной оправе, которые все время сползают на кончик носа, и она кокетливо поправляет их тыльной стороной запястья (на самом деле ей просто так удобнее, потому что из-за многочисленных переломов часть суставов работает неправильно), уверенный и даже дерзкий взгляд выдают в ней подростка.
«Мне не нравится, когда меня начинают опекать, я абсолютно нормальный человек! Меня можно обнимать, можно пожать мне руку, меня не нужно бояться сломать. Но когда я прихожу в школу с гипсом, друзья сразу вспоминают, что я хрупкая, и боятся дотронуться. Меня это раздражает». Диана хитро улыбается и рассказывает, как недавно поссорилась с мальчиком в классе и «дала ему леща». И в споре победила, и рука не сломалась. «Люди не понимают, что, если кость станет тонкой, она сломается в любом случае, и это не зависит от того, тронет меня кто-то или нет».
В комнате Дианы много фотографий — на Красной площади с друзьями, в школе с классом, на прогулке, в кино, в «Макдоналдсе», на море, в лагере фонда «Хрупкие люди», куда она ездит два раза в год. Девочка живет интересной, насыщенной жизнью, за которую много лет боролись ее родители. «Нам было очень важно отдать ее в школу, чтобы она училась с другими детьми, общалась, заводила друзей. Было трудно представить, как Диана с ее характером может всю жизнь просидеть дома, — вспоминает Вячеслав. — Но в Нижнем Новгороде, где мы тогда жили, никаких условий для детей с инвалидностью в школах не было. И мы носили ее на уроки на руках — первые два года я, потом еще два года — бабушка. Приносили в класс, сажали на стул. Во время урока ждали в коридоре, а на переменах бегали с нею на руках с остальными ребятами».
Днем Вячеслав ходил со своей хрупкой малышкой в школу, потом работал таксистом, сторожем, кем придется. Его зарплата сокращенного военнослужащего была 15 тысяч рублей, а на Дианины капельницы, которые укрепляют кости, нужно было 18 тысяч раз в четыре месяца. Получить лечение бесплатно невозможно и сейчас — препараты, которые назначают таким детям за границей (бисфосфонаты), в России не сертифицированы. О них знают немногие врачи, а родители узнают от сотрудников фонда «Хрупкие люди». Получается, что состояние ребенка полностью зависит от благосостояния семьи и от готовности родителей «пробивать головой стену». Для папы и мамы Дианы преград не существует.
Получив квартиру, Вячеслав демобилизовался из армии и устроился на работу в финансовый контроль. Сначала в Нижнем Новгороде, а потом и в Москве. «Было ясно, что дома оставаться нам смысла нет. Там она никогда не сможет быть самостоятельной — просто в городе нет условий. И мы переехали. Нашли школу с доступной средой, сняли квартиру неподалеку и купили ей первую коляску. Она была очень горда, что теперь сама все может», — рассказывает Вячеслав. Сейчас папа выбирает для своей любимицы институт. Диана хочет быть то журналистом, то режиссером-постановщиком, то бьюти-блогером. Но приходится думать не о том, какое выбрать направление, а о том, есть ли в здании доступная среда.
Диана заканчивает девятый класс, и на выбор профессии время еще есть. А пока что ей предстоит операция в Германии. У девочки сильный сколиоз — позвоночник изогнут волной, и, если его не укрепить, станет еще хуже. Семья накопила денег и на саму операцию, и на дорогу, и на проживание. А если будут осложнения или план лечения изменится (что возможно), то на помощь придут «Хрупкие люди».
📷: Станислава Новгородцева для ТД
«Себя пожалей»
Ни один врач не мог помочь Алексею. Он без конца ломался. Медики не понимали, чем он болен. Алексею пришлось пройти «ад» и «жуть», чтобы встать на ноги.
«Хрупкий» — последний эпитет, который приходит в голову при виде сорокалетнего Алексея. Он все делает быстро, ловко и уверенно: ходит, говорит, водит машину. А еще пишет маслом завораживающие морские и реалистичные урбанистические пейзажи, проводит мастер-классы по живописи, выполняет сложные заказы в онлайн-студии графического дизайна. У Алексея — несовершенный остеогенез пятого типа. Это генетическое заболевание, при котором в организме нарушена выработка коллагена, а из костей вымывается кальций. Результат — человек ломается от любого неловкого движения. Поэтому Алексей действительно хрупкий.
