Серия «Про бесплодие и ЭКО»

4

Психологическое бесплодие - существует ли?1

Серия Про бесплодие и ЭКО

И да, и нет.
Да, существуют психологические проблемы из-за которых невозможен половой акт - пережитое насилие, психогенная импотенция и все такое прочее.
Это целая отдельная вселенная со своими докторами и специалистами.
А так же функциональная гипоталамическая аменорея, или же аменорея военного времени, при котором на фоне тяжелейшего стресса и недоедания пропадает овуляция - это действительно причина бесплодия, но там и менструации нет.
А вот ситуация: "Вы не готовы стать матерью"," В вашем теле много кортизола, потому что вы работаете", "Слишком много хронического стресса и надпочечники устали, а кишечник дырявый" - галлюцинации некоторых альтернативно талантливых личностей.
Типичный образ древней женщины, тысяч 200 лет назад: у нее 5 детей и еще 5 померло до 3 лет. Она снова беременна - почти все женщины в те времена беременны постоянно и лет с 13.
У неё подмышками 2 младенца, на спине пожитки и надо пройти 20 км до ближайшей стоянки-водоёма.
Её мужа убили в стычке за красивую палку, а в темных лесах по ночам бродят волки и хотят полакомиться свежей человечинкой.
И на фоне таких не радостных условий - люди размножались.
Психологические факторы важны, как поддержка на этом пути, но это точно не причина бесплодия.

Хотите узнать больше про ЭКО и лечение бесплодия?
Подписывайтесь на мой Telegram-канал - там я делюсь эксклюзивной информацией, которой нет в других источниках!
Ссылка: https://t.me/ReproductologDvortsov

Психологическое бесплодие - существует ли?
Показать полностью 1
98

Как работает стимуляция яичников с точки зрения логики?

Серия Про бесплодие и ЭКО

Привет, друзья!

Сегодня я вам расскажу, как работает стимуляция во время ЭКО или во время заморозки ооцитов с точки зрения репродуктолога.

С точки зрения пациента все ясно - колем укольчики и ходим на УЗИ.

А вот с нашей точки зрения все интереснее

Для того, чтобы понимать смысл дальнейшего повествования пару слов о менструальном цикле.

Это классическая схема менструального цикла с точки зрения яичника. Как вы видите - один фолликул растет, в нем яйцеклетка. Происходит овуляция и яйцеклетка выходит к маточной трубе. А фолликул превращается в желтое тело, которое вырабатывает прогестерон. Если произошла беременность, то прогестерон её поддерживает. Если нет - прогестерон падает и наступают месячные.

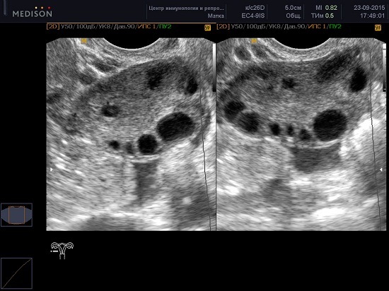
Но в картинке неточность. На самом деле яичник выглядит так:

Эти черные кружки - фолликулы. И за один менструальный цикл тратится не один фолликул. А десятки и сотни. Один фолликул, самый чувствительный - становится доминантным, остальные уменьшаются и исчезают. Образование новых фолликулов и исчезновение не доминантных - постоянный процесс. Не останавливающийся даже во время беременности.

Вроде несложно.

Теперь чуть усложним

Все процессы регулируются гормонально. Для роста и созревания фолликула важны 2 - Фолликулостимулирующий гормон (ФСГ) и лютеинизирующий гормон (он же ЛГ). Они вырабатываются гипофизом в мозге. ФСГ воздействует на самый чувствительный фолликул и тот начинает расти - это начало цикла. Далее, в середину цикла, на выросший фолликул действует ЛГ и он овулирует, превращаясь в желтое тело.

Теперь перейдем к сути

Если упростить, у стимуляции в протоколах всего 3 задачи:

1) Вызвать рост множества фолликулов
2) В нужное время ввести финальный укол, он же триггер, чтобы вызвать управляемую овуляцию (оно же дозревание яйцеклеток) и пунктировать выросшие фолликулы
3) Заблокировать пик лютеинизирующего гормона, чтобы растущие фолликулы не овулировали раньше времени.

В первом пункте не сложно.

