Ржевский 24.01.2026
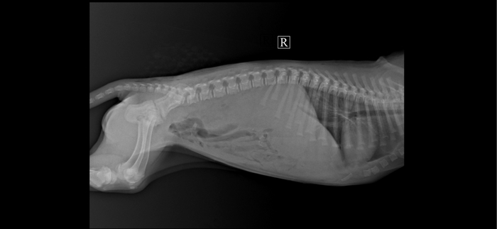
Сегодня Ржевский был на кастрации, сделал УЗИ и сдал анализы.
Операция прошла хорошо, без осложнений.
По крови - всё в пределах нормы, ничего критического нет.
По УЗИ - острый холецистит и холангит. В мочевом пузыре большое скопление газа и взвеси.
По анализу мочи - присутствует кровь и запредельное количество белка.
Для установки диагноза, мочу отправили на бакпосев.
Так же сдали кровь на Лейкоз и Иммунодефицит. И Лейкоз РНК пришёл положительный.
Ждём остальные результаты. И уже не расслабляемся.
Назначено: Урсофальк 1/4 капсулы 250 мг, 1 р/д на ночь. Курс 1 месяц.
Кладакса 250 мг 1/2т, 2 р/д или Амоксигард 0,5 мл п/к, 1 р/д. До готовности результатов бакпосева.
Масса 4,8 кг.








#аптека
Верошпирон и Клопидогрел для Геры.
Данцил для Малинки.
Шприцы для Лилианны, Тëмы, Ромашки и Яши.
Милпразон.
.........................................
Спасибо всем, кому интересны наши кошачьи.
Анастасия Александровна З. +5000р
Сообщение: "Ржевскому"
Дарья Вячеславовна М. +400р
Татьяна Витальевна П. +10000р
Сообщение: "Для Ржевского"
Большое спасибо 💟 за помощь нашим котикам 🐆, она сейчас важна и актуальна 🔆!
............................................
#котики365 #котики365_ржевский #ржевский #аптека #приютинепокупай #бездомныеживотные


























