Откололся передний зуб: делать наращивание или поставить коронку? Объясняет стоматолог
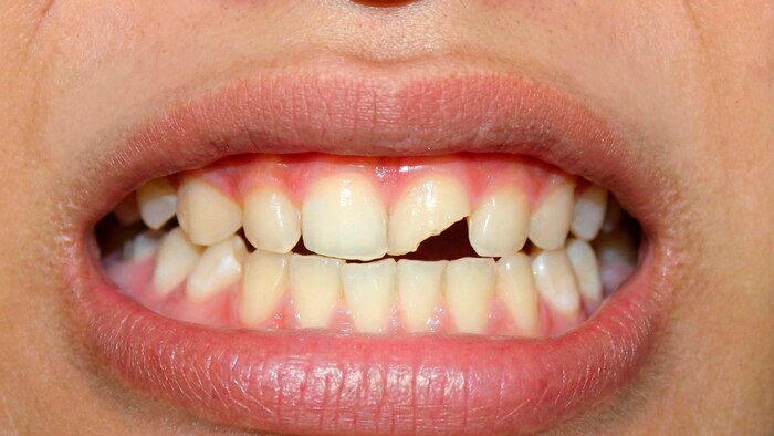
Секунда - и вы языком нащупываете острый край на месте целого зуба. Это может случиться из-за попытки откусить твердое яблоко, перегрызть нитку или открыть упаковку. Первая реакция пациентов в такой ситуации всегда одна - паника. И в голове одна мысль: как восстановить зуб?
Реконструкция резца - это сложная инженерная задача. И решение здесь зависит буквально от каждого уцелевшего миллиметра.
Сегодня разберем два главных способа спасения: наращивание и установка коронки. Выясним, что выглядит натуральнее, что прослужит дольше и почему попытка сэкономить иногда обходится дороже.
Когда возможно наращивание
По сути, это та же пломба, только прочнее, лучше полируется и имитирует прозрачность живой эмали.
Метод подходит, если у вас небольшой скол, трещина или зуб разрушен менее чем на 50%. Также это отличный вариант, чтобы скрыть косметические дефекты, возникшие из-за возраста или кариеса.
Плюсы метода:
Во-первых, врач сохраняет максимум ваших родных тканей, убирая только поврежденные участки.
Во-вторых, чаще всего это прямая реставрация, при которой вы заходите в кабинет с дефектом, а через час выходите с новой улыбкой.
В-третьих, это значительно дешевле протезирования.
Но композит - это пластмасса (хоть и высокотехнологичная), у которой есть свой срок службы. Обычно такая реставрация безупречно служит 5-7 лет. Со временем материал теряет блеск, может потемнеть от красящих продуктов и напитков, а граница между пломбой и зубом становится заметной. И главное, если на этот зуб приходится сильная нагрузка, композит может просто отколоться снова.
Когда необходима коронка
Этот метод нужен, если зуб разрушен более чем на 50%. Когда от зуба осталась половина или меньше, стенки просто не выдержат жевательной нагрузки без «чехла» сверху.
Современные конструкции из керамики или диоксида циркония выглядят настолько натурально, что их невозможно отличить от соседних зубов, а служат они 10–15 лет и дольше.
Минусы коронки - это долгая установка и цена. Зуб придется обтачивать (препарировать), а иногда и удалять нерв. Сама коронка делается в лаборатории, из-за этого она дороже, и за один визит вопрос не решить, придется прийти несколько раз.
Кстати, металлокерамику на передние зубы сейчас ставят редко. Она прочная, но из-за металлического каркаса зуб кажется «неживым» и хуже пропускает свет, чем натуральная эмаль.
Как самостоятельно определить подходящий метод
Окончательное решение принимает врач только после осмотра и рентгеновского снимка (это обязательно, чтобы исключить скрытые воспаления корня). Но предположить, какой метод подойдет вам, можно, опираясь на эти правила:
1. Скол маленький и зуб не шатается – значит, выбираем наращивание. Это быстро, бережно и недорого.
2. Если зуб сильно разрушен или корень ослаблен, то необходима коронка, потому что наращивание в таком случае - деньги на ветер.
3. Если у вас есть привычка сильно сжимать челюсти или скрежетать зубами во сне (бруксизм), композитное наращивание долго не прослужит - надежнее ставить коронку.
Еще один случай: если скол уходит глубоко под десну, спасти зуб практически невозможно. Тогда единственным выходом становится удаление и последующая имплантация
Правила первых дней с восстановленным зубом
Независимо от того, нарастили вы зуб или поставили коронку, в первое время нужно соблюдать осторожность:
Сразу после процедуры воздержитесь от еды и вредных привычек, чтобы материал нормально схватился.
Первые 3 дня не пейте чай, кофе, свекольный сок и другие красящие напитки, которые могут испортить эстетику материала.
Не открывайте зубами бутылки, не грызите леденцы или ручки. Это банально, но именно так ломается большинство реставраций.
И не забывайте про гигиену. Чистота - это залог того, что под новой красивой поверхностью не начнется кариес.
Источник: Роман Каменский | Здоровая улыбка