ФСГ воздействует на самый чувствительный фолликул и он растет. Что мы делаем?
Правильно
Даем больше ФСГ!
Те самые укольчики - это как раз препараты ФСГ. Доза выше - фолликулы с меньшей чувствительностью реагируют - рост множества фолликулов.
Доза рассчитывается индивидуально исходя из целей и задач. Идеальное попадание 12-14 фолликулов. Если замораживаем яйцеклетки - 18-20.
В конце концов все определяется уровнем АМГ и овариальным резервом. Если фолликул 1 - то хоть ведро ФСГ влей, больше 1 не вырастет.

Стимулированный яичник

Стимулированный яичник

Перейдем сразу к третьему

Для того, чтобы овуляция не случилась раньше времени - нужно заблокировать выброс ЛГ. От схемы блока ЛГ и зависит протокол - короткий, длинный, с антагонистами, с гестагенами

1) Самый простой - с антагонистами. Логика простая - антагонисты тупо блокируют рецепторы и гипофиз не знает, что фолликул вырос. Рецепторы то не реагируют. Протокол длится дней 10. Все время вводят ФСГ и дня с 6 - антагонисты. В конце триггер и пункция.

2) С агонистами - длинный и короткий. Тут интересная логика. Агонисты наоборот - щекотят рецепторы, гипофиз выбрасывает ФСГ и ЛГ. А они не бесконечные и кончаются. Как пример - попробуйте постоять на планке полчаса, силы кончатся и вы упадете, пока не отдохнете - снова встать не получится. Так же и с гипофизом. Длинный протокол начинается за неделю до менструации, короткий стартует на 2-3 день цикла.

3) С гестагенами - прогестерон тоже блокирует гипофиз, чтобы фолликулы не росли после овуляции. Соответственно мы можем дать прогестерон и спокойненько стимулировать. На этом же построена стимуляция во 2 фазу - фолликулы есть всегда, а гипофиз блокирован.

Ну и про триггер

Существует всего 2 вида финальных уколов

1) ХГЧ - молекулярно похож на ЛГ и связывается с теми же рецепторами у фолликула, вызывая овуляцию.
2) Агонисты - они щекотят рецепторы гипофиза, те выплескивают ЛГ и тот вызывает овуляцию (опция недоступна в протоколе с агонистами, нечего выплескивать).

Овулирует фолликул через 39-40 часов

Пункция происходит через 35-37 часов, подавляющее большинство яйцеклеток к этому моменту уже созрели и готовы к оплодотворению.

Искусство стимуляции - комбинировать эти 3 компонента в интересах пациентки для лучшего эффекта

Конечно есть много разных фишечек, которые не уместить в 1 пост - стимуляция непрямыми индукторами, двойные и дуо-триггеры, двойная стимуляция, рандом старт и так далее. Но о них как-нибудь в другой раз.

Надеюсь было полезно :)

Телеграмм (в нем больше статей, кейсы, ответы на вопросы, видеоконтент и для связи): https://t.me/ReproductologDvortsov

Показать полностью 4
56

Кисты яичника. Такие одинаковые и такие разные

Серия Про бесплодие и ЭКО

Кисты бывают разные, опасные и не очень. Чаще всего - все таки не очень.
В посте расскажу, откуда появляются, куда уходят и что делать то. Тема на самом деле очень огромна, но я буду краток.

Киста - это по сути шарик с содержимым. Жидкостью, кровью, иногда зубами и жиром. Просто полость с чем-то внутри.

Кисты яичника делятся по своему
-Происхождению
-Риску быть злокачественными (т.е. раком)

По происхождению - все просто

1) Фолликул переросток, который не овулировал - это простая функциональная киста. По УЗИ - просто образование с жидкостью внутри, которое находится внутри яичника.
Рецепторов не имеет, поэтому вылечить ничем нельзя. Нужно подождать - пройдет сама. Чаще всего это случайная находка. Иногда может вызывать тупые боли внизу живота. Еще реже - острую боль, требующую обращения за медицинской помощью (может быть перекрут или разрыв).

2) Желтое тело переросток - это киста желтого тела. Абсолютно тоже самое, что и выше. Наблюдаем. Не боимся. Часто сопровождает беременность, выделяя хорошее количество прогестерона для её поддержки.

В целом фолликул и желтое тело больше 3 см - киста. Все дело в размере.

