dashkovandrey

dashkovandrey

Андрей Дашков Стоматолог хирург - имплантолог -------- ВКЛЮЧИТЕ В НАСТРОЙКАХ !!!"ПОКАЗЫВАТЬ ПОСТЫ С ТЕГОМ "ЖЕСТЬ"!!! В ПРОТИВНОМ СЛУЧАЕ, БОЛЬШИНСТВО МОИХ СТАТЕЙ ВЫ НЕ УВИДИТЕ! -------- Таплинк: https://taplink.cc/dashkovandrey Телеграмм: https://t.me/real_clinicin/1027
Пикабушник
Дата рождения: 24 октября

На пельмени

Я сегодня первый день

0 2 000
из 2 000 собрано осталось собрать
16К рейтинг 3507 подписчиков 2 подписки 44 поста 38 в горячем
Награды:
Пикабу 16 лет!5 лет на Пикабуболее 1000 подписчиков
107

Тотальное протезирование в стоматологии

Серия Имплантация и костная пластика
Фото создано с помощью ИИ

Фото создано с помощью ИИ

Всем привет!

Наконец-то дошли руки до написания очередной статьи. Ну как дошли… Начать писать ее можно было бы еще полгода назад. А я люблю рассказывать о полностью завершенном клиническом случае с долгосрочными наблюдениями. Поэтому большинство моих статей это в среднем 2 года, описанные в 5 минутном очерке.

Было решено, что если я хочу баловать вас своими статьями, то стоит публиковать их пусть и незавершенными, но интересными, заставляющими ждать продолжение. Прямо как сериал, который уже изрядно подзаебал, но досмотреть надо. Ах да…мат… Если это первая моя статья, которую вы начали читать - да не сгорит ваш пукан.

-----------------------------------------------------------------------------------------------------------------------

-----------------------------------------------------------------------------------------------------------------------

ВНИМАНИЕ!-Uwaga!-Pažnju!-Attention!-Achtung!-Attenzione!-ВНИМАНИЕ!-Uwaga!-Pažnju!

Ниже будут представлены фотографии, сделанные во время приема! С видами зубов, дёсен, крови и расчлененки. Слабонервных прошу отказаться от прочтения данной статьи!!!

-----------------------------------------------------------------------------------------------------------------------

-----------------------------------------------------------------------------------------------------------------------

Сегодня я делюсь с вами очередным клиническим случаем, который берет свое начало в декабре 2024 года.

Стояла поздняя осень. Конец ноября. Стоял и я. На улице снежок, морозец жмёт, поднял воротничок… Как вдруг приходит сообщение от моего читателя. Да-да, я своего рода популярный писатель. Не помню, что именно было в тот день, но помню точно – смеркалось. А закат был ал, был ал как коленочки…

Возможно, именно сейчас Владислав читает эти строки вместе с вами и вспоминает, как все начиналось. Как же мне было приятно услышать положительные отзывы о моих работах и уж тем более то, что Владислав доверил мне лечение своего папы.

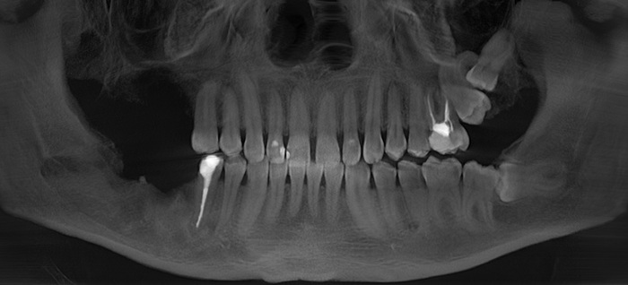
Я подготовился к приему заранее, посмотрел компьютерную томографию, которую он мне прислал.

И будет фарш,

И будет мясо,

И будет закат.

По снимку видно, что необходим комплексных подход к проблеме, который будет включать в себя мою работу, как хирурга, так и смежных специалистов. Гигиениста, ортопеда и терапевта.

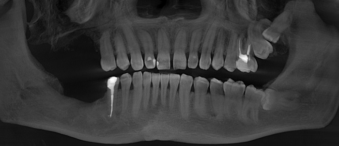
В полости рта ситуация выглядит так:

Отмечается сильная истираемость зубов в связи с длительным отсутсвием полноценного контакта в жевательном отделе.

В связи с тем, что Руслан приезжает из другого города, первым делом я провел удаление всех зубов, которые невозможно было сохранить. Потому как часики тикают, а заживление после удаления занимает около 2 - 3 месяцев.

И вот спустя 2.5 месяца в феврале 2025 Руслан снова приехал в Москву.

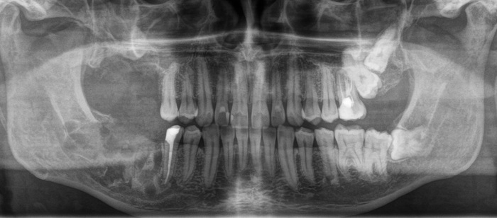
Первым делом была проведена профессиональная гигиена полости рта. Соглашусь, ее нужно было сделать еще до удаления зубов, но мы не укладывались в сроки.

Отмечается пигментированный зубной налет и отложения солей камней в области зубов на нижней челюсти с язычной стороны.

После чистки:

Уже на следующий день была запланирована имплантация.

Дабы не перегружать вас обилием одинаковых картинок, я оставлю один рентгеновский снимок, но отмечу, что установка имплантатов на верхней и нижней челюсти проводилась с разницей в 10 дней.

На верхней челюсти было дополнительно удалено два боковых резца с одномоментной установкой имплантатов, так же они были установлены в области четверок и шестых зубов. Дополнительно было проведено наращивание костной ткани - двусторонний синус - лифтинг. О том, что это такое, можно почитать ТУТ и ТУТ.

После нехитрых манипуляций мы прощаемся с Русланом на 4 месяца.

Этого времени достаточно на приживление имплантатов.

Правда продолжили мы лишь через полгода, а именно в августе 2025. Так пожелал Руслан.

Снова была проведена профессиональная гигиена:

После чего пациент был направлен к ортопеду на слепки:

Спустя две недели произведена фиксация временных коронок.

Коронки на имплантатах на нижней челюсти:

Параллельно я удалил два центральных верхних резца, после чего были зафиксированы все остальные временные коронки.

Подчеркну - коронки временные (!), все они будут заменены на постоянные.

Будут одинакового цвета и тд и тп.

Именно поэтому я люблю публиковать статьи с законченным лечением. Чтобы вы могли насладиться результатом в полной мере.

Так как завершение работы может растянуться еще на полгода - год, я решил, что начну-ка я эту статью уже сейчас. Но обещаю, как только у меня будут фотографии итоговой работы, я сразу с вами поделюсь.

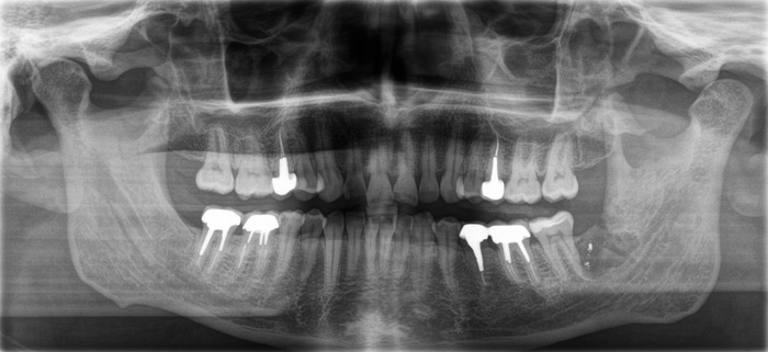
Контрольный рентгеновский снимок:

Вот так было:

А как стало на промежуточном этапе:

Согласитесь, выглядит очень даже неплохо, если опустить цвет.

Спасибо за внимание.

С уважением, Андрей Дашков

-----------------------------------------------------------------------------------------------------------------------

-----------------------------------------------------------------------------------------------------------------------

К слову, поставьте галочку в настройках - показывать статьи с тегом"жесть"! В противном случае, многие мои статьи вы не увидите.

-----------------------------------------------------------------------------------------------------------------------

-----------------------------------------------------------------------------------------------------------------------

Что еще почитать?

Про имплантацию зубов и костные пластики:

- Установка имплантата: как это делается?

- Синус-лифтинг: как это делается?

- Расщепление в стоматологии: как это делается?

- Пересадка костного блока: как это делается?

- Синус-лифтинг и одномоментная имплантация

- Имплантация при полном отсутствии зубов, как следствие несвоевременного обращения к

стоматологу

- Тотальное протезирование на имплантатах

- Одномоментная имплантация и немедленная нагрузка

Про зубы мудрости и их удаление:

- Зубы мудрости: удалить нельзя оставить

- Последствия несвоевременного удаления зубов мудрости. Часть I

- Последствия несвоевременного удаления зубов мудрости. Часть II

- Удаление зубов мудрости. Как это делается?

