Сообщество - Все о медицине

Все о медицине

13 960 постов 41 613 подписчиков

Популярные теги в сообществе:

Ответ на пост «Как и зачем отличать бактериальную инфекцию от вирусной?»1

Допустим, мы по этой инструкции поняли, что ОРЗ бактериальная. А антибиотики-то какие пить? Макропен подойдёт? Как вообще врач определяет какой антибиотик назначить?

521

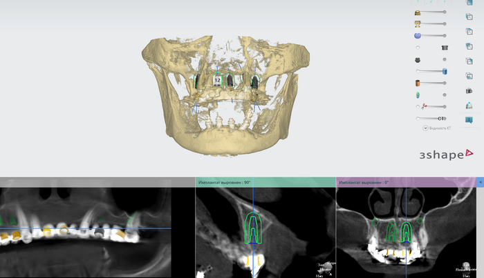
All-on-6 - зуботехнический мост на имплантах

На уходящей волне о работе, как раз пришло время запилить пост про изготовление зуботехнического протеза " Всё на четырёх-шести". Работаю я зубным техником в частной лаборатории.
Готовиться к данному посту я начал полгода назад, когда только-только пришёл пациент, а закончил буквально на днях. Потихоньку по мере изготовления делал фотографии и скрины. Процесс этот очень не быстрый, бывает растягивается и на год.

Пациенту на верхней и нижней челюстях решили делать титановые мосты с композитной облицовкой, на имплантах (all-on-4-6) . Это несъемный мост, который фиксируется винтами к имплантам, предварительно вживленные в челюсти. Фотографии будут только протеза верхней челюсти, так как низ делается идентичным образом.
Сделав осмотр, проведя все обследования и утвердив конструкцию врач прислал мне виртуальные файлы отсканировав полость рта внутриоральным сканером, чтобы я изготовил хирургический шаблон для установки имплантов. Этот метод позволяет обойти такой процесс как снятие слепков.

Хирургический шаблон-это по сути капа-трафарет с отверстиями для имплантатов, созданная при помощи программы. Она позволяет установить имплантаты в нужное, просчитанное место в 3D объекте, под необходимым углом и на заданную глубину. В этой программе видно плотность кости, её толщину, показания к наращиванию кости, если это необходимо.

Расставив импланты, можно делать базовую конструкцию шаблона.
Он печатается на 3D принтере, к сожалению, фотографию физического шаблона не сделал, но есть готовый виртуальный вариант, который будет точно повторять форму напечатанного.

Когда хирургический шаблон готов, врач-хирург фиксирует его во рту и устанавливает импланты в тех местах , где планировал зубной техник. Должно пройти примерно 4-6 месяцев прежде чем можно приступать к продолжению лечения, это период приживления , всё это время пациент ожидает когда можно будет продолжать, а также копит деньги...много денег. На этот период, чтобы можно было жевать изготавливаются временные коронки.

И вот импланты прижились, можно приступать к изготовлению постоянной конструкции. Врач-ортопед снимает слепки и присылает в лабораторию. В слепки, ( предварительно установив в них лабораторные аналоги, которые имитирует импланты), заливается гипс и получаем имитацию челюсти.

Далее на модели делается предварительная постановка искусственных зубов, которые врач зафиксирует в полости рта, чтобы пациент мог увидеть, как будет выглядеть будущий протез и либо утвердить, либо внести коррекцию в плане цвета, формы, размеров и расположения зубов.
Т.е. зубы приклеиваются воском на пластмассовый жесткий базис, при необходимости можно снимать зубы, поворачивать и так далее.

Когда врач и пациент дают добро на продолжение, то можно приступать к изготовлению титанового каркаса, который выступает как скелет протеза. Титан не вызывает аллергии, прочный, эластичный и лёгкий.
Для этого сканируется модель с утверждёнными зубами и с скан-маркерами (металлические треугольной формы ) ,к которым будет притягиваться библиотека в программе, точно таких же имплантов, как у пациента.

Каркас моделируется по форме зубов, но в уменьшенном виде. Ориентироваться нужно на предварительную постановку, которую пациент одобрил.

Далее закончив моделировку, каркас выпиливается через Cad-Сam на фрезерном станке из титанового диска, по времени это занимает примерно 4-5 часов только на один мост.
Остаётся проверить посадку каркаса на модели, обработать фрезами и отправить на примерку в полости рта.

