Печальный джекпот, или Как увлекательно провести 6 часов в операционной
Всем привет. Наконец-то расскажу про редкую категорию пациентов, с которыми тесно познакомился в процессе написания диссертации.
Язвенный колит, к счастью, встречается не у каждого встречного-поперечного, даже несмотря на поедание всякой фаст-фудной гадости. Успехи современной фармакологии позволяют избежать хирургического лечения (шонибуделимабы появляются каждый год).
Но...
Если воспаление сохраняется длительно (годами и десятилетиями), то вероятность развития колоректального рака резко возрастает.
Обычный колоректальный рак растет из полипа. Но не при язвенном колите. Этот же рак, хотя и такой же на микроуровне, растет отовсюду. Язвенный колит поражает всю толстую кишку, соответственно, вся толстая кишка превращается в опухоль. Поэтапно.
Документы из дела. Молодая красивая женщина. Язвенный колит более 20 лет, лечение периодическое. При очередном обследовании выявлен стеноз (сужение) сигмовидной кишки, при этом никакой опухоли не было видно. Биопсия "на всякий случай" - аденокарцинома. По КТ "ничего не видно", кроме воспалительного инфильтрата в правых отделах, куда не смогли дойти эндоскописты из-за стеноза. Такую картину я уже видел, к сожалению, и тогда был не готов к последующему ужасу... Это так прячется рак на фоне колита. В общем, у меня личные подозрения были, но доказательств пока нет.
Метод хирургического лечения при язвенном колите? Тотальное удаление толстой кишки.
Метод хирургического лечения при колоректальном раке? Удаление части кишки с опухолью и лимфодиссекция (удаление лимфоузлов).
Объединяем, и получаем тотальную колпроктэктомию с комплексной лимфодиссекцией. Операция переходит в категорию "эпичная".
Чем закончить? Концевой илеостомой - надёжно, но не все готовы потом в мешок на пузе какать пожизненно. Либо придется вспомнить про илеорезервуар.
Технология следующая: из конца тонкой кишки делаем заменитель толстой кишки (условный), потом подшиваем его к анусу. Звучит просто, но есть масса нюансов: не всегда получается сделать, дотянуть, не всегда приживается...
Операция переходит в категорию "легендарная". Ну ладно, "эпик+", если центр федеральный.
Почему не лапароскопически?
1. Девочка худенькая, а висцеральной жировой клетчатки многовато.
2. У нас есть terra incognita справа, надо щупать, а при лапароскопии это не всегда доступно.
3. Время операции ещё больше.
Поэтому пошёл классически, через лапаротомию. В куполе слепой кишки сидела опухоль (к диагностам потом сходил и рассказал в порядке обратной связи). Убраны все лимфоузлы (некоторые до 2 см!), сосуды очищены, D3 лимфодиссекция по всем направлениям. И тонкокишечный резервуар, который был успешно подшит на место. На время его заживления выведена временная стома на пару месяцев. Всё нужное сохранено, всё лишнее удалено.
Операция заняла 6 часов 10 минут.
К вопросу о брутальных хирургах и многочасовых операциях - мне ассистировали две Анастасии (Андреевна и Олеговна). Самую ответственную часть - формирование циркулярного анастомоза (соединение резервуара и ануса) - не сговариваясь, доверили Лилии Олеговне Полищук, онкологу-колопроктологу с огромным опытом. Всю операцию беспробудным сном спал неустанно пел колыбельные пациентке наш анестезиолог Гайк Георгиевич :-)
Жестяные фото в соседнем посте
Пациентка довольно быстро оправилась от операции и через полторы недели отправилась домой (это еще к вопросу о лапароскопии).
Гистологическое заключение: T3N0M0 без факторов риска, 2 стадия. Пограничная ситуация, оценим MSI и решим, надо ли профилактическую химиотерапию или не надо.
Внимательный читатель скажет - э, брат, тут же слепая кишка, а ты там про сигмовидную говорил... И то верно. Патоморфологи обыскали всю кишку, но расценили ту находку как рак сигмовидной кишки in situ. По сути это и есть мультифокальный рост (в разных местах одновременно).