- ЧЛХ или не ЧЛХ? Вот в чем вопрос… Часть I

- ЧЛХ или не ЧЛХ? Вот в чем вопрос… Часть II

- Онемение после удаления зуба мудрости

- Зубы мудрости: Тянем-потянем!

- Зубы мудрости: «Выше только...»

Про профессиональную гигиену полости рта:

- Профессиональная гигиена полости рта. Часть I

- Профессиональная гигиена полости рта. Часть II. Как это делается?

И, конечно:

- КАРАТЕЛЬНАЯ СТОМАТОЛОГИЯ или “Нижегородская резня”

- Пластика десны (гингивопластика) в области установленного имплантата

- Удаление ретенированного клыка: как это делается?

- Бруксизм, или дентальный компрессионный синдром

- Исправление прикуса и имплантация зубов, в чём связь?

- Вестибулопластика: как это делается?

- Комплексный подход в стоматологии

- Дистализация зубов

- Удаление кисты малой слюнной железы. Как это делается?

- Сверхкомплектные зубы

- Удаление зуба, «недорого»... последствия

- Удаление зуба: как это делается?

- Стоматология: ожидание и реальность

- Рекомендации после приёма хирурга-стоматолога

- Как выбрать врача и стоматологическую клинику?

- Голая правда (статья о формировании стоимости лечения в стоматологической клинике)

Показать полностью 18
45

Пластика десны (гингивопластика) в области установленного имплантата

Серия Хирургия полости рта и не только

Здравствуйте, дорогие друзья и недруги! Давненько я тут ничего не выкладывал.


Полноценные статьи удается писать все реже, но я, наконец-то, нашел для этого время.
Сегодня я расскажу вам про мою самую ненавистную манипуляцию в полости рта – пластику мягких тканей. Лечение рецессий десны, в частности. Вы спросите, что за хирург такой? А я отвечу – у каждого в своей профессии есть что-то, что он умеет и практикует, но по тем или иным причинам делать не любит. Так вот, в моем случае – это закрытие рецессий. В большей степени причина в том, что пластика десны – крайне непредсказуемая манипуляция. Основная причина их появления - это перегрузка. Она возникает из-за неправильного смыкания зубов (неправильного прикуса).

----------------------------------------------------------------------------------------------------------

----------------------------------------------------------------------------------------------------------

ВНИМАНИЕ!-Uwaga!-Pažnju!-Attention!-Achtung!-Attenzione!-ВНИМАНИЕ!-Uwaga!-Pažnju!

Ниже будут представлены фотографии, сделанные во время приема! С видами зубов, дёсен, крови и расчлененки. Слабонервных прошу отказаться от прочтения данной статьи!!!

----------------------------------------------------------------------------------------------------------

----------------------------------------------------------------------------------------------------------

Поэтому, до тех пор, пока есть причина в виде этой самой перегрузки – делать пластику рецессий бессмысленно. Могу вас понять, в интОрнете вы видите красивые картиночки, где корни зубов оголены на половину, все вкривь да вкось, а какой-то «гуру» провел пластику десны, и вуаля – все прекрасно и эстетично. Только вот незадача, самый отсроченный результат, как правило, – это момент снятия швов. Подчеркну – я не говорю о том, что проводить пластику десны бессмысленно и ненужно. Я говорю о том, что сначала необходимо избавиться от причины их возникновения. В противном случае со временем рецессии появятся снова.

То ли дело закрытие рецессий в области имплантатов. О них я сегодня и расскажу.

Тает, тает, тает на дороге грязный снег, а меня марток встречает. Март 2022, запахло весной. На деревьях начинают набухать почки, а у «нестабильных» граждан – шишки. Весеннее обострение никто не отменял.

Но мне повезло, ко мне на прием пришла прекрасная девушка (а не усатый господин в плаще на голое тело) с ужасной, с ее слов, проблемой. Когда-то давно ей поставили имплантат в области верхнего бокового резца, но в связи с тем, что положение имплантата было неправильным, а одномоментно с имплантацией пластики десны не проводилось, последняя начала постепенно «подниматься», оголился абатмент (та часть, «за которую держится коронка»). Со слов пациентки, тем же доктором была предпринята попытка сделать пластику десны, не снимая этой коронки. Но, увы, развился некроз, что только усугубило ситуацию.

На момент моего осмотра это выглядело так:

Согласитесь, не особо эстетично. Ортопантомограмма:

Фрагмент компьютерной томографии (вид сбоку):

Первый вопрос, который я задал, – почему не было проведено исправление прикуса до имплантации?

Пациентка сказала, что обсуждала этот вопрос, но финансово она не тянула.
Ходить без зуба в свои 25* очень уж не хотелось, и она решила рискнуть.

Выдыхайте.

На этот раз я не буду показывать фотографии того, как проводится сама пластика, чтобы какой-нибудь нежный котик на антидепрессантах, да еще и с неуравновешенной психикой, не навалил кирпичей и не написал: «Где, блядь, тег "жесть"?!» (Который, кстати, советую отключить. Статей с таким тегом у меня немало, а вы рискуете ими не насладиться). Тогда как любой здравомыслящий человек, увидев в самом начале статьи предупреждение, написанное жирными, как скифское тело, буквами о том, что дальше будет мясо, – не продолжит чтение.

Но из раза в раз я замечаю, что нет-нет, а кто-то забьет болт на предупреждение и начнет оголтело листать картинки, медленно от них охуевая. Время такое. Меньше читаем, больше листаем. Молодежь, блядь. Пора в статьи добавлять рилсы, тогда точно «залетит». Главное, чтобы не ты.

Кстати, да, мат тоже может проскакивать. Я хоть и хирург, но человек. Ничто человеческое мне не чуждо.

Так вот!

Пойдем поэтапно. Не по тому этапу, что вы подумали.

1 – снятие старой коронки.

Было необходимо дождаться, пока десна полностью «не успокоится».

2 – проведение пластики десны.

Был взят трансплантат в области бугра верхней челюсти (это то место, где раньше был зуб мудрости).

3 – установка нового формирователя десны.

4 – изготовление временной коронки.

5 - изготовление постоянной коронки (забегу вперед, постоянную коронку, увы, пациентка не сделала в связи с теми же финансовыми затруднениями).

После снятия коронки:

Выкрутили абатмент:

Установлена заглушка, которая закрывает шахту имплантата.

Теперь необходимо выждать около 2-х месяцев для того, чтобы десна восстановилась (Пациентка это время ходила со специальной капой, которая имитирует наличие зуба).

Далее проведена пластика десны, снова два месяца ожиданий и установка временной коронки:

Ну, такое, согласен, но это начало.

Еще через пару месяцев временную коронку сняли для изготовления новой:

И вот картинка спустя полгода «ношения» новой временной коронки:

Контрольная ортопантомограмма:

Прицельный снимок:

Я согласен, что эстетика хромает. Давно пора менять временную коронку на постоянную, что улучшит результат. Но, как я говорил, все упирается в финансы.

С другой стороны… с этого мы начали:

а на этом остановились:

Пациентке настоятельно рекомендована консультация ортодонта. Но я не уверен, что она до нее дойдет. Но если это случится, я обязательно буду дополнять статью фотографиями и комментариями к ним.

Спасибо за внимание.

С уважением, Андрей Дашков

----------------------------------------------------------------------------------------------------------

----------------------------------------------------------------------------------------------------------

К слову, выключите запрет на тег "жесть"! В противном случае, многие мои статьи вы не увидите.

----------------------------------------------------------------------------------------------------------

----------------------------------------------------------------------------------------------------------

Что еще почитать?

Про имплантацию зубов и костные пластики:

- Установка имплантата: как это делается?

- Синус-лифтинг: как это делается?

- Расщепление в стоматологии: как это делается?

- Пересадка костного блока: как это делается?

- Синус-лифтинг и одномоментная имплантация

- Имплантация при полном отсутствии зубов, как следствие несвоевременного обращения к

стоматологу

- Тотальное протезирование на имплантатах

- Одномоментная имплантация и немедленная нагрузка

Про зубы мудрости и их удаление:

- Зубы мудрости: удалить нельзя оставить

- Последствия несвоевременного удаления зубов мудрости. Часть I

- Последствия несвоевременного удаления зубов мудрости. Часть II

- Удаление зубов мудрости. Как это делается?

- ЧЛХ или не ЧЛХ? Вот в чем вопрос… Часть I

- ЧЛХ или не ЧЛХ? Вот в чем вопрос… Часть II

- Онемение после удаления зуба мудрости

- Зубы мудрости: Тянем-потянем!

- Зубы мудрости: «Выше только...»

Про профессиональную гигиену полости рта:

- Профессиональная гигиена полости рта. Часть I

- Профессиональная гигиена полости рта. Часть II. Как это делается?

И, конечно:

- КАРАТЕЛЬНАЯ СТОМАТОЛОГИЯ или “Нижегородская резня”

- Удаление ретенированного клыка: как это делается?