3) Эндометриоидная киста -одно из проявлений эндометриоза. Заполнена вязким содержимым, напоминающим шоколад. Это разрастание ткани эндометрия (внутренней выстилки матки, которая выходит с месячными) внутрь яичника, кисту ничем кроме операции не убрать. Очень рекомендую прочесть пост на тему эндометриоза (Эндометриоз: Боль, бесплодие и слёзы). Эндометриоидная киста - Самый частый предмет споров на тему "удалять нельзя помиловать". Тактика строится вокруг наличия тазовых болей, возраста, планов на беременность, овариального резерва, размера и кучи других данных. Если эндометриома небольшая, то я строго против удаления. Только резерв яичника покалечите.

4) Тератома - интересное. Это киста внутри которой волосы, зубы, жир, ногти, кости, ткань печень, etc. Тератома отличается тем, что содержимое всегда чужеродно пораженному органу. В тератоме мозга не бывает нейронов. В тератоме яичника - ткани яичника. Теории происхождения разные, но схожи в одном - источник стволовая клетка/эмбриональная клетка. Рецепторов нет, вылечить ничем нельзя: ни гормонами, ни заговором, ни целебным прикладыванием рук тайских целителей. Сама тератома бывает зрелой и не зрелой. Зрелая - доброкачественная, незрелая - зло. Может прорастать в органы и ткани и метастазировать. Узнать можно только гистологически после операции. Поэтому подлежат удалению.

5) Эпителиальные опухоли - выглядят страшно. С внутренними разрастаниями, перегородками, кровотоком и иногда внушительных размеров. Опасны и коварны. Может быть доброкачественными, может быть злокачественными. Гистологически очень разные. В зависимости от УЗИ признаков выставляется категория риска. Справедливости ради сейчас при всех образованиях выставляется категория риска, даже при простой фолликулярной кисте. Рак яичников агрессивен и быстр, специалисты стараются не упустить. Тактику лечения определяет гинеколог-онколог, если есть подозрение на онкологию или гинеколог, если подозрений нет.

Завтра, 7 октября, будет оффлайн мероприятие. Обсудим отложенное материнство, операции и кисты, гормоны и страхи

Рассказчиком буду я, моя коллега-репродуктолог и коллега-эндокринолог. Будет уютно и интересно

Подробнее в моем блоге в тг: https://t.me/ReproductologDvortsov

Показать полностью
17

Видео про основные причины бесплодия

Серия Про бесплодие и ЭКО

Видео про основные причины бесплодия. Приятного просмотра :)
Мой телеграмм-канал: https://t.me/ReproductologDvortsov

Показать полностью
139

Почему нет беременности? Краткая сводка по основным причинам бесплодия

Серия Про бесплодие и ЭКО

В мире бесплодных пар всё больше, фертильность всё ниже. В РФ, по разным регионам, количество пар с бесплодием колеблется от 12 до 20%.
Кошмарная демографическая ситуация.

Почему так происходит?

Бесплодие - отсутствие беременности после регулярных незащищенных половых актов на протяжении 12 или более месяцев.

Почему взяли цифру в 1 год? Все просто. За 12 месяцев половой жизни у 85% здоровых пар будет беременность.
Сразу оговорюсь - эта цифра для женщин до 35 лет. Для женщин старше граница - 6 месяцев.
Если за 6 месяцев нет беременности - нужно искать причину. Почему - расскажу ниже. Еще расскажу каких факторов бесплодия не существует

1) Трубный фактор. Это непроходимость маточных труб. Определить не сложно.
Первое - анамнез. Внематочные беременности и трубы удалили. Хламидийная инфекция в анамнезе. Внутриматочные вмешательства. Полостные операции. Эндометриоз.
Инфекции, эндометриоз и оперативные вмешательства вызывают воспалительный ответ.
Воспалительный ответ провоцирует появление фибриновых спаек, которые и приводят к трубному фактору.

Второе - УЗИ. По УЗИ определяется расширение маточной трубы с жидкостным содержимым. Гидросальпинкс, сактосальпинкс, пиосальпинкс. Это всё инфекция. Ведутся исследования роли хронического эндометрита в трубном факторе бесплодия. Есть исследования которые указывают на прямую связь. (О хроническом эндометрите я подробно писал на своём телеграмм канале). Если по УЗИ маточные трубы не определяются - это не значит, что они проходимы.

Третье - определение проходимости маточных труб. Можно делать как УЗИ, так и рентген. Вводится тонкий катетер в полость матки. Через него вводится жидкость (Для Rg - с контрастом). По току жидкости определяют проходимость труб. По опыту - рассказывают о жуткой болезненности Rg-ГСГ. На УЗИ жалуются не так часто. Если провожу я - безболезненно. Дело в руках исполнителя. В скорости подачи жидкости (Если сразу 40 мл ввести, резко расширяя матку, то естественно будет больно.), температуре жидкости (Если ввести холодный физ. раствор - то рефлекторно произойдет сужение труб и можно получить ложный результат), технике и общей тактичности поведения врача.

