Филлер для увеличения груди мигрировал в лимфатический узел
Клинический случай
45-летняя женщина обратилась за консультацией к пластическому хирургу по поводу увеличения груди. Оценив различные варианты лечения, она остановила свой выбор на временном увеличении груди с помощью гиалуроновой кислоты, поэтому в том же году ей была проведена двусторонняя операция по увеличению груди с использованием 500 мл гиалуроновой кислоты (по 250 мл на каждую грудь) (Macrolane; Q-Med AB, Уппсала, Швеция).
Через 6 месяцев пациентка обратилась в нашу клинику с жалобами на быструю и асимметричную потерю объема, а также на образование уплотнений в обеих молочных железах. Визуально грудь казалась уменьшенной в объеме и уплотнения были заметны как при осмотре, так и при пальпации.
Через 12 месяцев после инъекций Макролана, поскольку клиническое состояние молочных желез не улучшилось, образования с гиалуроновой кислотой были удалены хирургическим путем и проведена аугментационная маммопластика на основе имплантатов через нижний полупериареолярный разрез. При увеличении груди были использованы круглые имплантаты с силиконовым наполнителем объемом 345 куб. см (Natrelle Inspira TRM; Allergan, Маркхэм, Онтарио, Канада), которые были установлены под мышцами. Послеоперационный период протекал без осложнений.
Через три года после операции пациентка обратилась с жалобами на боль в правой подмышечной впадине, сопровождавшуюся клиническим проявлением отека. По этой причине она прошла ультразвуковое обследование и магнитно-резонансную томографию молочных желез. Один лимфатический узел в правой подмышечной впадине был увеличен (6 см в диаметре) и имел измененную структуру. Мы приняли решение о хирургическом удалении узла и пациентке была назначена операция через 20 дней. Подмышечная впадина была исследована хирургическим путем фото 1
узел был обнаружен фото 2
и направлен на гистологическое исследование фото 3.
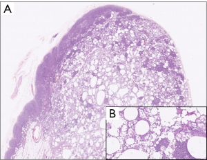
Патологическое изображение подмышечного лимфатического узла с гематоксилином и эозином (А, 10×) при большем увеличении (Б, 40×), показывающее скопление аморфного материала, пенистых гистиоцитов и участки воспалительных инфильтратов
Осложнений в левой подмышечной впадине не возникло. Послеоперационный период протекал также без осложнений. Гистологическое исследование лимфатического узла показало высокую концентрацию гиалуроновой кислоты, которая и меняла структуру лимфатического узла. Через месяц после операции пациентка больше не жаловалась на боль.
Переведено и опубликовано: Кожный