Если всё отлично, то можно либо делать финишный этап с облицовкой пластмассовыми зубами, либо делать ещё одну примерку с зубами закреплёнными воском на титановый каркас, это делается чтобы пациент убедился, что его всё устраивает, так как потом исправить возможности не будет.
Далее зубы (по шаблону предварительной утвержденной постановки) привариваются к титановому каркасу и изготавливается пластмассовая десна. Проверяются все контакты и окончательная полировка.
Так выглядит финиш перед сдачей. Врач-ортопед фиксирует протез во рту, проверяет контакты, динамические движения, чтобы пациенту нигде ничего не мешало. Отверстия заполняет композитным материалом и всё готово

Это был краткий обзор, чтобы большинство аудитории Пикабу просто представляли как происходит процесс изготовления, многие детали и нюансы пропустил, т.к. пост бы очень растянулся)
Разумеется будет первый вопрос , какая же стоимость? К сожалению, точной информацией я не владею, ведь на цену влияет множество факторов. Но примерно, на данный момент с учетом последних изменений цен в стране за последние пару лет, одна челюсть с шестью имплантами под ключ обходится 500 тыс- 1 млн рублей, в зависимости от клиники, производителей имплантов, курса валюты и многого другого. Львиная доля оседает в клинике, около 70-80 процентов от итоговой суммы, соответствено 20-30 процентов оплачивается лаборатории.
Задавайте вопросы в комментах, буду рад ответить!

Показать полностью 21
11

Что может болеть в правой подаздошной области?

Из заголовка думаю вопрос ясен. Что там может болеть? Ближе к паху больше Первое что приходит на ум - аппендицит. Но как бы все симптомы по гуглу отрицательные. Был у хирурга, осмотрел, пропальпировал, говорил за аппендицит нет симптомов, все ок. Показывал узи бп - там тоже все ок. Из того что рядом в этой области есть - болит район поясницы, как мышцу чтоль тянет, когда например лежу и полностью ногу тяну, отдает слегаа в правую подводошную. Но по ощущениям повторюсь, будто мышца. Далее, болит мышечной болью нога спереди до колена. Не постоянно, чуть стреляют. При оральных утехах, уж извините за данное уточнение, болит правое яйцо, причем не хреново так болит, сильно. Да и в целом, если на него нажимать то больно. При обычных условиях все ок. Читал в инете, что при аппендиците боль и в яйцо отдава может, и в поясницу и в ногу. Да и вообще, это похоже такая непредсказуемая хуета что может нос щекотать а окажется что аппендикс. Стул в норме. Иногда не норм, когда кофе попью или съем чего нибудь типо шоколадки, пряники, вафли.

Сгибаю ногу, прыгаю, все ок. Только когда напрягаюсь чутка что то побаливает. Опять же как мышцы.

Анализы крови все в норме. Узи бп также. Осмотр хирурга норм. Причем он говорит у него был аппендицит и знает что это такое.

Гастроэнтеролог ничего особенного не нашел. Перегиб жп, который по ее словам у каждого второго, поверхностный гастрит, которые также у каждого второго.

Знатоки, бывалые, что может быть такое? К урологу записаться? Не понимаю какая связь здесь может быть. Проблемы с поясницей? Ибо когда долго похожу погуляю, потом сажусь и поясница будто лом проглотил.

Поликлиника конечно единственная инстанция в таких делах, но по ее словам все норм. И да, дискомфорт в этой области уже больше года. Может рили мышцы? Как проверить?

Показать полностью
35

Одобрен препарат для лечения Альцгеймера

Одобрен препарат для лечения Альцгеймера

Вчера FDA впервые полностью одобрило препарат, который умеренно замедляет снижение когнитивных функций у людей с ранними стадиями болезни Альцгеймера. При приеме препарата под названием Leqembi возможно появление побочных эффектов, но он все же дает надежду на излечение миллионам людей, страдающих от этой болезни, разрушающей память.   

По данным биофармацевтической компании из Кембриджа Biogen лечение будет стоить $ 26,5 тыс. в год. После того, как FDA анонсировало одобрение, администрация государственного страхования Medicare заявила, что федеральное правительство США покроет расходы на лекарства для пациентов, которые соответствуют определенным критериям: у них должна быть диагностирована и документально подтверждена легкая форма болезни Альцгеймера.     Исследование показывает, что лекарство от болезни Альцгеймера «умеренно» замедляет снижение когнитивных функций. Клиническое исследование проводимое  в течение 18-ти месяцев показало, что при внутривенных инъекциях каждые две недели Leqembi уменьшает снижение когнитивных функций на 27%  по сравнению с плацебо-пациентами. В исследовании приняло участие  1800 человек.