В его родном Сочи о таком редком заболевании не знали. Каждый раз семья проходила один и тот же круг: перелом, гипс, уколы, месяц без движения у мамы на руках, кратковременная свобода, перелом и все сначала. Мама, преодолев страх, все же отправила «хрустального» сына в школу, и в целом жизнь от перелома до перелома была более-менее обычная, временами даже счастливая. Одноклассники, правда, боялись необычного мальчика, избегали: вдруг сломается — неудобно будет. Алексея позиция изгоя не устраивала: в попытке показать свою «нормальность» он провоцировал конфликты, один из которых поставил на обычной — счастливой — жизни крест. Драка, перелом бедра, гипс, контрактуры. Ноги перестали гнуться, в жизни Алексея начался настоящий ад. Врачи по незнанию действовали топорно, «хрупкий» мальчик превращался в инвалида.
«Ноги у меня согнулись — и все. А потом их стали выпрямлять, без всяких уколов. Я был в поясном гипсе, жуткие пролежни. Это был ад. Ногу через боль разогнули, и эта боль сохранялась, и я лежал на кровати в этом гипсе. Это было жутко просто. Я кричал, плакал. Они (врачи) пытались через боль ее выпрямить. Позже я пошел в школу, с костылями. Садился за парту, сидел эти сорок минут, и у меня опять все возвращалось — приходил домой и выпрямить не мог. В итоге ноги мне совсем перекрутило, я превратился в лежачего. Мне было десять лет», — вспоминает Алексей.
Постоянная боль выматывала, но самые острые страдания Алексею доставляло одиночество. Из дома он почти не выходил, друзья заглядывали нечасто. Лежа в четырех стенах, Алексей стал рисовать. Наивное увлечение переросло в настоящую страсть, которая после школы привела Алексея на отделение живописи в техникуме реабилитационного центра для инвалидов. Несмотря на успехи в творчестве, жизнь в техникуме, к которому Алексей никак не мог адаптироваться, напоминала концлагерь.
«Он (техникум) интернатного типа, я там пять дней в неделю проводил, сначала лежал в палате и рыдал, думал, что меня в интернат сдали, я никому больше не нужен. А потом друзья появились, пришла Лена, и вообще жизнь наладилась. Я ее потом спрашивал: «А за что ты меня полюбила? Такой вот я весь невзрачный, ноги искореженные, на коляске сижу». Она говорила: “Ты веселый”». Через год после свадьбы у пары родилась дочка Лиза. Абсолютно здоровая.
Потом в его жизни появилась вторая очень важная Лена. Мама «хрупкой» девочки Елена Мещерякова в то время только-только создала первый в России специализированный фонд помощи людям с несовершенным остеогенезом. Елена сама нашла Алексея через общих знакомых, пришла к нему на выставку. Он стал автором первого логотипа «Хрупких людей». Через несколько лет Елена стала опорой и поддержкой Алексея, когда умерла жена, и для него, всегда вдохновленного художника, свет, казалось, померк навсегда.
Алексей боролся с отчаяньем как мог: молился, старался беречь себя, ведь он теперь один у дочки. Но чувствовал: этого недостаточно. И тут Елена Мещерякова, которая, кажется, чувствует своих «хрупких» подопечных на расстоянии, снова ему позвонила и предложила: «Леш, а приезжай к нам в лагерь?» Так Алексей впервые оказался в одном из реабилитационных лагерей фонда «Хрупкие люди», где диагноз — не приговор и не клетка, из которой нет выхода, а знак принадлежности к большой семье, где тебя понимают и принимают безоговорочно. Жалеть себя было некогда — Алексей приехал в лагерь в качестве наставника, давал ребятам уроки живописи. Он помогал лагерю, а лагерь — ему. Вернулось ощущение собственной нужности, важности, общей цели, дружеского плеча. Плеча, которое ему всегда подставляла жена — его тонкая, нежная Лена.
