КАРАТЕЛЬНАЯ СТОМАТОЛОГИЯ или “Нижегородская резня”
КАРАТЕЛЬНАЯ СТОМАТОЛОГИЯ или “Нижегородская резня”
Здравствуйте, уважаемые друзья!
Начну с того, что в сегодняшней статье будет присутствовать ненормативная лексика чуть в большем объеме, чем это обычно бывает. Почему? Потому что эта статья спонтанна и не запланирована. Всему виной недоумение, что такое вообще бывает. Поэтому, если вы считаете, что врачи не такие же люди, как и вы, и не ругаются матом, а от слова «хуй» вы падаете в обморок, – советую воздержаться от прочтения этой статьи.
Я уже не раз говорил о том, что крайне сложно найти адекватную стоматологическую клинику, не говоря уже о докторе, который “знает и могёт”. Сегодняшняя статья посвящена очередному случаю непрофессионализма, с которым мне пришлось столкнуться. Вы скажете, – а как же врачебная этика? Да ну её нахуй, когда дело касается здоровья пациента. Выражение «не можешь – не берись» очень четко подходит к медицине. Как-никак доктора имеют дело со здоровьем и жизнью людей.
Далее будет случай, который основан на рассказе пациента, – Константина. Конечно, с моими ремарками.
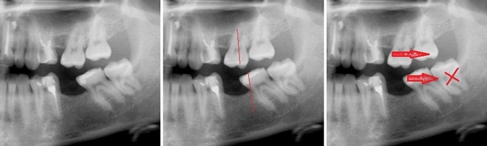
Итак, около недели тому назад сижу на работе, беды не чую. Ассистент готовит кабинет к приёму очередного пациента. На почту приходит сообщение от некоего Константина, который с двух попыток в разных нижегородских клиниках не смог избавиться от вот такого зуба мудрости.
Горизонтальный – зуб мудрости, черная полоска под ним – нижнечелюстной нерв.
Казалось бы, – что должно пойти не так при удалении стандартной восьмерки? Если время этого самого удаления занимает 20, а в худшем случае 30 минут. А вот что.
Настало время охуительных историй.
11 мая сего года Константин обратился в частную клинику в Нижнем Новгороде дабы полечить поверхностный кариес. Увидев, что в клинике есть хирургические услуги, он поинтересовался у молодой “врачихи” 27 лет отроду о том, можно ли заодно удалить его единственный зуб мудрости. Она сказала, что это займет много времени (около полутора часов), но вай как говорится и нот? Типа, 10 тыщ – и я вся твоя.
Врачиха, стоимость и продолжительность Константина устроили. Если с ценником я еще соглашусь, то полтора часа – это лютый перебор. Что можно делать с зубом полтора часа? – подумал я. Снимать тик-токи?
Что ж. Она начала. Через три часа… ТРИ, КАРЛ! Анестезия начала проседать. Ничего удивительного. Константин почувствовал боль, «врачиха» повела его на рентгеновский снимок.
Он спросил, – “много ли перепилили»? Ответом было, – нуу… процентов 5 от зуба. За три-то часа. В этом месте Константин охуел. Он надеялся, что за три часа процесс уж точно должен был быть закончен. Но, получив еще дозу наркоза (мы, конечно, говорим про местную анестезию), они пошли пилить дальше.
После того, как с начала удаления прошло уже 5 (!) часов… врач сказала, – «бор не достает до зуба, да и отек у тебя уже образовывается. Поехали-ка мы лучше в ЧЛХ (челюстно–лицевую хирургию), там врач сразу тебе все удалит и отпустит домой». Звучит обнадеживающе. Стоит отдать должное девушке-доктору, что она не выперла Константина из клиники, а все-таки довезла его до более компетентного, как тогда казалось, места. Приехали в больницу. Спустя 2 часа (странно, что не больше) Константина госпитализировали. Но вот незадача, – врача уже нет, рабочий мать его день закончился. Пришлось остаться ночевать. Все же знают какой кайф ночевать в региональной больнице? Вот и Константину это «понравилось». Его можно понять, ведь никто не хочет испытать на себе все радости храпящих и пукающих соседей, уколов в сраку и внутрибольничной инфекции в качестве бонуса. На следующий день пришла врач пенсионного возраста и сказала, что нет никакого смысла что-то делать, так как за ночь успел развиться большой отек. Полежи-ка, милок, неделю, вот начнет открываться рот, тогда и посмотрим. Заебись, неправда ли?
Пришел, блять, зуб удалить.
Сложный.
За полтора часа.
За 10 тыщ.
На 17-е число, аккурат в день рождения Константина, была назначена повторная операция.
Готовы? Сейчас Косте будут дарить подарки.
17 мая 2023 года Константина кладут на стол, обезболивают и зачем-то завязывают глаза. Потом достают самый мощный страпон. Начинают пилить зуб машинкой. Засунув элеватор в рот, доктор сказала, – «сейчас хрустнет!», но почему-то не хрустело. Это наверно первый случай за 47 лет жизни Константина, когда он безумно хотел, чтобы в его голове уже что-то наконец хрустнуло. Вдруг он почувствовал резкую боль, пошла кровь. ФЛЮГЕНГЕХАЙМЕН! Пытался крикнуть Константин с полным ртом крови.
