Красивое




Автор: Nightmancer (u/Nightmancer) - Reddit




Автор: Nightmancer (u/Nightmancer) - Reddit
Жалобы на частые боли в пояснице, возникающие при физ. нагрузках, в покое, временно купирующиеся НПВС.
В теле L3 позвонка определяется гемангиома, размером 15х14х14мм, без перифокальных изменений. В теле L4 позвонка определяется очаг жировой дегенерации костного мозга, размером 20х16х8мм.
Небольшие гемангиомы (до 1 см):
-Не вызывают выраженных симптомов.
Гемангиомы среднего размера (1-2 см):
-Могут сопровождаться болевым синдромом и приводить к неврологическим нарушениям.
Крупные гемангиомы ( 3-4 см):
-Могут привести к патологическому перелому тела позвонка, выраженным неврологическим нарушениям.
С учетом средних размеров гемангиомы тела L3 позвонка, частого обострения болевого синдрома, категория годности по ст.10(Доброкачественные новообразования)б-В(ограниченно годен к военной службе).
Гемангиома печени — это доброкачественная сосудистая опухоль, состоящая из переплетенных кровеносных сосудов. Она является одной из самых распространенных доброкачественных опухолей печени.
Размеры: обычно небольшие (до 4–5 см), но могут достигать гигантских размеров (более 10 см).
Локализация: чаще в правой доле печени.
Типы:
Капиллярная (мелкие сосуды, чаще множественные).
Кавернозная (крупные сосудистые полости, чаще одиночная).
Точная причина неизвестна, но возможные факторы:
Врожденная предрасположенность.
Гормональные влияния (эстроген может способствовать росту).
Беременность (иногда провоцирует увеличение гемангиомы).
В большинстве случаев гемангиома бессимптомна и обнаруживается случайно при УЗИ, КТ или МРТ.
При больших размерах возможны:
Тяжесть или боль в правом подреберье.
Тошнота, чувство переполнения желудка.
Редко – желтуха, кровотечение (при разрыве).
УЗИ
КТ или МРТ с контрастом – золотой стандарт (характерно накопление контраста от периферии к центру- центрипитальное).
Биопсия – не рекомендуется из-за риска кровотечения.
Большинство гемангиом не требуют лечения, только наблюдение.
Показания к оперативному лечению:
Быстрый рост.
Большие размеры (>5 см) с симптомами.
Риск разрыва (например, при травме).
Осложнения (кровотечение, тромбоз).
Методы оперативного лечения:
Хирургическое удаление (резекция печени) – при больших или осложненных гемангиомах.
Эмболизация (перекрытие сосудов опухоли).
Радиочастотная абляция (РЧА) – для небольших образований.
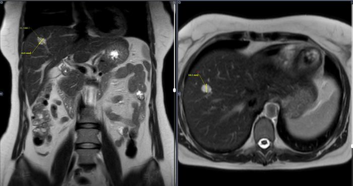
Структура печени неоднородная, за счет наличия в VIII сегменте правой доли дополнительного образования размерами 1,0х1,5х1,0 см, неправильной формы, с четкими неровными контурами, однородной структуры, повышенной интенсивности МР-сигнала в Т2 режиме, повышенного сигнала на высоких значениях b-фактора в режиме DWI и высокого сигнала на ADC-карте, с постепенным центрипетальным типом контрастирования. Заключение: МР картина образования (гемангиомы) правой доли печени.
Категория годности с гемангиомой печени небольших размером по ст.10 (Доброкачественные новообразования (кроме доброкачественных новообразований нервной системы и мозговых оболочек), новообразования in situ:), в А2-годен к военной службе.
За пределами печени имеется еще одна гемангиома, которая бросается в глаза, кто заметил?
Здравствуйте, товарищи Пикабушники.
Нужен совет по возникшей ситуации. Возможно, у кого-то был подобный опыт и вы можете подсказать, что и как.
Суть следующая. В октябре прошлого года по результатам КТ были обнаружены гемангиомы 2 позвонков грудного отдела позвоночника. Консультация сначала в одной больнице у нейрохирурга. Потом в другой. Оба врача говорят одно – размеры большие. Нужно делать операцию – вертебропластику. Но в нашем городе ее не делают. Нужно ехать в федеральный центр. Дают направление в поликлинику по месту жительства. Мол, пусть там делают запрос. Вся эта беготня и перенаправления занимают какое-то время. По итогу , невролог мне сообщает, что пришел ответ. Показаний для операции нет. Без пояснений, почему. На мой вопрос – как так? Человек разводит руками, дескать им там виднее. На вопрос, что делать дальше? Пить таблеточки, если болит. Носить корсет и нагрузка максимум 3 кг на одну руку. Через месяцев 5-6 можете повторить, если будет расти , то тогда будем думать.