Лечение: Если определяется жидкость в трубе (гидросальпинкс и тд) - трубу удаляют. Жидкость токсична для эмбриона и не даст нормально имплантироваться.

Если удалены или непроходимы обе трубы - то только программа ЭКО.
Операции по восстановлению труб не работают. Да, изредка после них случаются беременности, но не так часто как хотелось бы. А еще случаются внематочные. Маточная труба это отдельный орган со своей анатомией и нервной системой. Это не водопровод и подлатать не получится. Как правило это трата времени, а оно очень важно для наступления беременности.

2) Мужской фактор. Просто обнаружить. Первым делом отправляю партнера на спермограмму. По спермограмме и определяется. Мужской фактор встречается до 40% в структуре бесплодия (И отдельно и вместе с женским фактором). Дальше с мужчиной работает уролог-андролог. (Можете написать в ТГ, порекомендую компетентного). Если есть один живой сперматозоид - можно использовать для оплодотворения. Вангую комментарии - дети получаются здоровые. Проведено уже сотни исследований.

3) Эндометриоз - Тема огромная. Скажу лишь, что среди пар с бесплодием эндометриоз встречается до 50% случаев. ЭКО не первая линия лечения и есть другие опции. Я уже писал пост про него, не буду повторяться. Эндометриоз: Боль, бесплодие и слёзы

4) Возраст - С возрастом фертильность падает. Граница, после которой происходит падение - на уровне 35 лет. Именно с 35 лет начинается "Старший репродуктивный возраст".

По этой причине - на беременность после 35 лет дается всего 6 месяцев. Время - самый ценный ресурс и нельзя его упускать.

5) Маточный фактор - Полипы, миомы, синехии полости матки. Помогает хирургия. В случае синдрома Ашермана (Множества спаечных сращений внутри матки после выраженного воспаления) - лечения нет. Здесь поможет суррогатное материнство. Подробно про полипы и миомы я писал у себя в телеграмм канале.

6) Ановуляция - женщины с СПКЯ, ВДКН, ФГА, гиперпролактинемией и так далее.
Расскажу про овуляцию и зачем она нужна. В основе менструального цикла лежит рост доминантного фолликула (Он выделяет гормоны и в нем зреет яйцеклетка). Дню к 12 (в среднем) он достигает своего пика и наступает момент овуляции.
Во время овуляции зрелая яйцеклетка выходит из фолликула к маточной трубе. И на месте фолликула образуется желтое тело, которое вырабатывает прогестерон (гормон, поддерживающий беременность). Без овуляции не будет беременности, так как нет зрелой яйцеклетки.

Диагностика ановуляции - целое искусство, зависит от компетенции врача.
На базовом этапе все просто. Кровь на прогестерон во 2 фазу и УЗИ - зафиксировать желтое тело и трансформацию эндометрия.
А вот найти причину и разобраться в чем дело - надо думать головой. (Чтобы понимать дисфункцию коры надпочечников хотя бы на базовом уровне - нужно потратить достаточно времени и усилий. Загуглите хоть "стероидогенез при вдкн" и зайдите в раздел картинок, посмотрите на схему, а это лишь одно из заболеваний на диф. диагноз)

Лечится просто. Корректируется причина отсутствия овуляции и она восстанавливается.
Если же это, например, СПКЯ, при которой овуляцию не получается восстановить - проводится стимуляция овуляции. (Дюфастон не поможет забеременеть! Меня уже триггерит от этих назначений для женщин, которые планируют беременность. Он нужен для защиты эндометрия от гиперплазии и рака).
Стимуляция овуляции это просто и безопасно. Если в течении 6 овуляций не удаётся забеременеть - тогда программа ЭКО.

7) Генетика - это не бесплодие в привычном понимании. Но если есть информация, что у партнеров носительство моногенного заболевания и есть риски рождения ребенка с ним, то показано проведение генетического тестирования эмбрионов.
Моногенные заболевания никак не найти по УЗИ. Это очень тяжелые болезни. Спинальная мышечная атрофия, муковисцидоз, тугоухость, фенилкетонурия. Это часть из них.
Совет всем планирующим беременность - не поленитесь и сходите к генетику. Они умеют оценивать риски и знают как определить ваш статус по моногенным болезням. Это спасёт чье-то будущее. И да, генетические заболевания (Например синдром Клайнфельтера у мужчин или генетические перестройки) - приводят к бесплодию, но не всегда.