- Бруксизм, или дентальный компрессионный синдром

- Исправление прикуса и имплантация зубов, в чём связь?

- Вестибулопластика: как это делается?

- Комплексный подход в стоматологии

- Дистализация зубов

- Удаление кисты малой слюнной железы. Как это делается?

- Сверхкомплектные зубы

- Удаление зуба, «недорого»... последствия

- Удаление зуба: как это делается?

- Стоматология: ожидание и реальность

- Рекомендации после приёма хирурга-стоматолога

- Как выбрать врача и стоматологическую клинику?

- Голая правда (статья о формировании стоимости лечения в стоматологической клинике)

Показать полностью 18
60

Удаление ретенированного клыка: как это делается?

Всем привет! Я написал огромное количество статей на тему удаления ретенированных зубов мудрости, а сегодня решил вас побаловать удалением ретенированного клыка. Да-да, все верно. Не только восьмерки могут не прорезаться, но и любой другой зуб, зачастую таким является клык.

----------------------------------------------------------------------------------------------------------

----------------------------------------------------------------------------------------------------------

ВНИМАНИЕ!-Uwaga!-Pažnju!-Attention!-Achtung!-Attenzione!-ВНИМАНИЕ!-Uwaga!-Pažnju!

Ниже будут представлены фотографии, сделанные во время операции! С видами зубов, дёсен, крови и расчлененки. Слабонервных прошу отказаться от прочтения данной статьи!!!

----------------------------------------------------------------------------------------------------------

----------------------------------------------------------------------------------------------------------

Хоть пиши, хоть не пиши абзац выше, в комментариях все равно будут сообщения типа «где блядь тег жесть?!». Пора бы уже слабонервным, особенно в период обострения, быть повнимательнее. Ящитаю. Может в этот раз будет иначе, посмотрим.

Да, кстати, мат тоже будет. Но в этот раз немножко. Можете заранее выпить что-то от давления.

Только сейчас обратил внимание, что практически каждая моя статья начинается в 2018 году, это ж сколько лет наблюдений. А вы видите клинический случай от и до, за 10 минут прочтения статьи.

Это вам не добрая половина стоматологических «гуру лекторов», которые сделали одну, как им кажется, неебейшую операцию, закончив презентацию фоткой с осмотра. Даже не снятия швов. Разъезжают с ней по стране вот уже 10 лет, пытаются заинтересовать и «обучить» какого – нибудь «студента», который имея хотя бы пару извилин понимает, что ему втирают какую-то дичь. Пока «напыщенный фазан» ходит взад-вперед по сцене, «студент» тихонько обсуждает этот пиздец с соседом, и они оба охуевают от «лектора», и от того, что большинство сидят с открытым ртом, и воспринимают все происходящее, как что-то грандиозное.

Именно такие чувства раз за разом появляются у меня при посещении некоторых курсов. НЕ ВСЕХ, конечно. Есть просто парочка «светил», которые вызывают лишь смех и слёзы, хотя в стоматологических кругах они прямо-таки «звезды».

Ретенированный клык. Тот еще пздц. Ортодонты при помощи брекетов и специальных тяг стараются такие зубы ставить на место, но это удается не так часто. Стоит заметить, что расположение подобных зубов в челюсти – непредсказуемо. Бывают случаи, когда лучше туда и не лезть.

В основном, зная про наличие такого зуба, необходимо периодически делать рентгеновские снимки и наблюдать не творит ли он бардак.

В случае, о котором я расскажу сегодня произошло следующее. У пациента 50ти лет вдруг ломается молочный клык. Вы не ослышались, молочный клык в 50 лет. Если постоянный зуб не прорезается или вдруг отсутствует его зачаток, то, условно, у молочных зубов не происходит полноценный процесс рассасывания корня, такие зубы могут служить долгие годы.

Та черная полоска, проходящая через зуб, появилась после характерного хруста, который услышал пациент во время еды.

Как вариант, можно было бы удалить молочный клык и оставить все, как есть. Но проблема в том, что после этого соседние зубы будут наклоняться в сторону отсутствующего, что приведен к серьезным проблемам.

Плюс перспектива остаться вовсе без зуба пациента, мягко говоря, не привлекала. Проблема была лишь в том, что где-то там внутри сидел клык. Его наличие не позволяет поставить имплантат нужных размеров, не задев этот зуб.

На момент первой встречи мы остановились на удалении молочного клыка, далее пациент ушел «готовиться» к удалению постоянного и к имплантации.

Предупрежу еще раз, ну так, мало ли.

ЩАС БУИТ МЯСО

Как и любая другая хирургическая манипуляция в полости рта, всё начинается с анестезии. Никто ведь не хочет испытать на себе все прелести стоматологической боли и мук.

Для того, чтобы минимизировать все неприятные ощущения, связанные с уколом, используется так называемая аппликационная анестезия:

Гель – паста на основе полиэтиленгликоля и бензокаина.

Десну «смазали» – она слегка онемела. И вот теперь можно переходить к уколу (инфильтрационной анестезии).

В современной стоматологии основным, но не единственным действующим веществом анестетика является «Артикаин» – в той или иной концентрации.

На фото ниже представлен многоразовый карпульный шприц, две одноразовые иглы разной длины и две карпулы с анестетиком.

В данном случае представлен «Ультракаин». Соотношение адреналина и действующего вещества (Артикаина) в синей карпуле - 1:100.000 (1мг адреналина на 100мл), а в зелёной - 1:200.000 (0.5 мг адреналина на 100мл). Следовательно, анестетик в синей карпуле действует несколько дольше, чем в зеленой. Мной эта дозировка используется редко, лишь тогда, когда необходим более длительный эффект анестезии или при острых гнойных воспалениях.

После того, как анестезия подействовала, при помощи скальпеля производится разрез, а распатора — скелетирование кости (отделение надкостницы от компактного вещества кости).

Разрез:

Скелетирование кости:

При помощи специального наконечника и бора зуб делится:

Удаление проводится элеватором:

Достаем сначала коронковую часть зуба, затем корневую:

В лунку удаленного зуба помещается гемостатическая губка:

Вот и всё. Ретенированный клык – удален. Операция заняла около 10 минут.

Но это еще не все, условия позволяют провести установку имплантата сразу после удаления.

Для того, чтобы статья получилась менее объемной я опущу подробный разбор этапности имплантции. У меня есть отдельная полноценная статья на эту тему – Установка имплантата, как это делается?

При помощи уже другого наконечника и специальных боров повышающего диаметра, проводится подготовка ложа под имплантат:

Ну и установка самого имплантата:

Далее выкручивается «имплантодержатель»:

И вкручивается формирователь десны:

Далее производится наложение швов (ножницы и иглодержатель):

Используется шовный материал – монофиламент (нерассасывающаяся нитка наподобие лески). В отличие от рассасывающихся швов, эта нить не скапливает на себе налет и остатки пищи, что особенно важно в случае с операциями:

И вся операция по удалению ретенированного клыка и установке имплантата – закончена. От и до заняло около 35 минут.

Так выглядит рана через день на осмотре:

Через 10 дней я снял швы, и мы расстались с пациентом на 4 месяца до момента, когда можно будет заниматься протезированием, а именно установкой коронки.

Установка временной коронки:

Спустя 4 месяца, ортопед приступил к подборке цвета уже для постоянной коронки (на фото ниже - временная коронка на клыке):

Установлена постоянная керамическая коронка:

Пациенту была рекомендована пластика десны еще на этапе временного протезирования, но он от нее отказалася. Промежутки между зубами его не парили – на ортодонтическое лечение до имплантации, он тоже был не готов.

Рентгеновский снимок после установки постоянной коронки:

Вот так «легко и просто» проводится удаление ретенированного клыка.

А на этом все!

Надеюсь, было интересно.

С уважением, Андрей Дашков

----------------------------------------------------------------------------------------------------------

----------------------------------------------------------------------------------------------------------

К слову, выключите запрет на тег "жесть"! В противном случае, многие мои статьи вы не увидите.

----------------------------------------------------------------------------------------------------------

----------------------------------------------------------------------------------------------------------

Что еще почитать?

Про имплантацию зубов и костные пластики:

- Установка имплантата: как это делается?

- Синус-лифтинг: как это делается?

- Расщепление в стоматологии: как это делается?

- Пересадка костного блока: как это делается?

- Синус-лифтинг и одномоментная имплантация

- Имплантация при полном отсутствии зубов, как следствие несвоевременного обращения к

стоматологу

- Тотальное протезирование на имплантатах

- Одномоментная имплантация и немедленная нагрузка

Про зубы мудрости и их удаление:

- Зубы мудрости: удалить нельзя оставить

- Последствия несвоевременного удаления зубов мудрости. Часть I

- Последствия несвоевременного удаления зубов мудрости. Часть II

- Удаление зубов мудрости. Как это делается?