По симптоматике за время от начала нахождения история следующая. Проявляется по разному , в разное время. Вне зависимости от нагрузки. Боли в грудной клетке. Спереди и сзади. Опоясывающие отдающие в ребра. Ощущение покалывания или жжения с передней стороны. Бывает какая-то ерунда с мыщцами в руках. Когда несешь пакет, рука может произвольно разжаться с болью. Ночью временами не могу спать на спине. Начинаются боли в грудной клетке и ощущение, будто тебя зажимает в тиски. Онемение части пальцев рук по утрам. Прострелы в область паха и бедер. Спина нормально не разгибается сейчас. Сразу чувствуется боль. Тахикардия.
Я обратился за советом в страховую. Там мне сказали, что не могут комментировать действия или диагнозы врачей. Однако, говорят что направляли на операцию даже при размерах и более меньших. Посоветовали сходить к другому специалисту, чтобы он дополнительно сделал запрос на МРТ , либо сразу направил запрос в федеральный центр на очную консультацию.
- Может быть тут есть люди, которым ставили подобный диагноз и делали данную операцию. Может ли кто-то про это рассказать чуть подробнее. Особенно вопрос с реабилитацией.
- Возможно, тут есть специалисты, которые могут прокомментировать диагноз и почему могли отказать. Требуется ли вмешательство при данных показаниях и как добиваться помощи.
Благодарю за любую полезную информацию.
Гемангиома позвоночника — это доброкачественное сосудистое образование, которое развивается в теле позвонка. Она состоит из переплетенных кровеносных сосудов и чаще всего встречается в грудном или поясничном отделах позвоночника. Гемангиомы обычно протекают бессимптомно и обнаруживаются случайно при проведении рентгенографии, МРТ или КТ по другим причинам.
Распространенность: Гемангиомы позвоночника встречаются у 10-12% населения, чаще у женщин, чем у мужчин.
Локализация: Чаще всего поражаются грудной (Th1-Th12) и поясничный (L1-L5) отделы позвоночника.
Размер: Обычно гемангиомы небольшие (до 1 см), но в редких случаях могут увеличиваться и вызывать компрессию окружающих тканей, риск патологического перелома позвонка.
Точные причины развития гемангиом позвоночника неизвестны. Предполагается, что их появление может быть связано с генетической предрасположенностью, гормональными изменениями (например, во время беременности) или травмами позвоночника.
В большинстве случаев гемангиомы протекают бессимптомно. Однако при увеличении размера или агрессивном росте могут возникать:
Боли в спине (чаще ноющие, усиливающиеся при физической нагрузке);
Ощущение дискомфорта в области позвоночника;
В редких случаях — неврологические симптомы (онемение, слабость в конечностях) из-за сдавления нервных корешков или спинного мозга.
В телах Th9, Th10 позвонков определяются участки измененного МР-сигнала (гиперинтенсивные по Т2, T2 STIR, изо-гипоинтенсивные по Т1), округлой формы, ячеистой структуры, с четкими контурами, диаметром по 1,3 см, 0,8 см соответственно.
Заключение: Гемангиомы в телах Th9, Th10.
Лечение требуется только при наличии симптомов или риска осложнений. Варианты лечения включают:
Наблюдение: Бессимптомные гемангиомы обычно не требуют лечения, но рекомендуется регулярное наблюдение.
Вертебропластика: Минимально инвазивная процедура, при которой в пораженный позвонок вводится специальный цемент для укрепления кости.
Эмболизация: Процедура, направленная на прекращение кровоснабжения гемангиомы.
Хирургическое лечение: Применяется в редких случаях при значительном сдавлении спинного мозга или нервных корешков.
Лучевая терапия: Используется для уменьшения размера гемангиомы и облегчения симптомов.
Прогноз при гемангиоме позвоночника благоприятный. В большинстве случаев заболевание не прогрессирует и не требует активного лечения. Однако при агрессивном росте или осложнениях важно своевременно обратиться к врачу.
С учетом крупного размера гемангиомы в Th9-1.3 см в диаметре, категория годности будет непризывная, по ст.10(Доброкачественные новообразования (кроме доброкачественных новообразований нервной системы и мозговых оболочек), новообразования in situ:)-б, В-ограниченно годен к военной службе.
Так же, помимо гемангиом и дегенеративно-дистрофических изменений позвоночника, у данного пациента имеется более серьезное патологическое изменение, какое?