Фонд «Хрупкие люди» под руководством Елены Мещеряковой ежегодно организует реабилитационные лагеря для детей с несовершенным остеогенезом и их родителей. Здесь есть все, что им нужно и чего так не хватает в обычной жизни: они купаются в море (многие — впервые), снимают клипы, поют песни, заводят друзей и обсуждают то, что обычным сверстникам не объяснишь. А еще получают квалифицированную медицинскую помощь: в лагерях работают врачи-реабилитологи. Родители ходят к психологу, проговаривают все самое острое и наболевшее, учатся более чутко взаимодействовать со своими «хрупкими» детьми.
📷: Мария Ионова-Грибина
Вслед посту "Болезнь «Хрустального Человека»
Начальный пост: Болезнь «Хрустального Человека» или сломанная жизнь
Есть у меня приятель, довольно давний, профессионально близкий к теме начального поста. Он врачом в учёном институте работает, что в Харькове. Периодически рассказывает про интересные моменты своей работы, в том числе и про "хрустальных" пациентов. Кстати, в исходном посте допущена неточность: сломанные кости у таких людей срастаются, как правило, быстрее, чем у обычных.
С хирургической стороны давно назрела идея, что для механического укрепления "хрустальных" костей нужно вставлять в них металлические стержни. Проблем было несколько. Первая - оперировать нужно до того, как ребёнок вырастет, а следовательно, имплантируемая конструкция (словосочетание-то какое красивое!) должна "расти" вместе с дитём. Ну, тут решение простое. Всем известны телескопические конструкции на манер раздвижной антенны приёмника. Проблема вторая состоит в том, что для восстановления правильной ориентации ноги или руки во время установки конструкции в кость, ранее сломанную далеко не один раз, приходится снова ломать, часто в нескольких местах, и собирать в правильном положении, буквально нанизывая по частям на металлический стержень. Сравнение, произнесённое дружбаном, я не стану здесь приводить, сами знаете, какие у медиков шуточки бывают циничные! Так вот, на этом этапе возникает другая проблема: части костей не должны вращаться после операции, т.е. должны быть "ротационно стабильными". И вот эта-то проблема и была решена харьковскими врачами. Решение оказалось вполне простым и на сегодняшний день по этой методике пролечен уже не один десяток пациентов. Понятное дело, что всех тонкостей лечения я не расскажу в силу отсутствия профильного образования, а фотками своих пациентов друг не поделится по этическим соображениям.
И, цитирую, : "там в посте на снимках остеосинтеза - лажа, не хрустальная болезнь, а ложный сустав, но в принципе, технология похожа. А больные - да, и склеры голубые и кости так порой посрастались, что без слёз не глянешь!"
Все заинтересовавшиеся могут поискать "Харьков институт Ситенко". Поделитесь, вдруг кому нужно, ибо не реклама, а информация.
Специально спросил, возможно ли приехать из ex-СССР, на что отвечено, что да, приезжают, из России, Беларусии, Казахстана, из Прибалтики кто-то был.
P.S. Автору исходного поста СПАСИБО! Материал интересно и качественно подготовлен, а мелкие неточности здесь простительны.
Болезнь «Хрустального Человека» или сломанная жизнь
Это генетическое нарушение, главное проявление которого - повышенная ломкость костей.
У людей, которые страдают от такого заболевания, перелом может произойти даже под тяжестью одеяла, поэтому их называют "хрустальными" или "стеклянными". В организме больных либо недостаточно коллагена - белка составляющего основу соединительной ткани и обеспечивающего её прочность и эластичность, либо его качество не соответствует норме.
Видео-версия:
История изучения:
Официальное название этого заболевания несовершенный остеогенез(костеобразования) или болезнь Лобштейна-Вролика.
Этот порок развития известен давно, однако в отдельное заболевание его впервые выделил Лобштейн, который наблюдал заболевание после рождения детей. Вролик дополнительно описал внутриутробное появление ломкости костей. Однако существенного значения выделение этих форм не имеет, так как различие заключается лишь в интенсивности заболевания и времени проявления патологических изменений. Болезнь передается по наследству от родителей, однако, возможна и индивидуальная спонтанная мутация.