Если по контрольной резервуарографии будет всё хорошо, то скоро уже уберем стому.
Пожалуйста, лечите язвенные колиты вовремя, чтобы потом не приходилось делать подобные операции.
Кстати, при тяжелом язвенном колите без рака вполне возможно делать такие операции. И еще подобные операции очень хорошо получаются при семейном аденоматозном полипозе.
Кто говорит, что "это не жизнь"? Резервуары действительно не являются полноценным заменителем толстой кишки, но у 75% пациентов состояние удовлетворительное (мягкий стул 3-4 раза в день). Можем обсудить, редко кто отказывается от такой попытки.
Я работаю оперирующим врачом-колопроктологом/хирургом/онкологом в Москве (контакты и дипломы в профиле).
Если есть вопрос по проктологии, то можно задать их в телеграм @drkitsenko (бесплатно).
Если интересуют трофеи из оперблока, то заглядывайте в тележку с препаратами (тоже совершенно безвозмездно можно поглазеть).
Ну а если вам что не так, то насильно мил не будешь. Пользуйтесь Игнором, сам использую и вам советую.
Продолжение поста «Починил дупу»2
Короче прошел 71 день уже с первой операции
все в целом зажило и появились на месте трещины и на месте 2х свищей рубцы все крута
а вот где то пол месяца месяц назад стал замечать ( словил не то что бы запор а просто тужился что б на работе в туалет не хотелось думаю ну утром выдавлю из себя все что есть ) и короче видимо повредил кожу на месте полипа и получилась там ранка
на стерильных салфетках стал замечать выделения светло-желтые и бурые по типу гноя может хз или сукровица так выделяется из ранки ну не пахло особо как говорят пахнет тот же гной
сходил к врачу осмотрел говорит все зажило кроме этой ранки давай ка свечи проктолгивенол 10 дней и мазь стелланин 3% на те же 10 дней утром и вечером. А и самое главное диету без мучного и всего вредного что стул твердым делает
цель короче зажила что б ранка не нужно ее тревожить
я законопослушно ставил утром вечером свечи и мазался мазью как показано было
2 фаланги пальца внутрь и проворот с нанесенной мазью в сторону ранки ( тяжко давалось я делал по другому иногда. брал свечку и обильно мазал мазью и запихивал на 5 минут держал пальцем пока подрассасется в районе ранки и потом пропихивал дальше и она как в вакуум затягивалось в глубины моего бытия ХЫ )
диету особо не саблюдал старался ограничивать мучное но все равно жрал яки боров
это меня я так думаю и подвело
за 10 дней конечно не зажило ничего. на работе питание булки да что в ларьке урву то и хавал
короче мусорная еда
где то день на 15 - 20 я попал ( сегодня к доктору )
он мне сказал что ранка начала заживать но все же кровит если на нее воздействовать
и скомандовал медсестре нести там штуку которая прижигает это все дело
укол говорит не стоит делать ранка не такая великая что б обезбаливать потерпишь + она не у самого начала находится а чуток поодаль от выхода(входа) и там нет нервных окончаний
ну всеравно пару раз 2 подвизгнул когда началось выжигание
вы когда нибудь по дереву выжигали? или лупу держали в детстве на коже когда солнце светило
вот примерно такое ощущение ожога
ну кратковременно не дольше секунды двух и так раза 2-3 мне прижег капиляры
поставил повязку с мазью вишневского + продолжать стелланин и чередовать их утром одно вечером другое
вишневского воняет говорит советую ее на ночь а то на работе будешь этим составом пахнуть он сильно вьедливый
ну и разумеется нужно наладить питание
короче думаю теперь точно заживет 😊
Хламидийный проктит
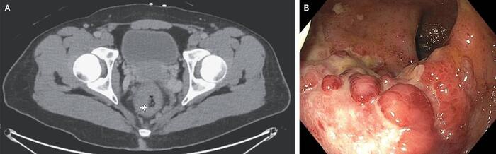
26-летний мужчина обратился в отделение неотложной помощи с 1-недельной историей лихорадки и кровавого стула. У него был восприимчивый анальный секс без презерватива с новым партнером-мужчиной за 3 недели до обращения. При физическом осмотре был небольшой внешний геморрой, но без боли в животе, поражений половых органов или паховой лимфаденопатии. Компьютерная томография таза показала утолщение стенки прямой кишки (фото А, звездочка) и периректальную лимфаденопатию — результаты, которые указывают на инфекционный проктит, воспалительное заболевание кишечника или рак прямой кишки. Последующая гибкая сигмоидоскопия показала узелковую слизистую оболочку с эритемой и язвой в дистальном отделе прямой кишки (фото B).