Источник: дайджест Welcome to Massachusetts July 2023 ( по русски)

Показать полностью
416

Меню на день при подагре и повышенном уровне мочевой кислоты из ежедневно разрешенных продуктов

Я вам обещала обсудить продукты, которые можно кушать каждый день, а то всё «нельзя» да «нельзя». Итак, что вкусное можно без ограничений дабы мочевую кислоту не повысить и соблюсти каноны модели тарелки:

• Белое мясо: индейка, кролик, курица.
• Белые сорта рыбы: треска, минтай, пикша, хек.
• Ингредиенты для салата: морковь, капуста белокочанная, кабачки, баклажаны, огурцы, свекла, болгарский перец, сельдерей, зелень любая, тыква.
• Молочные продукты промежуточной жирности и менее, если вкус позволяет: молоко, кефир, ряженка, простокваша, творог 5% и менее, йогурт без добавок.
• Фрукты и ягоды: яблоки, груши, абрикосы, сливы, апельсины, бананы, клубника, голубика, лимон, вишня, брусника.
• Крупы и гарниры: булгур, кус-кус, гречневая лапша, паста, гречневая крупа, овсянка, рис, пшено, перловка, киноа.

Из вышеперечисленного можно составить разнообразнейший рацион! Пример меню на день:

Завтрак: пшеничная каша, варим 50:50 на воде и молоке до 2,5% (сложные углеводы) + яблоко (клетчатка) + творожок до 5%/греческий йогурт (белок).

Обед: запеченная треска (белок) + кус-кус (сложные углеводы) + салат из свежих огурцов и зелени (клетчатка) с заправкой из сметаны 10-15% или оливкового масла.

Ужин: рис, лучше бурый (сложные углеводы) + запеченная куриная грудка (белок) с овощами (клетчатка).

Перекус: греческий йогурт, чай с мармеладом 1 порция.

Кушать сладости на десерт можно 2-3 раза в неделю.

P.S: помним про "модель тарелки" - 1/2 тарелки фрукты и овощи, 1/4 тарелки нежирный белок, 1/4 тарелки сложные углеводы.

Обсуждаем здоровье и медицину в теплой компании в ТГ, заглядывайте:) Так же будем рады вам в ВК.

Другие примеры меню, где мы разбираем нюансы питания при повышении мочевой кислоты есть в серии постов "Суставы".

Уютных выходных, друзья:)

Показать полностью
21

3. Как молекула становится лекарством. И почему мы не жрем всякую гадость

3. Как молекула становится лекарством. И почему мы не жрем всякую гадость

Кто о чем, а мы о трудном пути молекулы в лекарства. И о тех препятствиях, которые ей ставит по дороге FDA.

Итак, в двух предыдущих статьях выяснилось, что наша молекула на животных и на культуры клеток действует правильно и никаких токсичных эффектов за ней не наблюдается. Что дальше? Можно испытывать на теще?


Не сразу. Дальше мы несем все материалы исследований в FDA и получаем разрешение начать эксперименты на людях. Всего есть три фазы проверок. И это такой вариант хождения по мукам, точнее, хождения в FDA потому, что на каждый следующий шаг надо получить их “о’кей”.


Первая фаза - небольшая группа здоровых добровольцев. Они получают будущее лекарство в той примерно дозировке, которая, как ожидается, будет использоваться для лечения. Если при этом никаких побочных эффектов не выявляется, результат несут в FDA, получают разрешение и переходят ко второй фазе.

Теперь экспериментальный препарат получает относительно небольшая группа пациентов с “нужной” болезнью. От сотни до нескольких сот. Если все окей, и вторая фаза благополучно пройдена, снова берем разрешение в FDA и, если оно получено, можно двигаться дальше.

Третья фаза похожа на вторую, только количество испытуемых в ней существенно больше и исчисляется тысячами. Иногда разработчики расширяют исследования третьей фазы на другие болезни или другие возрастные группы. Например, в первый раз препарат испытывается на людях в возрасте от 18 до 60 лет, а при повторном исследовании третьей фазы проверяют его на детях или на людях старшего возраста.