Жан Жорж Лобштейн (1777-1835):
Коллаген в организме:
Четыре основных типа заболевания:
I тип наиболее частая и лёгкая форма, при котором Коллаген нормального качества, но вырабатывается в недостаточных количествах. 2, 3 и 4 типы протекают более тяжело.
При II типе коллаген недостаточного количества и качества. Большинство пациентов умирает на протяжении первого года жизни по причине дыхательной недостаточности или внутричерепного кровоизлияния.
При III типе коллаген в достаточных количествах, но недостаточного качества. У новорожденного представлены лёгкие симптомы заболевания, которые прогрессируют в процессе жизни.
IV тип похож на первый но протекает в более тяжелой форме. В конечном итоге общий признак для всех типов одинаков: кости очень легко ломаются и очень трудно срастаются и заживают. Следствием длительного заживления нередко становятся различные деформации, существенно затрудняющие передвижения. У детей с ранней формой заболевания отмечаются несовместимые с жизнью внутричерепные родовые травмы, синдром дыхательных расстройств, респираторные инфекции. Поздняя форма несовершенного остеогенеза характеризуется типичной триадой симптомов: повышенной ломкостью костей, главным образом, нижних конечностей, синевой склер и прогрессирующей тугоухостью.
Пример синевы склер:
Девушка больная несовершенным остеогенезом:
Есть ли лечение?
Так как несовершенный остеогенез является генетическим заболеванием, возможные формы терапии ограничиваются исключительно симптоматическими методами лечения.
Применяются и хирургические ортопедические методы, например, остеосинтез при помощи телескопических штифтов, вводимых вовнутрь кости в детстве и «растущих» вместе с ней. Физиотерапия, которая сводится к улучшению мышечного каркаса, а также совершенствованию координации, что позволяет избегать падений, а значит и переломов. Хороший эффект показывает гидротерапия, особенно для ускорения заживления уже существующих переломов. Пациенты принимают витамин Д3 и препараты кальция.
Наличие в семье больных с несовершенным остеогенезом служит прямым показанием к медико-генетическому консультированию. В настоящее время примерно в 90% случаев можно достоверно установить наличие или отсутствие дефектов в генах, отвечающих за те или иные аспекты синтеза коллагена. Современная генетика позволяет проводить подобную диагностику еще в утробе матери.
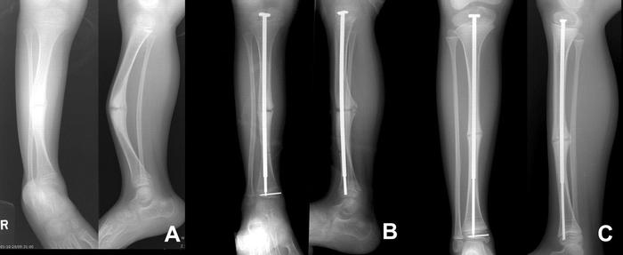
Остеосинтез при помощи телескопических штифтов:
Болезнь хрустального человека в кино
Таким заболеванием, например, страдал полицейский эксперт, герой Сэмюэля Л. Джексона в фильме «Неуязвимый» (2000 г), коллеги называли его «мистер Стекло». Оно было и у дедушки-художника из фильма «Амели» (2001 г), за что соседи прозвали его «Стеклянным Человеком».
Спасибо, что дочитали до конца!
Про болезнь хрустального человека в книгах:
Про эту болезнь и морально-этические проблемы, связанные с ней, есть очень хорошая книга. Джоди Пиколт "Хрупкая душа"
#comment_196313185
А ещё есть книга Антона Борисова «кандидат на выбраковку», где человек с этим заболеванием рассказывает про себя и свою жизнь
Для тех кому оказалось мало:
Фосфорный некроз или проклятие спичечных фабрик 19 века
Бешенство – смертный приговор или как вакцина подарила шанс на жизнь