Биопсия была отрицательной на рак. Тест на амплификацию нуклеиновой кислоты для Chlamydia trachomatis, который был проведен на ректальном мазке. Был установлен диагноз хламидиозного проктита. Тестирование на другие инфекции, передающиеся половым путем, выявило положительный результат на вирус иммунодефицита человека с количеством клеток CD4 551 на кубический миллиметр (справочный диапазон, от 560 до 1840) и вирусной нагрузкой 129 000 копий на миллилитр (нижний предел обнаружения, 20). Начато лечение доксициклином и антиретровирусными препаратами. Через пять дней симптомы были купированы.
Перевёл и опубликовал: Немедицина
Колоноскопия - не про страх и не про стыд
Знаю, эта тема у многих вызывает беспокойство, но на деле в ней нет ничего страшного. Регулярно делать колоноскопию значит заботиться о себе и своём здоровье.
Переделывать - дороже. Реставрация ануса, рецидив геморроя и Лонго
Никто не любит переделывать чужую работу.
Я тоже (как врач-проктолог).
Особенно это актуально для попы, потому что бесконечно исправлять и улучшать её не надо. Те же бахромки я не люблю корректировать по 10 раз.
Но иногда приходится заниматься практически реставрацией.
На приеме пациентка с геморроем и болью, страшной, изматывающей. А ещё кровища.
История весьма показательна. Беспокоил даму геморрой: узлы выпадали, иногда болели, изредка кровоточили.
Пошла дама в больницу, где окопались ещё и научные кадры, и там ей предложили сделать операцию Лонго, потому что у неё все беды от выпадающего геморроя. А Лонго-аппарат узлы подтянет, сосуды пересечёт, боль уберет, заодно омолодит и посуду в доме перемоет, но последние пункты - это неточно. Сомнения, конечно, были... Но ей предложили сделать операцию эту не платно за 100.000 рублей, а по высокотехнологичной квоте.
Как же я люблю это - геморрой по квоте. Вот вам ссылка на приказ по квотам. Найдите там геморрой. Когда вам говорят "геморрой по квоте", он либо по ОМС, и просто с барского плеча кто-то решает позволить вам воспользоваться правом сделать это по направлению (вариант реальный), либо учреждение за это само платит (вариант почти фантастический).
Сделали, в общем.
Узлы выпали обратно почти сразу. Боль как появилась после операции, так и не уходила. На третий день началось кровотечение, которое пришлось останавливать прошиванием в экстренной больнице, что усугубило страдания.
И ничего не заживало.
Естественно, она спросила у научных авторов, мол, господа, что происходит и почему малоинвазивное лечение офигительно болезненное и до ужаса инвазивное?
- Отстаньте, мы тут науку творим, а вы нам тут статистику портите, и вообще бесплатно всё было, поэтому нечего с нас требовать, - ответствовали учёные мужи.
Долго ли, коротко ли, но по сарафанному радио она дошла до меня.
Осмотрев разруху в анальном канале, я приуныл. Скрепки, наросты, адская боль, узлы снаружи и внутри.
Спросил у коллег из других клиник, был ли у кого опыт восстановления ануса после Лонго. Те единодушно сказали, что надо отправлять на исправление авторам, а туда самому лучше не лезть, ибо "кто последний, тот и папа". Логично, но человеку от этого легче не станет.