8) Цервикальный, он же шеечный фактор бесплодия - это по сути прямая преграда для прохождения спермы в полость матки. Находится во время осмотра по УЗИ и по данным анамнеза. Лечится просто - хирургически.
Ко мне приходила молодая пациентка с бесплодием, ставили мужской фактор (Хотя качество спермы мужа было достаточным для зачатия). По УЗИ - полип цервикального канала. Удалили полип. Беременность в следующем цикле.

9) Сексуальная дисфункция - да, методы ВРТ помогают так же при невозможности зачать в связи с невозможностью заняться сексом. Например при вагинизме и выраженной боли во время полового акта у женщины, импотенции мужчины, женщинам перенесшим сексуальное насилие.
Методы вспомогательных репродуктивных технологий это не только ЭКО. Это еще и инсеминация спермой, например.

10) Необъяснимое бесплодие, оно же бесплодие неясного генеза. Для успешной беременности нам нужны несколько составляющих:
-Регулярный цикл и овуляция у женщины
-Способная к зачатию сперма
-Проходимые маточные трубы
-Готовый к имплантации эндометрий.
Если все в норме, но при этом беременность не наступает - это бесплодие неясного генеза. ЭКО не первая линия терапии. Есть и другие опции. Например - внутриматочная инсеминация.

11) Преждевременная недостаточность яичников - страшный диагноз. По сути это заболевание, при котором количество яйцеклеток у женщины изначально резко снижено, либо они слишком быстро "тратятся". Из-за этого менопауза наступает раньше времени. И бывают случаи, при которых женщина теряет свой овариальный резерв после операции на яичниках. Если нет своих яйцеклеток - то нет и беременности. Поможет программа ЭКО с донорскими яйцеклетками.
А если есть свои, но их очень мало - то можно попробовать с ними. Это очень глубокая тема, касается генетики, эпигенетики и факторов риска, поэтому я напишу отдельный пост по ней.

Каких видов бесплодия НЕ существует:

  • Иммунологическое

  • Психологическое

  • Агрессивная среда в шейке матки и прочие страшилки

  • Несовместимости партнеров не существует.

Кто еще может воспользоваться ВРТ?

1) Женщины без полового партнера - в формате инсеминации полости матки спермой донора, либо в формате ЭКО со спермой донора.

2) ВИЧ - дискордантные пары. У одного из партнеров ВИЧ-инфекция. Партнеры предохраняются презервативами. Беременность не наступает. В таком случае можно использовать программу ВРТ для достижения беременности. (Естественно при определенно низких показателях вирусной нагрузки в крови).

3) Онкофертильность - при благоприятном прогнозе и предстоящей агрессивной терапии онкологического заболевания - можно заморозить яйцеклетки для использования в будущем.

4) Программа отложенного материнства.

Меня зовут Дворцов Кирилл Олегович, гинеколог-репродуктолог.

Меня физически не хватает отвечать на все комментарии. Поэтому на все вопросы я отвечаю в телеграмм канале, в специальном посте.
Так же провожу репродуктологические-гинекологические стримы на ютубе и зову интересных гостей.

Группа в tg: t.me/ReproductologDvortsov

Показать полностью 5
67

Почему происходят выкидыши? Расскажу про привычное невынашивание беременности

Серия Про бесплодие и ЭКО

Что такое привычное невынашивание?

Привычное невынашивание беременности - это потеря 2 и более беременностей до срока в 22 недели. Встречается от 2 до 5% случаев. Дальше буду сокращать до пнб.

Если у женщины случился единственный выкидыш - ничего страшного, обследовать и лечить не нужно. Каждая женщина имеет право на 1 самопроизвольное прерывание беременности в течении жизни. Как правило, в 80% случаев, это связано с неправильным хромосомным набором у эмбриона. Это не значит, что у пары какая- то мутация или несовместимость. Это значит, что во время процесса "сборки" эмбриона произошла ошибка. Это трагедия каждой отдельной семьи, но так бывает. Ничего не сделать.

Если больше 1 раза - нужно обследоваться.