На мрт нашли гемангиомы шейного и грудного отделов. Запись к врачу не работает сегодня.
К кому лучше обращаться: невролог или нейрохирург?
Может ли МРТ ошибаться? Нужно ли подтверждать доп. обследованиями?
Кто делал вертебропластику, поделитесь своими историями, плз. Размеры? Симптоматика? Может просто живете под наблюдением?
Гемангиома - доброкачественная опухоль, которая происходит из клеток сосудов, часто её обнаруживают как такую пещерку выстроенную из эндотелиоцитов (клеток сосудов).
Также, чаще всего, она не требует лечения, а только наблюдение, кроме тех случаев, когда она локализуется в головном мозге или печени, где при сильном механическом воздействии может разорваться с развитием сильного кровотечения (это же все таки по сути своей сосуд, наполненный кровь), тогда нужно принимать активные терапевтические действия.
К примеру, если вдруг у вас обнаружат гемангиому в печени, а единоборствами, по типу бокса, вы не занимаетесь, вам боятся нечего.
Спасибо за прочтение!
Подписывайтесь на мой Пикабу, а также на мой телеграм-канал, в котором еще больше полезной и интересной информации о медицине и вашем здоровье: https://t.me/+Pe7VTewvTwI5NjIy
Всем привет! Хочу посвятить свой пост всем мамочкам, ну и папочкам тоже, всем родителям детишек с младенческой гемангиомой. Да, в большинстве случаев гемангиома остается красным родимым пятнышком и все, но мы были в меньшинстве. И так по порядку. По выходу из роддома нас навестил педиатр, которая посоветовала следить за ростом пятнышка (у нас она располагалась перед ушком можно сказать в боковой части щеки, была ярко красного цвета.)Гемангиомы бывають разные - простые, кавернозные, смешанные, с четкими границами и ввиде кляксы ( в нашем случае была такая), находилась на поверхности, но проростала внутрь.
Ровно после исполнения 40 дней доче, гемнагиома начала агрессивно расти, я была в панике, ничего подобного я ранее не встречала, перерыла весь интернет ( это было 10 лет назад), написала подруге в Штаты и так прислала выдержки из педиатрчисекого журнала с фото, и как раз там был наш случай. Я была в панике так как место , где располагалась гемангиома было неудачным ( т.к. она прорастала внутрь могла задеть лицевой нерв, слуховые часть уха, шею со всеми вытекающими отсюда последствиями). Я начала лихорадочно писать во все клиники РФ и Турции с приложением фотографий (здесь мне предложили месяц последить и удалять, доче было 3 мес). Первыми ответила Турция, Больница Хаджеттепе Анкары( одна из самых лучших государственных клиник Турции, территория огромная, там же Мед.университет, многоэтажная детская и взрослая больницы, онкологический корпус и поликлиника). Надо сказать,что к иностранным пациентам они готовы, на территории мед.городка есть два гостевых дома, с грудным ребенком это очень удобно! Сделав ребенку загранник мы отправились в путь, сначала нас записали к профессору пластической хирургии, он посмотрел и сказал идти к врачам онкологического корпуса и сказал,что ничего удалять не нужно, это лечится медикаментозно, я была так рада! В интернете я уже прочиатла , что агрессивные гемангиомы лечат склерозированием (вводят спирт в сосуды и они закупориваются и гемангима перестает расти), лазером ( но после этого остается белое пятно),ну и вырезают, резать боялась, т.к. сама гемангиома состоит из множества сосудов, котоыре могут дать кровотечение.
Когда летела в Турцию, готовилась к операции, но как оказалось достаточно приема пропранолола (врач определяет дозу соответсвенно весу ребенка).Почему отправили к онкологам - в Турции всеми новообразованиями занимаюстя врачи онкологи (даже доброкачественными), нас положили на день в больницу предварительно сделав ЭХО сердечка, взяли кровь на анализ и в течении двух суток каждые два часа измеряли давление, пульс и брали кровь для контроля приема пропранолола.Далее, все было в порядке и нас выписали и объяснили как принимать лекарство и сказали приехать на контроль через 3-4 мес и никакх операций.
Мы принимали около года, в самомо начале гемангиома поменяла цвет с алой стала багровой, что говорит о том, что медикамент начал свое действие и гемангиома прекратила свой рост и начала уменьшаться, полностью она прошла к полтора-двум годам.
Поэтому очень рада, что попала в нужную клинику и дело не дошло до операции. У кого есть какие вопросы, всем отвечу, будьте здоровы!