После долгих раздумий, черчения планов атаки, мозгового штурма и поисков любой полезной информации мы всей командой решились взяться за дело. Ну как всей. Старшие коллеги дружно сказали "нафиг нужно" и попросили их не привлекать к этому разврату. Пациентку мы предупредили, что в её ситуации никаких обещаний дать не можем, даже приблизительно.
Что было в итоге сделано (это на основной операции, а были ещё подготовки и ревизии после вмешательства):
Грануляции иссечены.
Незаживающие поверхности зачищены с оставлением островков эпителизации.
Наружные узлы удалены.
Внутренние узлы - тоже.
Скрепки убраны, что нашли.
Хроническую трещину, которая появилась уже после Лонго, также убрали.
Восстановление шло тяжко, конечно. Но подбор препаратов мы провели сообща и не хуже клинического фармаколога. Как результат - болевой синдром стал снижаться.
Через месяц состояние пациентки перешло из "я в аду" в "хорошо-то как...". Боли минимальные и после стула, кровь изредка ещё появляется. При осмотре многие раны зажили, внешний вид также порадовал (и нас, и пациентку). Но и эти жалобы постепенно уходят. Конечно, гарантировать, что всё так и дальше будет, я не могу. Но тенденция очень даже хорошая. Пациентка довольна, это главное.
А теперь о печальном. Вся эта переделка вышла пациентке в 500.000 рублей (уже) и может возрасти (с учётом обследований и всего прочего). Сделать с нуля в самом лучшем варианте, если бы не было самой первой операции Лонго - в 2-3 раза меньше.
Но из хорошего - в её случае переделывать оказалось просто ощутимо дороже. А были пациенты, кому я категорически отказывал, хотя предлагали намного больше... Потому что им уже не помочь.
А решил я рассказать эту историю по простой причине - увидел в контекстной рекламе одного из этих ученых. Предлагает обучить правильной методике прошивания геморроя по методу аппаратной мукопексии (т.е. Лонго). Так что скоро по российским клиникам побегут врачи, обученные дестрою ануса с помощью флюгегехаймен Лонго. Готовьтесь.
Мораль: даже если предлагают что-то бесплатно (или по квоте, или по ОМС), узнайте чуть больше про метод. Уточните у других проктологов. Вон, спросите @vadbel1310, он подтвердит, что это зубов у вас до 32, а анус точно один. И не ищите приключений на свою пятую точку.
Я работаю оперирующим врачом-колопроктологом/хирургом/онкологом в Москве (контакты и дипломы в профиле).
Если есть вопрос по проктологии, то можно задать их в телеграм @drkitsenko (бесплатно).
Если интересуют трофеи из оперблока, то заглядывайте в тележку с препаратами (тоже совершенно безвозмездно можно поглазеть).
Ну а если вам что не так, то насильно мил не будешь. Пользуйтесь Игнором, сам использую и вам советую.
Ответ на пост «Коллеги, с днём проктолога»1
А мне вот очень интересно, есть проктологи-мужчины чеченцы или дагестанцы? По обычаям нельзя же чужому мужчине видеть чужую голую женщину/девушку. Получается нужно работать только с мужчинами, но это же для них зашкавар или нет... А урологи вообще бывают в республиках? Это же только с писюнами нужно дело иметь, всю жизнь причем! Я ничего не имею против урологов, но как в молодом прекрасном возрасте принять решение всю оставшуюся жизнь связать члена́ми? Интересно однако ...
Коллеги, с днём проктолога1
Праздник тех, кто выбрал непростую, но очень нужную профессию.





Мы каждый день работаем с тем, о чём чаще молчат, и именно поэтому наша работа про доверие, деликатность и уважение к человеку.
Рад видеть, как наша область развивается. Появляются новые технологии, которые делают лечение точнее, а восстановление быстрее и комфортнее. Всё чаще проходят конференции, курсы и форумы, где специалисты делятся опытом и знаниями. Это значит, что тема, которая когда-то казалась «неудобной», становится нормальной частью заботы о здоровье.
С праздником, коллеги. Пусть каждый день нашей работы приносит людям облегчение, а нам чувство, что мы на своём месте.