- ЧЛХ или не ЧЛХ? Вот в чем вопрос… Часть I

- ЧЛХ или не ЧЛХ? Вот в чем вопрос… Часть II

- Онемение после удаления зуба мудрости

- Зубы мудрости: Тянем-потянем!

- Зубы мудрости: «Выше только...»

Про профессиональную гигиену полости рта:

- Профессиональная гигиена полости рта. Часть I

- Профессиональная гигиена полости рта. Часть II. Как это делается?

И, конечно:

- КАРАТЕЛЬНАЯ СТОМАТОЛОГИЯ или “Нижегородская резня”

- Бруксизм, или дентальный компрессионный синдром

- Исправление прикуса и имплантация зубов, в чём связь?

- Вестибулопластика: как это делается?

- Комплексный подход в стоматологии

- Дистализация зубов

- Удаление кисты малой слюнной железы. Как это делается?

- Сверхкомплектные зубы

- Удаление зуба, «недорого»... последствия

- Удаление зуба: как это делается?

- Стоматология: ожидание и реальность

- Рекомендации после приёма хирурга-стоматолога

- Как выбрать врача и стоматологическую клинику?

- Голая правда (статья о формировании стоимости лечения в стоматологической клинике)

Показать полностью 25
38

Как я перец «Каролинский жнец» (Carolina Reaper) пробовал

Всем привет! Пора немного отвлечься от стоматологии. Решил поделиться с вами историей, которая приключилась со мной в апреле прошлого года.

Честно сказать, я не планировал данный пост. Видео снимались исключительно для себя. Добавлять я их не хотел из-за огромного количества мата. Но вот спустя год, после того незабываемого события, я наткнулся на новость, которая напомнила мне всю ту боль, которую я испытал тогда. Задумался.

----------------------------------------------------------------------------------------------------------

----------------------------------------------------------------------------------------------------------

ВНИМАНИЕ!-Uwaga!-Pažnju!-Attention!-Achtung!-Attenzione!-ВНИМАНИЕ!-Uwaga!-Pažnju!

Ниже будут представлены видеоролики с огромным количеством нецензурных выражений.

----------------------------------------------------------------------------------------------------------

----------------------------------------------------------------------------------------------------------

Так что, если вы падаете в обморок услышав слово "хуй", прошу вас воздержаться от прочтения и просмотра этой статьи.

Как я перец «Каролинский жнец» (Carolina Reaper) пробовал

Начну с того, что сколько я себя помню я обожаю острое. Видимо из-за длительных "тренировок" болевая чувствительность в моей полости рта притупилась.

Всего ученые выделяют 5 вкусов: сладкий, соленый, кислый, горький и вкус умами.

А вот острое, это не вкус - это боль.

Однажды в детстве, лет в 12, я пролежал в больничке с подозрением на аппендицит, но как оказалось - у меня было острое воспаление поджелудочной железы в связи с тем, что я в очередной раз "перебрал" с острым. Хоть поджелудочная находится слева, а аппендикс справа, отдавало достаточно знатно... тут могло бы быть многобукв, как обычно, но...ладно, меньше текста больше зрелищ.

Наткнулся на маркет плейсе на сушеный перец каролина рипер. Думаю - пора. Вот, что из этого получилось.

Увы максимум на видео выделяется 3 минуты. Но поверьте, ничего сверхъестественного не было. Попил молочка и все прошло за пару минут. Я был очень удивлен тому, как "просто" все прошло. Но через полчаса мое удивление сменилось болью.

На следующий день, собирались с друзьями, играли в покер. Я решил "угостить" товарищей новинкой и незабываемыми впечатлениями. К моему удивлению никто не спешил быть первым. Как говорится, лучше всего учиться на своих ошибках. Видимо, я не понял этого с первого раза. Забыв про вчерашний "Ад и Израиль", я решил рискнуть еще раз.

Отпустило спустя минут 5

И что вы думаете... Спустя 2 часа я пришел домой, а еще через 10 минут, я спустился во мглу ада, например. Я лежал на полу схватившись за живот в течение 10 минут. Текли слезы. Боли были настолько адские, что я не мог разогнуться. Кинжальные, не иначе.

Поэтому, призываю вас! НЕ стоит пробовать сушеный перец в чистом виде. Если сравнивать ощущения остроты во рту - терпимо, я не могу сказать, что было настолько остро, что пздц. А вот боли в животе - это ад. А прочитав утреннюю новость я понял, что так и откинуться было можно.

Берегите себя и своих близких!

Спасибо за внимание

С уважением, Андрей Дашков

Пы.Сы. А если вам, все же, интересна стоматология - милости просим на мою страницу.

----------------------------------------------------------------------------------------------------------

----------------------------------------------------------------------------------------------------------

К слову, выключите запрет на тег "жесть"! В противном случае, многие мои статьи вы не увидите.

----------------------------------------------------------------------------------------------------------

----------------------------------------------------------------------------------------------------------

Показать полностью 1 4
53

Бруксизм, или дентальный компрессионный синдром

Серия Хирургия полости рта и не только

Здравствуйте, друзья! В продолжение к предыдущей моей статье про связь имплантации и ортодонтического лечения, сегодня я расскажу про проблемы, которые возникают при гипертонусе жевательных мышц.

Немного скучного введения (дальше будет интереснее).

Бруксизм – это скрежет зубами. То есть непроизвольное сжимание челюстей и/или их интенсивное движение относительно друг друга.

В основе проявления бруксизма лежит комплекс различных причин, среди которых выделяют следующие:

Психологические. Следствие эмоциональной нестабильности, стрессов, перегрузок, перенапряжения, которые вызывают непроизвольные мышечные сокращения и скрежет зубами.

Неврологические. Проблема заключается в нарушении деятельности центральной и периферической нервных систем, которые приводят к неврологическим и двигательным расстройствам.

Стоматологические. Расстройство является последствием отклонений в строении и функционировании зубочелюстной системы: это могут быть аномалии зубов, неправильный прикус, некачественное лечение зубов, артрит или артроз височно-нижнечелюстного сустава. Но не у всех людей с окклюзионными нарушениями развивается бруксизм.

Шел 2018 год. Не 2007-й, но было тоже относительно легко и беззаботно. Апрель. Хотелось бы сказать, что запахло весной, метелям отбой, но середина весны, помнится, выдалась морозной. Легкость и беззаботность витали в воздухе. А я тем временем витал в облаках, проебав покупку квартиры в ипотеку, которая в этом же доме к сегодняшнему дню стоит в три раза дороже. Наша уютная клиника только-только открылась. Первые месяцы сего грандиозного события сопровождались приятной воодушевляющей суетой. Глаза горели аки огонь, а рук не хватало. Хотелось всего и сразу.

Буквально первая неделя работы на новом месте. Меня посетил пациент, который начал свое лечение еще в другой клинике.

Первым контрольным рентгеновским снимком был этот:

На установленных ранее имплантатах в области 5 и 7 зубов на верхней челюсти справа (на снимке слева) стоял временный мостовидный протез. Пластик, из которого изготовляются временные конструкции не рентгеноконтрастен. Поэтому ничего кроме «белых полосок» в этой области вы не увидите. Средний срок службы подобных конструкций три месяца, но «по семейным обстоятельствам» пациент пользовался ими дольше обычного. Это привело к тому, что мостовидный протез треснул, аки старый трухлявый деревенский мост. В связи с этим, собственно, пациент и явился на прием. Напомню название статьи – «бруксизм». Сложно не заметить отсутствие зубов на противоположной стороне челюстей. Отсюда можно сделать логичный вывод, что основное (если не единственное) пережевывание пищи осуществлялось на стороне, где установлены имплантаты.

Обратите внимание, как сильно истерты зубы, а в области шеек этих зубов – клиновидные дефекты (некариозное поражение твердых тканей зубов, при которых зуб приобретает форму клина).

Основной причиной появления клиновидных дефектов является перегрузка из-за неправильного смыкания зубов.

На снимке ниже перелом временной коронки:

Пациенту были сняты слепки для изготовления нового мостовидного протеза. Но до этого были проведены воспитательные работы с применением мощного колдунства.

А именно:

– Объяснена необходимость протезирования отсутствующих зубов слева.

– Консультация невролога на тему бруксизма.

– Применение ботокса в области жевательных мышц с целью их расслабления.

– Изготовление ночных кап, функция которых заключается в предотвращении смыкания зубов, благодаря чему во время спазма они не трутся друг о друга.

– Тотальное протезирование всех зубов с целью восстановления высоты прикуса, что способствует устранению чрезмерного напряжения мышц.

И никак, блять, иначе!

Вроде понял. Начали с первых трех этапов:

Было проведено удаление 6 и 8 зуба на нижней челюсти слева (на снимке справа).

После чего пациент был направлен на ботулинотерапию с целью коррекции гипертонуса жевательных мышц. Пропав на три месяца, в июле 2018 он вернулся для установки новых временных коронок на верхней челюсти справа:

Судя по всему, моя магия не сработала, и пациент забил болт еще на 8 месяцев. На звонки не отвечал, на депеши тоже.