Сначала покажу, какие потери мы учитываем:

-Подтвержденная беременность
-Беременность определяемая по УЗИ
-Беременность после ВРТ

Что не учитываем:

-Прерывания беременности по желанию женщины
-Биохимическая беременность
-Внематочная беременность
-Трофобластическая болезнь
-Неудачи имплантации при ЭКО

Для постановки диагноза - неважно, подряд или нет произошли потери.

Начнем разбор с факторов риска, какие группы женщин имеют увеличенные риски по невынашиванию:

-Возраст, наименее подвержены риску женщины от 20 до 35
-Самый высокий риск у женщин старше 40 лет.
-Курение резко увеличивает шансы на невынашивание, курящим женщинам стоит прекратить курение.
-Ожирение или дефицит массы тела достоверно увеличивают частоту невынашиваний. Это серьёзный фактор риска при планировании беременности, даже без привычного невынашивания стоит нормализовать массу тела. Это связано с акушерскими исходами и осложнениями во время беременности.
-Чрезмерное употребление алкоголя увеличивает риски. Алкоголь следует так же ограничить.
-Избыточное потребление кофеина (>5 чашек кофе в день или >100 г кофеина в сутки)
-Стресс может быть связан с невынашиванием, но прямых доказательств влияния стресса никаких нет.
-Неблагоприятные условия труда, химические испарения и прочее.
-Приобретенные тромбофилии. (АФС-синдром)
-Бактериальный вагиноз и ИППП, и как следствие -хронический эндометрит. О хроническом эндометрите я подробно писал у себя на канале ( t.me/ReproductologDvortsov )
-Выраженный аденомиоз матки увеличивает частоту ПНБ.
-Аномалии развития матки.
-Внутриматочная патология, например полип эндометрия или миома матки - не увеличивают частоту ПНБ, если беременность случилась.

Не женщиной единой, мужской фактор так же вносит свой вклад в привычное невынашивание.

-Высокий уровень ДНК-фрагментации спермы партнера - увеличивает ПНБ.
-Старший возраст мужчины увеличивает частоту выкидышей вне зависимости от возраста женщины, более 40 лет по нашим клиническим рекомендациям, более 50 лет по крупным исследованиям.

-Половая жизнь никак не увеличивает частоту выкидышей, секс разрешен! Секс к выкидышам не приводит.

Обследование

Как только женщин с ПНБ не обследуют, на что только не проверяют, и большинство исследований не нужно в принципе.

Что нужно:
- Кариотип (в наших клин.реках рекомендован, в ESHRE по показаниям)
- Кариотипирование абортивного материала - по желанию пациентки. (Может помочь в диагностике и дает толчок к проведению программы ЭКО с генетическим тестированием эмбриона)
- Исследование маркеров АФС-синдрома.
- Рекомендовано и нашими рекомендациями и ESHRE направлять пациентку на исследование ТТГ и АТ к ТПО для исключения патологии щитовидной железы.
- Наши клинические рекомендует пайпель-биопсию эндометрия с иммуногистохимическим исследованием на CD-138 (Хр. эндометрит) женщинам с привычным выкидышем неясного генеза на этапе подготовки к последующей беременности.
- Наши клинические руководства рекомендуют определять глюкозу крови на предмет сахарного диабета (Хотя по хорошему нужен оральный глюкозотолерантный тест), ESHRE не рекомендуют, так как не нашли связь.
- 3D УЗИ/ЭХО-ГСГ для поиска аномалий развития матки.
- 2D УЗИ для выявления аденомиоза.
- МРТ если нет возможности провести 3D УЗИ.
- Скрининг на выявление анемии и латентного дефицита железа
- Скрининг на ИППП.
- Рекомендовано направлять мужчину на спермограмму (По хорошему еще и ДНК-фрагментацию спермы, но это уже компетенция уролога-андролога)

Что НЕ нужно:

-Исследование на пролактин показано только женщинам с редкими овуляциями и нарушениями менструального цикла или симптомами гиперпролактинемии.
-Иммунологические тесты, анти-HY антитела, цитокины, полиморфизм генов к цитокинам и фолатам, анти-HLA антитела, антиядерные антитела, NK клетки, HLA совместимость - не рекомендовано, затратно и бесполезно.
-Гормональный скрининг: определение уровня ЛГ, Андрогенов, прогестерона во вторую фазу цикла, гомоцистеина и состояния овариального резерва - не рекомендовано.
Это анализы для других заболеваний и без них эти исследования никакого смысла не несут.
-Я не назначаю скрининг на наследственные тромбофилии, так как исследования не нашли связь с ПНБ.