Начались тампоны, тампоны, тампоны. Увезли в палату, поставили капельницу. «Похоже, засандалила она в нерв», предположил Константин. С учетом того, что после этой «операции» чувство онемения в области губы и подбородка с левой стороны до сих пор не прошло – Костя не ошибся. Назначили повторную операцию под общим наркозом, которую несколько раз переносили. Константина это изрядно подзаебало и 19 мая он решил покинуть обитель Авиценны.
Внимание! Выписка из стационара:
Оказывается, кровотечение началось из-за того, что у Константина вдруг резко подскочило давление. Ну-ну.
Несколько дней он не находил себе места и думал, что же делать дальше.
30 мая, очарованный рекомендациями и отзывами, он записался на консультацию к чуть ли не «самому лучшему хирургу-стоматологу и, по совместительству, челюстно-лицевому хирургу Нижнего Новгорода». В такую же не менее “элитарную”, если не самую лучшую клинику. Если верить аббревиатуре «VIP» в названии.
«Оказалось он с моей этой бабкой (имеет ввиду доктора из ЧЛХ) в одной больнице раньше работал» – рассказывает Константин. «Сказал, что зуб очень сложный и лежит на нерве, нерв на сосуде»…
Игла в яйце, яйцо в утке, утка в зайце, палец в жопе. И, внимание, апогей! «Возможно надо будет вырывать седьмой зуб», – сказал местный умелец и велел идти снова к бабке в ЧЛХ на поклон. Что, блядь? Удалять седьмой зуб, чтобы удалить восьмой? Вы там совсем уже все ебанулись в край? Это как ампутировать руку, потому что не получается снять куртку. За эту чудесную консультацию товарищ не забыл взять с Константина тыщу рублей, хоть и йодоформная турунда, которую он уложил в лунку, была лучше больничной.
Никакого желания ехать к «бабке» не было, а уж если «нижегородский гуру» сказал, что сложно, куда ж еще идти? Константин взялся гуглить, вселенная подкинула ему мои статьи, после чего, как ни странно, он решил связаться уже со мной. Я сказал, что нужна повторная компьютерная томография, и пора готовиться к путешествию в Москву. На следующий день мне пришло письмо:
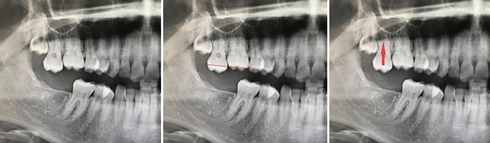
Открываю я снимок и вижу, что действительно так и было:
Черная полоска, уходящая в правый нижний угол картинки, отмеченная кружком, и есть то место, где был перебит нерв.
Я сказал Константину, что никаких проблем удалении не вижу, тем более все осложнения, которые могли быть, он уже хапнул.
Константин пунктуально прибыл в намеченный день и час. 3 июня 2023. Осмотрев полость рта и «заколдованное» место, в частности, я предложил начать. Константин согласился, хоть и немного волновался. Но это и немудрено после всего того, что он прошёл.
Конечно, меня посещали мысли, что же там такого, что первый раз почти 6 часов пытались удалить зуб, а во второй вообще ёбанули нерв. Сделал анестезию, разрез, и удалил зуб за 4 минуты.
Блядь.
4 минуты!
Может хотя бы 40? Нет, 4!
Что там искали? Закладку? Что столько пилили? Почему не смогли?
Уточняю: 3 минуты ждали, пока подействует анестезия, 4 минуты удаляли зуб, 5 минут накладывали швы, 3 минуты я катал Константина в кресле вверх и вниз. Всё. Меньше 15 минут ушло на удаление остатков зуба мудрости. На целый ушло бы не больше 25.
Белые точки – это остатки йода от йодоформной турунды, которую уложили в больнице (если вы читали выписку). Он рентгеноконтрастен.
Опешивший Константин меня приобнял, мы оба поохуевали и посмеялись, а я решил написать эту статью.
Хороших вам врачей, друзья.
Спасибо за внимание!
Всегда ваш, Андрей Дашков.
----------------------------------------------------------------------------------------------------------
----------------------------------------------------------------------------------------------------------
К слову, выключите запрет на тег "жесть"! В противном случае, некоторые мои статьи вы не увидите.
----------------------------------------------------------------------------------------------------------
----------------------------------------------------------------------------------------------------------
Мои:
--------------------------------------------------------------------------------------------------------------------------------------------------------------------------------------------------------------------
Что еще почитать?
Про имплантацию зубов и костные пластики:
Про зубы мудрости и их удаление:
Про профессиональную гигиену полости рта:
И, конечно:
- Голая правда (статья о формировании стоимости лечения в стоматологической клинике)


























































