Вдруг звонок!

– «Алё, у аппарата»

– «Добрый день, Андрей, я готов продолжать»

– «Тю»

– «Выезжаю»

Пациент созрел на замену временных коронок постоянными на верхней челюсти справа и установку временных коронок на нижней челюсти слева:

Этот человек, как вы поняли, не поддавался объяснениям и «запугиванию», поэтому временные коронки были сделаны на металлическом основании. Они несколько прочнее.

Разницу в материалах можно видеть по белым полоскам в месте, где должна быть коронка. Если обычную временную коронку не видно, то при наличии металла на рентгеновском снимке его будет отчетливо видно.

Увы, продвинуться дальше третьего пункта не удалось. Капу пациент так и не сделал. На контроль и коррекцию инъекций ботокса не явился. Кремень, хуле.

Прошел год. Январь 2020. Начало. «28 дней спустя». По новостям то и дело крутят Ухань. Как китайцы ходят с «дымовыми пушками» как в лучших фильмах про зомбиапокалипсис и окуривают все вокруг. До нас бесноватые на тот момент еще не добрались. Это позже будут маски, куар коды, закрытые магазины, походы в сортир по расписанию. Ну все то, что сейчас воспринимается, как беззаботная, спокойная и яркая жизнь.

Отвлеклись. Год. Да. Прошел год с момента последнего посещения пациента нашей, не побоюсь этого слова, уютной клиники.

Час замены временных коронок на постоянные (на нижней челюсти слева):

После очередных разговоров, что при несоблюдении рекомендаций все со временем пойдет по бороде, пациент, махнув рукой, ушел в закат. Аж на 3.5 года.

Итак, август 2023. Тепло, еще поют птички. Недавно был корпоратив, посвященный «дню основания клиники». Хорошо. Или, как любят говорить наши администраторы «УниХуютно».

Пациент пришел на осмотр с острой болью и подвижностью мостовидного протеза на верхней челюсти справа. «Ага, блять!» Подумал я.

Ладно, шучу, я слишком добрый.

Я искренне надеялся, что это раскрутился винт, фиксирующий коронку к имплантату, но все оказалось куда прозаичнее. Так же, как и в предыдущей статье, причиной был перелом винта:

Рентгеновский снимок после извлечения винта и снятия мостовидно протеза:

Временным (!) решением данной проблемы была замена фиксирующего винта на новый и фиксация этого же мостовидного протеза на место:

Зубы за 3.5 года жизнь потрепала. Режущие края истерлись, появилось больше клиновидных дефектов:

Особенно не выдержал натиска времени 6й верхний левый зуб:

Бедолагу изъело кариесом:

В том числе кариес появился и на контактной поверхности 7о зуба. Маленькая черная точка.

Было принято решение об удалении зуба и установке имплантатов в области 5 и 6 зубов:

Параллельно необходимо залечить 7-ку, пока нет коронок на имплнататах. Так подобраться к зубу проще.

Январь 2024. Наши дни. Установка постоянных безметалловых коронок слева сверху:

Сканирование челюстей для изготовления ночной капы:

Моделирование капы:

Далее планируется самый «большой» этап – это тотальное протезирование всех зубов. Вероятнее всего, это случится еще через несколько лет. Поэтому, статью актуальнее разместить уже сейчас.

Теперь то вы поняли какими проблемами может обернуться такой, казалось бы, пустяк, как бруксизм?

Ну а вообще, буду держать вас в курсе, чем закончилась эта история длинною (пока еще) в 6 лет.

Пы. Сы. Ни одно животное не пострадало.

С уважением, Андрей Дашков

----------------------------------------------------------------------------------------------------------

----------------------------------------------------------------------------------------------------------

К слову, выключите запрет на тег "жесть"! В противном случае, многие мои статьи вы не увидите.

----------------------------------------------------------------------------------------------------------

----------------------------------------------------------------------------------------------------------

Что еще почитать?

Про имплантацию зубов и костные пластики:

- Установка имплантата: как это делается?

- Синус-лифтинг: как это делается?

- Расщепление в стоматологии: как это делается?

- Пересадка костного блока: как это делается?

- Синус-лифтинг и одномоментная имплантация

- Имплантация при полном отсутствии зубов, как следствие несвоевременного обращения к

стоматологу

- Тотальное протезирование на имплантатах

- Одномоментная имплантация и немедленная нагрузка

Про зубы мудрости и их удаление:

- Зубы мудрости: удалить нельзя оставить

- Последствия несвоевременного удаления зубов мудрости. Часть I

- Последствия несвоевременного удаления зубов мудрости. Часть II

- Удаление зубов мудрости. Как это делается?

- ЧЛХ или не ЧЛХ? Вот в чем вопрос… Часть I

- ЧЛХ или не ЧЛХ? Вот в чем вопрос… Часть II

- Онемение после удаления зуба мудрости

- Зубы мудрости: Тянем-потянем!

- Зубы мудрости: «Выше только...»

Про профессиональную гигиену полости рта:

- Профессиональная гигиена полости рта. Часть I

- Профессиональная гигиена полости рта. Часть II. Как это делается?

И, конечно:

- КАРАТЕЛЬНАЯ СТОМАТОЛОГИЯ или “Нижегородская резня”

- Исправление прикуса и имплантация зубов, в чём связь?

- Вестибулопластика: как это делается?

- Комплексный подход в стоматологии

- Дистализация зубов

- Удаление кисты малой слюнной железы. Как это делается?

- Сверхкомплектные зубы

- Удаление зуба, «недорого»... последствия

- Удаление зуба: как это делается?

- Стоматология: ожидание и реальность

- Рекомендации после приёма хирурга-стоматолога

- Как выбрать врача и стоматологическую клинику?

- Голая правда (статья о формировании стоимости лечения в стоматологической клинике)

Показать полностью 24
233

Исправление прикуса и имплантация зубов, в чём связь?

Приветствую, дорогие друзья и недруги! Я написал много статей на тему зубов мудрости, имплантации и костных пластик. Рассказывал про комплексный подход в стоматологии и раскрывал голую правду. Сегодня же, я расскажу вам про важность ортодонтического лечения до протезирования отсутствующих зубов с использованием дентальных имплантатов.

Немного «заумностей».

Зуб имеет периодонт – связку (соеденительную ткань, находящуюся в щелевидном пространстве между цементом корня зуба и внутренней поверхностью зубной лунки – альвеолы).

Эта связка удерживает зуб в лунке и служит амортизацией за счет сжатия и растяжения. При ортодонтическом передвижении зуба с одной стороны связка сжимается, а с другой растягивается. Далее включаются механизмы регенарации - восстановления. Организму необходимо сохранить толщину связки. В области давления периодонт сжимается, в этом месте образуются остеокласты (клетки, разрушающие костную ткань посредством растворения минеральной составляющей и разрушения коллагена). Это называется резорбцией костной ткани. С противоположной стороны давления связка растягивается и под воздействием остеобластов (молодые клетки костной ткани, синтезирующие межклеточное вещество). Простыми словами клетки, создающие новую костную ткань.

То есть зуб перемещается за счет разрушения и формирования костной ткани за счет сжатия и растяжения периодонта.

У имплантата такой связки нет. При интеграции имплантата происходит соединение/сращение имплантата с костной тканью. Титан инертный материал, не вызывающий иммунологической реакции. В стоматологии чаще используют имплантаты с пористо-порошковым покрытием, которое является биоактивным, то есть за счет пористости прорастание костной ткани внутрь имплантата происходит быстрее. Для установки имплантата готовится ложе посредством сверления. После установки самого имплантата начинается процесс регенерации, нарастает костная ткань. По началу она довольно слабая и не может выдержать обычные нагрузки при жевании, но постепенно уплотняется, прорастает в поры имплантата. Спустя 4 месяца имплантат полностью интегрируется и может принимать обычную для здорового зуба нагрузку. Если установить имплантат в условиях неправильного прикуса, то в дальнейшем может возникнуть огромное количество проблем. От невозможности проведения корректного брекет лечения ввиду того, что сдвинуть с места прижившийся имплантат не получится, до функциональных проблем, перегрузок, сколов и прочего говна. Про один такой показательный случай я и расскажу.

Начну издалека и покажу вам клинический случай, который берет свое начало аж с 2018 года. Жизнь, когда еще никто не стал экспертом по ковиду, за 4 миллиона можно было купить мерседес, а не «москвич», а квартира не стоила хуллиард (на счет последнего не точно).

В январе 2018 молодой девушке была проведена имлантация в области 6го зуба на нижней челюсти слева, а коронка установлена в другом месте.

Ко мне же она пришла уже на профосмотр через месяц.

Ниже фрагмент компьютерной томографии, а интересующий имплантат справа снизу:

Увы, но рядом стоящий 7й зуб треснул пополам и было принято решение о его удалении и установке имплантата.