Несовместимости партнеров не существует.

Что мы можем сделать?

- Нормализовать индекс массы тела.
- ЗОЖ в самом прямом смысле.
- Препараты прогестерона до 20 недель беременности. В наших рекомендациях с лютеиновой фазы фертильного цикла или при первом посещении. По рекомендации ESHRE с момента регистрации сердцебиения. Это только для женщин с привычным невынашиванием беременности. Чем было больше - тем лучше помогает. Недавно был резонанс в научном мире: исследование, на котором базировалось назначение дидрогестрона - было отозвано из-за ошибок и нарушений. Провели новое, оказалось, что нет никаких доказательств эффективности. Те, кому он "помог" выносить беременность - выносили бы и без него.
Боль женщин и боль гинекологов в том, что если выкидыш начался, на самом деле мы мало что можем сделать.
-Скрининг длинны шейки матки с 15-16 по 24 недели беременности 1-2 раза в неделю.
-Женщинами с АФС занимаются гематологи, используют аспирин и гепарины.
-Компенсация явного гипотиреоза на этапе подготовки к беременности. Контроль гормонов щитовидной железы на раннем сроке, для коррекции.
-Лечение гиперпролактинемии, если есть.
-Профилактический приём витамина Д.
-Если знаем об аномальном кариотипе в предыдущих беременностях, либо аномальном кариотипе родителей, то консультация генетика на предмет использования ЭКО с генетическим тестированием полученных эмбрионов.
-В программах ВРТ можно использовать PICSI как метод оплодотворения, таким образом значительно снижается частота выкидышей.
-Есть небольшие данные низкого качества, что гистероскопическая резекция перегородки матки снижает риск выкидыша, отсутствует влияние на живорождение.
-Поскольку привычное невынашивание это депрессии и стресс, рекомендуется консультация психолога.

Что НЕ надо делать, это не работает от слова совсем.

-Иммунизация лимфоцитами
-Введение внутривенного иммуноглобулина
-Глюкокортикоиды для этого не используются.
-Интралипид для этого не используется.
-Аспирин и гепарины только с АФС и при высоких рисках тромбоза, просто так не используются.
-Коррекция аномалий матки, реконструкция матки, удаление миом, полипов не используется если беременность наступает самостоятельно и нет бесплодия. (В наших клинических рекомендациях - рекомендовано внутриматочную патологию убирать сразу гистероскопически).
Важная деталь - если нет бесплодия и сопутствующей клиники. Если женщина хорошо беременеет с полипом - так пусть беременеет, полип вообще никак не прервет беременность, невынашивание по идее вообще не показание к гистероскопии (Это по ESHRE, в наших клинреках - надо лезть в матку).

Меня зовут Дворцов Кирилл Олегович, гинеколог-репродуктолог.

Меня физически не хватает отвечать на все комментарии. Поэтому на все вопросы я отвечаю в телеграмм канале, в специальном посте.

Группа в tg: t.me/ReproductologDvortsov

Показать полностью
196

Часики тикают? Расскажу, как остановить. Программа отложенного материнства. И пара слов про рак

Серия Про бесплодие и ЭКО

Cлышали фразу «Часики тикают»? Расскажу, как часики заморозить.

В посте про ЭКО я упомянул о влиянии возраста на качество яйцеклеток и как следствие на качество эмбрионов.

Качество и % эмбрионов с правильным хромосомным набором напрямую зависят от возраста. Исследования оценивающие вероятность получения эмбриона с правильным хромосомным набором в зависимости от возраста:

А вот результаты исследования о наступлении беременности на 1 перенесенный, генетически не проверенный эмбрион в зависимости от возраста:
1)до 35 лет – от 30,5 % до 40%
2)35-37 лет – от 24.6% до 31.6%
3)38-40 лет – от 17.8% до 21.5%
4)41-42 года – от 10% до 11%
5)Старше 42 лет – 4%

Остановить этот процесс помогает технология криоконсервации яйцеклеток, или же «программа отложенного материнства».

Не сложно, относительно не дорого, безопасно.

Стимуляция. Пункция. Заморозка.

В среднем 12-14 дней.

В теперь по порядку.

