Продолжение поста «Все на 4х имплантах. Стоматология»
И вот настало время первой большой операции. В конце я вставлю фото до и после, говорю сразу там будет жесть, слабонервным лучше не смотреть…Хотя это будет очень хорошая шоковая терапия для тех кто не ходит к стоматологу потому что боится укольчика или злую машинку . Начнем с того что я узнала как выглядит миллион наличными, и даже пощупала , и как я не хотела отдавать эту сочную оранжевую котлетку другим.
Вот оно солнышко мое 😓
И вот то что со мной делали 7 часов злые тети врачи:
Кстати не все прошло так гладко, у меня порвался синус во время операции и я спала 7 часов а не 5. В этот раз я оочень тяжело отходила от сна. Было очень плохо, я была как овоща еще сутки . Боль пришла на сл вечер, вот то что я говорила больно удалять сразу много зубов больно-фигня. Я познала боль когда мне удалили остальные верхние и вкрутили титан в кости. Я выла без обезбола, я хотела биться головой об стену, нос течет водой, голова болит и рот не открывается и в зеркале я видела Олега монгола , опять. Питание ТОЛЬКО жидкое. 3 месяца. Через 3 месяца мне поставят постоянные. На данном этапе я хожу с пластиком чтобы десна зажили именно под форму будущих зубов . Из хорошего: я уже привыкла к новым ощущениям во рту, у меня оказывается есть скулы 😳, и я вернула внешность уже, ту которая была до спиливания зубов .
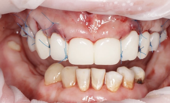
Вот так меня фоткали для отчета. Это моя безупречная улыбка за день 😀 не судите строго, мне сказали сделать такой оскал )
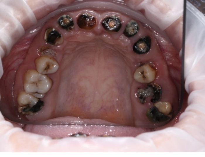
Вот так выглядело до удаления в начале пути после спиливания неудачных имплантов :
Вот так перед этой самой операцией:
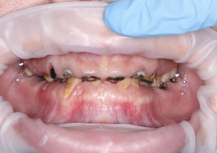
И барабанная дробь!!! Это сразу после операции))
Чуть позже скину свое лицо как полностью отек спадет и десна заживут ) так же еще была очень забавная история, я там сама в истерике была , и всех на уши подняла) напишу уже к сл посту с фото как заживет) Не болейте, ходите к стоматологу ( проверенному, а то будете как я ), и всех благ)
Пы. Сы. Мы поменяли цель имплантации, и делаем все на 6, из за того что у меня мало костной ткани.