Для полной интеграции имплантата необходимо около 4х месяцев, но девушка пришла спустя 6, в июне 2018:

Жалоб нет, имплантат интегрирован. Следующим этом было снятие слепков и изготовление коронки. Ниже снимок от августа 2018:

Казалось, что все в порядке. Так, собственно, оно и было. Контрольный снимок в декабре 2019:

Проходит еще полтора года и пациентка вдруг приходит на осмотр с жалобами на подвижность коронки в области той самой 6ки, с которой мы начали. Сначала показалось, что просто раскрутился винт, фиксирующий коронку к имплантату.

И тут начинается самое интересное. Что такое абатмент мы выяснили из картинки выше, это переходный элемент между коронкой и имлпантатом. Так вот по всем технологиям и нормам он должен быть титановым. Как контрастирует титан на рентгеновском снимке вы можете заметить, посмотрев на имплантат. Видите разницу между 6м и 7м имплантатом?

Так вот абатмент, который вставляется в имплантат из другого материала. Вероятнее всего это кобальт-хромовый сплав. Такие штуки изготавливаются литьевым методом. Все мы знаем, что металл при нагревании расширяется, а остывая сжимается, дает усадку. Соединение имплантат- абатмент должно быть четким. Важны даже микроны. В данном случае наверняка была микроподвижность в этом соединении, высокая нагрузка на винт, в связи с чем он и сломался.

(упд: я так думал изначально)

Часть с резьбой осталась в имплантате

На рентгеновском снимке:

Внутренний конструктив имплантата:

Благо я работаю с профессионалами. Иван Алгазин, наш ортопед, умудрился достать обломок винта, что крайне сложно сделать не повредив принимающую часть в имлпантате:

На фото ниже виден шестигранник, обратите внимание какой он шероховатый. Он должен быть отполированным, гладким. (К слову, о той микроподвижности, про которую я говорил выше)

Сравнение абатмента из кобальт-хрома и титана:

Кроме виртуозного извлечения винта были сняты слепки и изготовлена новая коронка с соблюдением всех стандартов. В августе 2021 у пациентки появился новый старый зуб:

Если вы еще помните, то статья про необходимость исправления прикуса до установки имплантатов. Было бы странно, если бы описывая данный клинический случай я бы не упомянул, что у девушки изначально были выраженные проблемы с прикусом, патологическая стираемость зубов и сколы.

И вот эти проблемы дали о себе знать. Июнь 2023 года, спустя каких-то 5 лет после установки коронки на 7й нижний имплантат винт ломается и в нем.

Вы спросите почему, если протезирование было проведено корректно с использованием правильных матераилов и тд и тп?

Прикус:

За эти годы ситуация усугубилась, стираемость зубов прогрессировала.

Вот как выглядели зубы в 2018 году:

А это через каких-то 3 года, 2021:

Обратите внимание, как сильно стерлась верхняя «двойка» и нижний клык:

Ниже ситуация от июня 2023:

Есть такое понятие, как клыковое ведение (или клыковая дезокклюзия) – это разобщение задних зубов во время боковых движений нижней челюсти. Иными словами, (прочтите медленно) при смещении нижней челюсти в сторону, двигаясь клыком нижней челюсти по клыку верхней челюсти на момент контакта бугров, у боковых зубов не должно быть контакта. В данном случае он есть именно на 7ках:

Оранжевым цветом отмечена стираемость зубов, а красным место контакта.

Зубы стерлись, высота прикуса занизилась. В связи с чем появился преждевременный контакт керамической коронки на нижнем 7м зубе (керамика не стирается) и верхним 7м зубом.

(Вы можете отметить, что на 6ке тоже керамическая коронка. Не стоит забывать, что ее переделывали. Следовательно, она была подогнана под истертые зубы).

Поэтому, из-за постоянной перегрузки винт и сломался. Могучий Иван снова достал винт, заменил его на новый и прикрутил обратно ту же самую коронку. Подточил 7й зуб, вывив его из преждевременного контакта с нижним. (снимки сделаны при помощи зеркала) на 3,4,5,6 зубах отпечатана копирка, на 7м нет:

Стоил ли говорить, что не пришлось снова объяснять пациентке о необходимости ортодонтии?

Вот такая история, а на сегодня все. Спасибо за внимание!

С уважением Андрей Дашков

----------------------------------------------------------------------------------------------------------

----------------------------------------------------------------------------------------------------------

К слову, выключите запрет на тег "жесть"! В противном случае, некоторые мои статьи вы не увидите.

----------------------------------------------------------------------------------------------------------

----------------------------------------------------------------------------------------------------------

Мои:

Инстаграм

Фейсбук

--------------------------------------------------------------------------------------------------------------------------------------------------------------------------------------------------------------------

Что еще почитать?

Про имплантацию зубов и костные пластики:

- Установка имплантата: как это делается?

- Синус-лифтинг: как это делается?

- Расщепление в стоматологии: как это делается?

- Пересадка костного блока: как это делается?

- Синус-лифтинг и одномоментная имплантация

- Имплантация при полном отсутствии зубов, как следствие несвоевременного обращения к

стоматологу

- Тотальное протезирование на имплантатах

- Одномоментная имплантация и немедленная нагрузка

Про зубы мудрости и их удаление:

- Зубы мудрости: удалить нельзя оставить

- Последствия несвоевременного удаления зубов мудрости. Часть I

- Последствия несвоевременного удаления зубов мудрости. Часть II

- Удаление зубов мудрости. Как это делается?

- ЧЛХ или не ЧЛХ? Вот в чем вопрос… Часть I

- ЧЛХ или не ЧЛХ? Вот в чем вопрос… Часть II

- Онемение после удаления зуба мудрости

- Зубы мудрости: Тянем-потянем!

- Зубы мудрости: «Выше только...»

Про профессиональную гигиену полости рта:

- Профессиональная гигиена полости рта. Часть I

- Профессиональная гигиена полости рта. Часть II. Как это делается?

И, конечно:

- КАРАТЕЛЬНАЯ СТОМАТОЛОГИЯ или “Нижегородская резня”

- Вестибулопластика: как это делается?

- Комплексный подход в стоматологии

- Дистализация зубов

- Удаление кисты малой слюнной железы. Как это делается?

- Сверхкомплектные зубы

- Удаление зуба, «недорого»... последствия

- Удаление зуба: как это делается?

- Стоматология: ожидание и реальность

- Рекомендации после приёма хирурга-стоматолога

- Как выбрать врача и стоматологическую клинику?

- Голая правда (статья о формировании стоимости лечения в стоматологической клинике)

Показать полностью 25
478

КАРАТЕЛЬНАЯ СТОМАТОЛОГИЯ или “Нижегородская резня”

Серия Зубы Мудрости

КАРАТЕЛЬНАЯ СТОМАТОЛОГИЯ или “Нижегородская резня”

Здравствуйте, уважаемые друзья!

Начну с того, что в сегодняшней статье будет присутствовать ненормативная лексика чуть в большем объеме, чем это обычно бывает. Почему? Потому что эта статья спонтанна и не запланирована. Всему виной недоумение, что такое вообще бывает. Поэтому, если вы считаете, что врачи не такие же люди, как и вы, и не ругаются матом, а от слова «хуй» вы падаете в обморок, – советую воздержаться от прочтения этой статьи.

Я уже не раз говорил о том, что крайне сложно найти адекватную стоматологическую клинику, не говоря уже о докторе, который “знает и могёт”. Сегодняшняя статья посвящена очередному случаю непрофессионализма, с которым мне пришлось столкнуться. Вы скажете, – а как же врачебная этика? Да ну её нахуй, когда дело касается здоровья пациента. Выражение «не можешь – не берись» очень четко подходит к медицине. Как-никак доктора имеют дело со здоровьем и жизнью людей.

Далее будет случай, который основан на рассказе пациента, – Константина. Конечно, с моими ремарками.

Итак, около недели тому назад сижу на работе, беды не чую. Ассистент готовит кабинет к приёму очередного пациента. На почту приходит сообщение от некоего Константина, который с двух попыток в разных нижегородских клиниках не смог избавиться от вот такого зуба мудрости.

Горизонтальный – зуб мудрости, черная полоска под ним – нижнечелюстной нерв.

Казалось бы, – что должно пойти не так при удалении стандартной восьмерки? Если время этого самого удаления занимает 20, а в худшем случае 30 минут. А вот что.

Настало время охуительных историй.

11 мая сего года Константин обратился в частную клинику в Нижнем Новгороде дабы полечить поверхностный кариес. Увидев, что в клинике есть хирургические услуги, он поинтересовался у молодой “врачихи” 27 лет отроду о том, можно ли заодно удалить его единственный зуб мудрости. Она сказала, что это займет много времени (около полутора часов), но вай как говорится и нот? Типа, 10 тыщ – и я вся твоя.

Врачиха, стоимость и продолжительность Константина устроили. Если с ценником я еще соглашусь, то полтора часа – это лютый перебор. Что можно делать с зубом полтора часа? – подумал я. Снимать тик-токи?