Начинается все с обследования к программе, регламентируется приказом минздрава. Занимает в среднем месяц-полтора, в зависимости от цикла.
Если проблем нет – приступаем к стимуляции.
Классически старт стимуляции со второго дня цикла. Но поскольку перенос эмбриона не планируется, то можно начинать в любой день цикла. Стимуляция длится в среднем 10 дней.
В зависимости от возраста и количества фолликулов подбирается дозировка препарата.
Важный факт – тяжелого синдрома гиперстимуляции яичников не будет. Другой, безопасный триггер овуляции (финальный укол) и нет переноса эмбриона - гиперстимуляция не случится.
Яичники придут в норму к менструации.
В среднем для совокупного 80% шанса на беременность женщине 30 лет нужно около 20 ооцитов. Но естественно все обсуждается индивидуально, факторов много.

Как замораживают: криоконсервация происходит по технологии витрификации. Это сверхбыстрая заморозка. Настолько быстрая, что не образуются кристаллы льда и клетки не травмируются. Сами ооциты хранятся на специальных насадках - криотопах. В жидком азоте, при температуре -196С. Таким образом они входят в «спящее» состояние.

Яйцеклетки в таком состоянии могут хранится вечно.

Схематично программа отложенного материнства выглядит так:

По деньгам: В среднем одна программа стоит около 150 тысяч. Цена зависит от количества полученных яйцеклеток и от количества использованных препаратов. Больше заморожено – больше потрачено расходников – выше цена. Хранение – 10 тысяч в год.

Что это дает?
Возможность запланировать беременность на более поздний возраст, спокойно выбрать партнера и строить карьеру не беспокоясь.
Также в ситуации, если у матери или сестры преждевременная недостаточность яичников и есть риск ранней потери овариального резерва (в последствии ранний климакс, бесплодие и тд.).

Онкофертильность.

Ооциты замораживают не только по социальным соображениям. Рак.
Химиотерапия, (не всегда, но часто) – токсична, лучевая терапия в малом тазу – тоже.
Вместе с раковыми клетками умирают и яйцеклетки. Чтобы после лечения и ремиссии оставить способность к материнству прибегают к программам онкофертильности. Это очень важно знать.
В зависимости от вида опухоли есть несколько вариантов помощи.
Если онкология не связана и не реагирует на женские половые гормоны – стандартная стимуляция со стартом в любой день.
Если стимуляция противопоказана – программа IVM. Во время этой программы стимуляции нет вообще, либо она минимальна (если есть возможность).
Пункция происходит, когда яичник такой:

Пунктируются маленькие фолликулы, в которых не зрелые яйцеклетки. Далее с помощью волшебства эмбриологии и специальных сред они дозревают и замораживаются уже зрелые клетки.

Важно:
- Риски хромосомных аномалий или генетических после перенесенной онкологии не увеличиваются.
- Нет доказательств, что после наступления беременности - увеличивается частота рецидивов онкологического заболевания.
- Программа проводится только в случае, если время на её проведение не ухудшает прогноз.
- Программа проводится в случае, если высок шанс выживаемости после лечения.
- Программа онкофертильности это не только получение яйцеклеток, также возможно заморозить саму ткань яичника. Решение принимается по ситуации.

Меня зовут Дворцов Кирилл Олегович, гинеколог-репродуктолог.

Мой телеграмм канал: https://t.me/ReproductologDvortsov
(Ответы на вопросы, больше постов и запись на приём)

Показать полностью 3
Отличная работа, все прочитано!

Темы

Политика

Теги

Популярные авторы

Сообщества

18+

Теги

Популярные авторы

Сообщества

Игры

Теги

Популярные авторы

Сообщества

Юмор

Теги

Популярные авторы

Сообщества

Отношения

Теги

Популярные авторы

Сообщества

Здоровье

Теги

Популярные авторы

Сообщества

Путешествия

Теги

Популярные авторы

Сообщества

Спорт

Теги

Популярные авторы

Сообщества

Хобби

Теги

Популярные авторы

Сообщества

Сервис

Теги

Популярные авторы

Сообщества

Природа

Теги

Популярные авторы

Сообщества

Бизнес

Теги

Популярные авторы

Сообщества

Транспорт

Теги

Популярные авторы

Сообщества

Общение

Теги

Популярные авторы

Сообщества

Юриспруденция

Теги

Популярные авторы

Сообщества

Наука

Теги

Популярные авторы

Сообщества

IT

Теги

Популярные авторы

Сообщества

Животные

Теги

Популярные авторы

Сообщества

Кино и сериалы

Теги

Популярные авторы

Сообщества

Экономика

Теги

Популярные авторы

Сообщества

Кулинария

Теги

Популярные авторы

Сообщества

История

Теги

Популярные авторы

Сообщества