Случаи из практики: пломба замедленного действия
Всем привет!
Потихоньку продолжаю публиковать интересные (на мой взгляд) случаи из моей рентгенологической практики. И сегодня поговорим о пломбах, но не с уклоном в стоматологию, а больше в пульмонологию (заболевания лёгких).
Для тех, кто читает меня в первый раз, представлюсь: я - врач-ренгенолог, публикую здесь случаи (все данные пациентов удалены, т.е. всё строжайше анонимно) из моей ренгенологической практики в соответствующей серии.
Пациент, 79 лет, направлен коллегой-терапевтом на компьютерную томографию органов градной клетки с жалобами на хронический кашель с мокротой. В анамнезе ожирение, сахарный диабет, стенокардия.
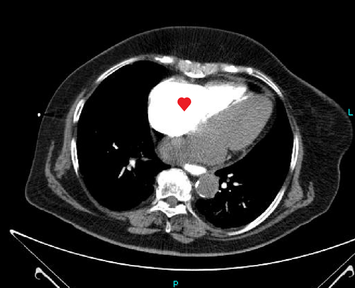
По КТ в мягкотканном окне (специальные настройки яркости и контраста для лучшего отображения мягких тканей) определялись увеличенные лимфатические узлы в средостении справа паратрахеально, в области корня правого лёгкого и инфракаринально (ниже места "разделения" трахеи на правый и левый бронх):



1 и 2: аксиальные срезы, 3 - корональная реконструкция; лмф.узлы - красные стрелки
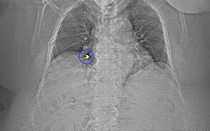
В лёгочном окне - очаги консолидации ("уплотнения" лёгочной ткани) в постеробазальных (задне-нижних) отделах правого лёгкого (на ренгенснимках и КТ, а также МРТ та часть, что на мониторе расположена слева - всегда правая сторона пациента). На последнем снимке серии ниже (сагиттальная или боковая реконтрукция) были непонятные артефакты, как от металла:):




Переключаемся на "костное" окно (позволяет луче оценить кости и прочие плотные структуры), где реально видим "металлический" предмет в просвете правого нижнедолевого бронха:



сагиттальная, аксиальная и корональная реконструкция
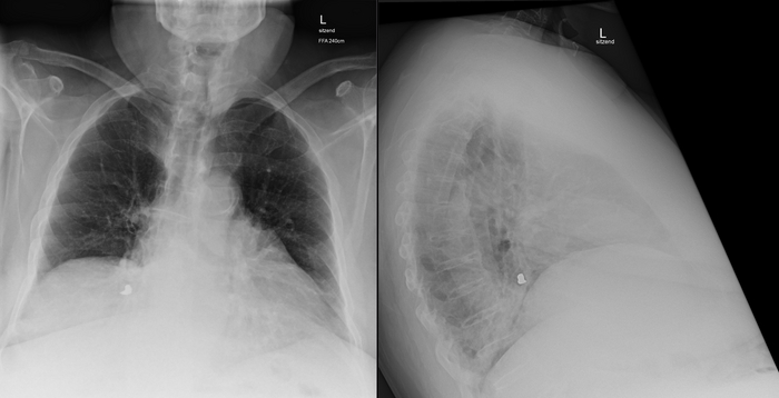
Рестроспективно отмечаем этот предмет на топограмме (а-ля снимок части тела для дальнейшего планирования обследования):
Также образование хорошо визуализируется на рентгеновских снимках, сделанных пару дней спустя:
Т.е. скорее всего имеет место быть аспирация (случайное "вдыхание") инородного тела (я предположил зубную коронку) с перекрытием бронха и развитием гиповентиляционного синдрома с пневмонией.
С таким предположительным диагнозом больной был направлен на бронхоскопию, в процессе выяснилось, что инородным телом являлась случайно выпавшая пломба из амальгамы:
Контрольный снимок через пару месяцев после удаления пломбы из просвета бронха показывает отсутствие инородных тел в проекции воздуховодных путей, а также практически полное "рассасывание" пневмонии:
На этом закругляюсь.
Если есть вопросы - пишите. Увидели грамматическую / иную ошибку в тексте - дайте знать: исправлю, пока не поздно.
Всем хорошей недели!

































