Что ж. Она начала. Через три часа… ТРИ, КАРЛ! Анестезия начала проседать. Ничего удивительного. Константин почувствовал боль, «врачиха» повела его на рентгеновский снимок.

Он спросил, – “много ли перепилили»? Ответом было, – нуу… процентов 5 от зуба. За три-то часа. В этом месте Константин охуел. Он надеялся, что за три часа процесс уж точно должен был быть закончен. Но, получив еще дозу наркоза (мы, конечно, говорим про местную анестезию), они пошли пилить дальше.

После того, как с начала удаления прошло уже 5 (!) часов… врач сказала, – «бор не достает до зуба, да и отек у тебя уже образовывается. Поехали-ка мы лучше в ЧЛХ (челюстно–лицевую хирургию), там врач сразу тебе все удалит и отпустит домой». Звучит обнадеживающе. Стоит отдать должное девушке-доктору, что она не выперла Константина из клиники, а все-таки довезла его до более компетентного, как тогда казалось, места. Приехали в больницу. Спустя 2 часа (странно, что не больше) Константина госпитализировали. Но вот незадача, – врача уже нет, рабочий мать его день закончился. Пришлось остаться ночевать. Все же знают какой кайф ночевать в региональной больнице? Вот и Константину это «понравилось». Его можно понять, ведь никто не хочет испытать на себе все радости храпящих и пукающих соседей, уколов в сраку и внутрибольничной инфекции в качестве бонуса. На следующий день пришла врач пенсионного возраста и сказала, что нет никакого смысла что-то делать, так как за ночь успел развиться большой отек. Полежи-ка, милок, неделю, вот начнет открываться рот, тогда и посмотрим. Заебись, неправда ли?

Пришел, блять, зуб удалить.

Сложный.

За полтора часа.

За 10 тыщ.

На 17-е число, аккурат в день рождения Константина, была назначена повторная операция.

Готовы? Сейчас Косте будут дарить подарки.

17 мая 2023 года Константина кладут на стол, обезболивают и зачем-то завязывают глаза. Потом достают самый мощный страпон. Начинают пилить зуб машинкой. Засунув элеватор в рот, доктор сказала, – «сейчас хрустнет!», но почему-то не хрустело. Это наверно первый случай за 47 лет жизни Константина, когда он безумно хотел, чтобы в его голове уже что-то наконец хрустнуло. Вдруг он почувствовал резкую боль, пошла кровь. ФЛЮГЕНГЕХАЙМЕН! Пытался крикнуть Константин с полным ртом крови.

Начались тампоны, тампоны, тампоны. Увезли в палату, поставили капельницу. «Похоже, засандалила она в нерв», предположил Константин. С учетом того, что после этой «операции» чувство онемения в области губы и подбородка с левой стороны до сих пор не прошло – Костя не ошибся. Назначили повторную операцию под общим наркозом, которую несколько раз переносили. Константина это изрядно подзаебало и 19 мая он решил покинуть обитель Авиценны.

Внимание! Выписка из стационара:

Оказывается, кровотечение началось из-за того, что у Константина вдруг резко подскочило давление. Ну-ну.

Несколько дней он не находил себе места и думал, что же делать дальше.

30 мая, очарованный рекомендациями и отзывами, он записался на консультацию к чуть ли не «самому лучшему хирургу-стоматологу и, по совместительству, челюстно-лицевому хирургу Нижнего Новгорода». В такую же не менее “элитарную”, если не самую лучшую клинику. Если верить аббревиатуре «VIP» в названии.

«Оказалось он с моей этой бабкой (имеет ввиду доктора из ЧЛХ) в одной больнице раньше работал» – рассказывает Константин. «Сказал, что зуб очень сложный и лежит на нерве, нерв на сосуде»…

Игла в яйце, яйцо в утке, утка в зайце, палец в жопе. И, внимание, апогей! «Возможно надо будет вырывать седьмой зуб», – сказал местный умелец и велел идти снова к бабке в ЧЛХ на поклон. Что, блядь? Удалять седьмой зуб, чтобы удалить восьмой? Вы там совсем уже все ебанулись в край? Это как ампутировать руку, потому что не получается снять куртку. За эту чудесную консультацию товарищ не забыл взять с Константина тыщу рублей, хоть и йодоформная турунда, которую он уложил в лунку, была лучше больничной.

Никакого желания ехать к «бабке» не было, а уж если «нижегородский гуру» сказал, что сложно, куда ж еще идти? Константин взялся гуглить, вселенная подкинула ему мои статьи, после чего, как ни странно, он решил связаться уже со мной. Я сказал, что нужна повторная компьютерная томография, и пора готовиться к путешествию в Москву. На следующий день мне пришло письмо:

Открываю я снимок и вижу, что действительно так и было:

Черная полоска, уходящая в правый нижний угол картинки, отмеченная кружком, и есть то место, где был перебит нерв.

Я сказал Константину, что никаких проблем удалении не вижу, тем более все осложнения, которые могли быть, он уже хапнул.

Константин пунктуально прибыл в намеченный день и час. 3 июня 2023. Осмотрев полость рта и «заколдованное» место, в частности, я предложил начать. Константин согласился, хоть и немного волновался. Но это и немудрено после всего того, что он прошёл.

Конечно, меня посещали мысли, что же там такого, что первый раз почти 6 часов пытались удалить зуб, а во второй вообще ёбанули нерв. Сделал анестезию, разрез, и удалил зуб за 4 минуты.

Блядь.

4 минуты!

Может хотя бы 40? Нет, 4!

Что там искали? Закладку? Что столько пилили? Почему не смогли?

Уточняю: 3 минуты ждали, пока подействует анестезия, 4 минуты удаляли зуб, 5 минут накладывали швы, 3 минуты я катал Константина в кресле вверх и вниз. Всё. Меньше 15 минут ушло на удаление остатков зуба мудрости. На целый ушло бы не больше 25.

Белые точки – это остатки йода от йодоформной турунды, которую уложили в больнице (если вы читали выписку). Он рентгеноконтрастен.

Опешивший Константин меня приобнял, мы оба поохуевали и посмеялись, а я решил написать эту статью.

Хороших вам врачей, друзья.

Спасибо за внимание!

Всегда ваш, Андрей Дашков.

----------------------------------------------------------------------------------------------------------

----------------------------------------------------------------------------------------------------------

К слову, выключите запрет на тег "жесть"! В противном случае, некоторые мои статьи вы не увидите.

----------------------------------------------------------------------------------------------------------

----------------------------------------------------------------------------------------------------------

Мои:

Инстаграм

Фейсбук

--------------------------------------------------------------------------------------------------------------------------------------------------------------------------------------------------------------------

Что еще почитать?

Про имплантацию зубов и костные пластики:

- Установка имплантата: как это делается?

- Синус-лифтинг: как это делается?

- Расщепление в стоматологии: как это делается?

- Пересадка костного блока: как это делается?

- Синус-лифтинг и одномоментная имплантация

- Имплантация при полном отсутствии зубов, как следствие несвоевременного обращения к

стоматологу

- Тотальное протезирование на имплантатах

- Одномоментная имплантация и немедленная нагрузка

Про зубы мудрости и их удаление:

- Зубы мудрости: удалить нельзя оставить

- Последствия несвоевременного удаления зубов мудрости. Часть I

- Последствия несвоевременного удаления зубов мудрости. Часть II

- Удаление зубов мудрости. Как это делается?

- ЧЛХ или не ЧЛХ? Вот в чем вопрос… Часть I

- ЧЛХ или не ЧЛХ? Вот в чем вопрос… Часть II

- Онемение после удаления зуба мудрости

- Зубы мудрости: Тянем-потянем!

- Зубы мудрости: «Выше только...»

Про профессиональную гигиену полости рта:

- Профессиональная гигиена полости рта. Часть I

- Профессиональная гигиена полости рта. Часть II. Как это делается?

И, конечно:

- Комплексный подход в стоматологии

- Дистализация зубов

- Удаление кисты малой слюнной железы. Как это делается?

- Сверхкомплектные зубы

- Удаление зуба, «недорого»... последствия

- Удаление зуба: как это делается?

- Стоматология: ожидание и реальность

- Рекомендации после приёма хирурга-стоматолога

- Как выбрать врача и стоматологическую клинику?

- Голая правда (статья о формировании стоимости лечения в стоматологической клинике)

Показать полностью 7
42

ЧЛХ или не ЧЛХ? Вот в чем вопрос… Часть II

Серия Зубы Мудрости

Здравствуйте, дорогие друзья!

Прежде чем приступить к прочтению этой статьи, я рекомендую ознакомиться с «первой частью», которую написал почти 5 лет назад.

Споры о том, где удалять зубы мудрости, не утихают до сих пор. Так стационар или нет?

Я постоянно твержу, что даже самые сложные зубы мудрости удаляются в пределах 40 минут (не стоит ждать осложнений Часть I, Часть II), но каждый второй пациент, приходя на консультацию, говорит о том, что его напугали в другой клинике словами о трехчасовом удалении под наркозом и неделей в больничке.