Все три фазы производятся на застрахованных и проверяемых постоянно добровольцах, после разрешения специальной комиссии, цель которой быть сторожевым псом на страже здоровья этих самых добровольцев и так называемым двойным слепым методом. То есть, испытуемые делятся на две группы, контрольную и опытную и те, кто находится в контрольной, получают пустышку. Плацебо. Ни они, ни исследователи во время испытаний не знают, кто находится в контроле, а кто - в экспериментальной группе, эти данные вскрываются потом, после окончания проверки и, таким образом, нивелируется субъективное влияние наших желаний и ощущений на результат. Иногда к двум описанным группам добавляется третья: уже известное лекарство, используемое по тем же показаниям, что наша молекула. Потому, что так можно сравнить, что из них эффективнее и безопаснее.


Ура. Третья фаза, как и две первые, пройдены благополучно и мы хотим сделать нашу молекулу лекарством, которое можно назначать людям. Вот тут снова включается такая штука, как FDA в Штатах или аналогичная организация, в каждой стране - своя и решает, можно или нельзя. Я уже писал раньше про такое лекарство, талидомид, из-за которого в Европе рождались дети с отсутствием конечностей, а в США - нет. Потому, что FDA сочло его опасным, недостаточно проверенным и не дала добро.


Думаете, на этом все? Отнюдь.

Ибо мы не учли один важный закон, который называется законом больших чисел. Я не большой специалист в статистике, но попробую объяснить это так. Если встречается какое-то относительно редкое осложнение, нужно набрать достаточно много материала, чтобы его отловить. Много материала - это дать многим пациентам на протяжении долгого времени. Поэтому никакими доклиническими исследованиями такое не достигается. И поэтому организации типа FDA продолжают следить за публикациями по теме даже после того, как разрешают препарат к использованию.

Иногда, довольно редко, таким образом всплывают не выявившиеся в ходе доклинических испытаний проблемы. Например, существовал когда-то такой очень эффективный противовоспалительный и обезболивающий препарат - Vioxx. Лекарство было действительно замечательным, но вызывало при длительном употреблении повышенный риск сердечного приступа. Если мне не изменяет память, речь шла об употреблении Vioxx дольше полутора лет и можно было бы просто ограничить его прием по времени, но дело дошло до судов, фирма-изготовитель уплатила чуть меньше пяти миллиардов долларов компенсаций и не самый плохой препарат улетел в мусорную корзину.

На моей памяти FDA не только убрала это единичное лекарство (а ведь я не отслеживаю весь рынок), но и периодически вводит очень жесткие ограничения на использование определенных препаратов в определенных формах или по определенным показаниям, если поступает соответствующая информация.

А теперь, под занавес, немного цифр. В среднем из примерно 4000 молекул, которые отчаянно хотят стать лекарствами, 5 добираются до первой фазы, то есть, до испытаний на здоровых добровольцах, и только одно из этих пяти - до полок аптек. И стоит этот процесс около миллиарда долларов.

Прикиньте, на что можно еще потратить миллиард.

© Юрий Супоницкий

#Анестезиоблог


А картинка принадлежит Julie Viken. И позаимствована на pexels.com

Показать полностью
514

Хирурги ГКБ им. Юдина провели 12-часовую операцию по восстановлению отсеченной кисти

31-летний мужчина получил травму во время монтажно-строительных работ. У него была отсечена не только часть кисти в районе пястных костей, но и потеряна часть большого пальца.

Пациента экстренно доставили из региона в ГКБ им. Юдина в Москве.

Региональные врачи, оказавшие первую помощь, правильно подготовили и транспортировали отсеченную конечность. Пока молодой человек находился в дороге, бригада микрохирургов уже готовилась к операции.

Операцию проводили в Центре хирургии кисти и реконструктивной микрохирургии больницы им. С.С. Юдина. Врачи сшили под микроскопом все сухожилия, сосуды и нервы. Поврежденные кости восстановили с помощью остеосинтеза - фиксации фрагментов костей с помощью титановых пластин или штифтов.

Хирургическое вмешательство длилось 12 часов, и в результате врачам удалось восстановить кровоток и чувствительность отсеченной части кисти.

В настоящее время мужчина продолжает проходить реабилитацию для полноценного восстановления функции руки.

Показать полностью 2
Отличная работа, все прочитано!