После того, как я говорю о том, что зачастую удаление ретенированного (того, что не прорезался) зуба занимает 20-30 минут, из которых больше времени уходит на наложение швов, в глазах пациента читается недоумение, а выражение лица такое будто тот хочет уличить меня в пиздеже некотором лукавстве.

Их можно понять. Ещё лет 5 назад я открывал компьютерную томографию пациента с легкой дрожью и страхом увидеть там неимоверный ад. А сейчас слова «ЧЛХ» и «трехчасовое удаление» вызывают у меня лишь улыбку. Правда под этой улыбкой скрывается разочарование в некоторых коллегах. Потому как не костная пластика, а уж тем более не имплантация не является для хирурга-стоматолога эталонным мерилом его навыков и умений. Если доктор не умеет или не знает, как правильно и быстро удалять зубы, что является самой распространенной манипуляцией на хирургическом приеме, то… у меня плохие новости.

Конечно, случаи бывают разные, не могу не согласиться. Но это крайне редкие исключения, а не правило.

Так вот, около года назад ко мне на прием пришел мужчина с примерно теми же опасениями. Мол, ему светит удаление зубов в больничке с последующим увлекательным путешествием от палаты до перевязочной и обратно (в течение эдак дней пяти). Его можно понять, ведь никто не хочет испытать на себе все радости храпящих и булькающих соседей, уколов в сраку и внутрибольничной инфекции в качестве бонуса.

«Глупости какие», – подумал я и отправил пациента делать компьютерную томографию…

Начало весны в том году выдалось на редкость морозным и противным, хотя так оно обычно и бывает. Я, ожидая снимка, смотрел в окошко и мечтал «о море и о закате; как чертовски здорово наблюдать за огромным огненным шаром, как он тает в волнах». А не вот это вот все. Слякоть, ветер, мелкий блядский дождь в лицо, собачий кал на каждом шагу как апофеоз.

Вдруг слышу легкое «тук-тук». Это означало, что пора «возвращаться на землю».

«Готово!» – промолвил пациент и мы сели вместе за компьютер.

Меня уже давно сложно удивить расположением зубов, но в этот раз я расплылся в улыбке – «наконец-то что-то интересное».

У пациента уже появился дискомфорт и проблемы с жеванием, поэтому тянуть с удалением не было никакого смысла.

После изучения снимка и дополнительной консультации с терапевтом были приговорены практически все жевательные зубы, кроме левой нижней шестерки. (На снимке справа)

После того, как я предупредил о ВСЕХ возможных рисках и последствиях, плюс о шансе, что условий для имплантации на верхней челюсти в дальнейшем может и не представиться, пациент согласился. Я начал с удаления зубов на верхней челюсти справа. (на снимке слева)

Как вы думаете, сколько ушло у меня на удаление этих трех зубов?

Важное пояснение!

Сразу отмечу, что НИКОГДА не принижал способностей докторов в ЧЛХ стационаре. Наоборот, всегда говорил, что у них работа совсем иная и на порядок сложнее, чем обычный амбулаторный прием. А распыляться на какие-то там удаления, когда они собирают целые головы, как лего без инструкции, да ну. Я вот так не умею. Так что честь и хвала, серьезно. Думаю, что адекватный читатель все это понял и без этой ремарки. На вас и уповаю. Но не отменяю срача в комментариях тех, кто читает между строк, пытаясь увидеть тут того, чего нет.

Отвлеклись.

Так вот, удаление заняло около часа (точнее, 70 минут). Причем чтобы вы понимали: это не работа на скорость, не соревнование. На первом месте всегда здоровье пациента. Я никогда никуда не спешу, даже с учетом того, что в нашей клинике есть правило: если удаление одного зуба занимает больше 45 минут, то пациент за него не платит. Возможно, дело в том, что для начала нужно иметь опыт в подобных удалениях, а уж потом этим заниматься массово. А вот, самоутверждаясь, пыхтеть и потеть над пациентом 3 часа не надо.

Три зуба – 70 минут (от анестезии до последнего шва).

В лунки были уложены гемостатические губки, рана наглухо ушита.

Примерно через месяц мы приступили к удалению трех зубов на нижней челюсти, что заняло чуть меньше часа – около 50 минут.

Как тебе такое, Илон Маск?

Дальше был период заживления. Замечу сразу: снизу заживление пошло не так, как хотелось бы.

Спустя 3 месяца картина была такой.

Вроде бы все хорошо, но с учетом того, что слизистая оболочка восстанавливается намного быстрее, чем костная ткань, то она завернулась внутрь и наполовину заполнила собой лунки удаленных зубов.

Пришлось частично все вычистить и сгладить выступающие края. В лунках формировались новые кровяные сгустки.

Контрольный снимок был запланирован через 3-4 месяца.

К слову сказать, после удаления обычного зуба достаточно двух месяцев перед тем, как можно устанавливать имплантат. Конечно, если не было условий для одномоментной имплантации, что бывает намного чаще.

Вжух, и четыре месяца позади.

Что ж, в этот раз все отлично затянулось и восстановилось. Объема костной ткани на нижней челюсти достаточно для того, что установить имплантат в области отсутствующего шестого зуба.

На верхней же челюсти прогнозируемо требуется костная пластика с дальнейшей имплантацией.

Напомню, только в области шестого зуба.

А вот об этом я расскажу уже в следующей своей статье.

Ну так что, ЧЛХ или не ЧЛХ? Выбор за тобой!

Спасибо за внимание!

С уважением Андрей Дашков.

----------------------------------------------------------------------------------------------------------------------------

----------------------------------------------------------------------------------------------------------------------------

К слову, выключите запрет на тег "жесть"! В противном случае, некоторые мои статьи вы не увидите.

----------------------------------------------------------------------------------------------------------------------------

----------------------------------------------------------------------------------------------------------------------------

Мои:

Инстаграм

Фейсбук

--------------------------------------------------------------------------------------------------------------------------------------------------------------------------------------------------------------------------------------------------------

Что еще почитать?

Про имплантацию зубов и костные пластики:

- Установка имплантата: как это делается?

- Синус-лифтинг: как это делается?

- Расщепление в стоматологии: как это делается?

- Пересадка костного блока: как это делается?

- Синус-лифтинг и одномоментная имплантация

- Имплантация при полном отсутствии зубов, как следствие несвоевременного обращения к

стоматологу

- Тотальное протезирование на имплантатах

- Одномоментная имплантация и немедленная нагрузка

Про зубы мудрости и их удаление:

- Зубы мудрости: удалить нельзя оставить

- Последствия несвоевременного удаления зубов мудрости. Часть I

- Последствия несвоевременного удаления зубов мудрости. Часть II

- Удаление зубов мудрости. Как это делается?

- ЧЛХ или не ЧЛХ? Вот в чем вопрос… Часть I

- Онемение после удаления зуба мудрости

- Зубы мудрости: Тянем-потянем!

- Зубы мудрости: «Выше только...»

Про профессиональную гигиену полости рта:

- Профессиональная гигиена полости рта. Часть I

- Профессиональная гигиена полости рта. Часть II. Как это делается?

И, конечно:

- Комплексный подход в стоматологии

- Дистализация зубов

- Удаление кисты малой слюнной железы. Как это делается?

- Сверхкомплектные зубы

- Удаление зуба, «недорого»... последствия

- Удаление зуба: как это делается?

- Стоматология: ожидание и реальность

- Рекомендации после приёма хирурга-стоматолога

- Как выбрать врача и стоматологическую клинику?

- Голая правда (статья о формировании стоимости лечения в стоматологической клинике)

Показать полностью 8
Отличная работа, все прочитано!

Темы

Политика

Теги

Популярные авторы

Сообщества

18+

Теги

Популярные авторы

Сообщества

Игры

Теги

Популярные авторы

Сообщества

Юмор

Теги

Популярные авторы

Сообщества

Отношения

Теги

Популярные авторы

Сообщества

Здоровье

Теги

Популярные авторы

Сообщества

Путешествия

Теги

Популярные авторы

Сообщества

Спорт

Теги

Популярные авторы

Сообщества

Хобби

Теги

Популярные авторы

Сообщества

Сервис

Теги

Популярные авторы

Сообщества

Природа

Теги

Популярные авторы

Сообщества

Бизнес

Теги

Популярные авторы

Сообщества

Транспорт

Теги

Популярные авторы

Сообщества

Общение

Теги

Популярные авторы

Сообщества

Юриспруденция

Теги

Популярные авторы

Сообщества

Наука

Теги

Популярные авторы

Сообщества

IT

Теги

Популярные авторы

Сообщества

Животные

Теги

Популярные авторы

Сообщества

Кино и сериалы

Теги

Популярные авторы

Сообщества

Экономика

Теги

Популярные авторы

Сообщества

Кулинария

Теги

Популярные авторы

Сообщества

История

Теги

Популярные авторы

Сообщества