А так разве может быть?
Удалил восьмерку верхнюю справа недавно, и правый глаз стал лучше видеть?))
Удалил восьмерку верхнюю справа недавно, и правый глаз стал лучше видеть?))
Прочитав пост о дорогом лечении зубов, поведаю свой горький опыт потери и восстановления зубов.
Все началось с детства и "замечательно" совпало сразу несколько очень важных факторов:
а) Неуемная любовь к сладкому мамы. Следовательно, сахарным наркоманом стал и я...
Это чертово проклятие, к тому же грозящее диабетом, не говоря уже о лишнем весе.
б) Хреновая генетика - очень слабая зубная ткань.
По материнской линии у всех были проблемы с зубами.
Небольшое отступление: когда я работал в море, с нами в матросах был таджик, с прекрасными белыми зубами. Но его признанию он о зубной щетке узнал только лет в 25... Сладкого он вообще не знал.
в) В конце 80х и 90х в бесплатных стоматологиях было все очень плохо с лечением.
Я очень хорошо помню как мне рвали коренной зуб, при этом вколотый новокаин либо не помогал, либо сверлили вообще без укола. Следствие: дикая боязнь стоматологов.
г) Хреновое питание в детстве, очень мало того, что содержит кальций и фтор...
Эти факторы работают у всех, так что не помешает помнить об этом.
В общем еще в юношестве я лишился кучи зубов.
Примерно вот так:
Местный горе-врач по непонятной причине тупо выдрал всё что увидел гнилого, не попытавшись сохранить корни. Из-за этого остальные зубы "поплыли", что в будущем сыграло свою негативную роль.
Кое-как собрали деньги и поставили кривой мост между клыками.
Конечно такого быть не должно, так как в отсутствие нагрузки, кость атрофируется.
Но что вышло то вышло...
Прошло много времени, установленный протез треснул, прослужив гораздо дольше положенного срока.
Ну я и решил что пора ставить имплантаты.
В первой же попавшейся клинике (а так скорее всего сделает любой обычный человек), назвали цену в 25000 за одну штуку. И это еще и "мимо кассы", типа дешевле, и без договора.
Имплантаты оказались немецкими, фирмы Анкилос.
Как я потом услышал от другого врача, разница между очень дорогими и средними имплантатами такая же, как между Бентли и КИА. Обе ездят? Обе.
Вывод вполне ясен.
Израильские и корейские имплантаты прекрасно работают.
А вот с российскими лучше пока не связываться. Примерно так он сказал.
В прошествии определенного времени я решил обмануть судьбу и ставить протез не у тех же, кто ставил имплантаты, а в другом регионе. Ну, типа дешевле же... Заодно ездил в гости к отцу.
Естественно это оказалось плохим решением: врач тупо никогда не работал с Анкилосами, и у него не было нужных инструментов, так как под каждую систему они свои. Пришлось покупать спецотвертку и еще какие-то мелкие железки. А стоит это все в половину стоимости самого имплантата. =(
А далее случилось вот что: то ли те, кто ставил Анкилосы оказались криворукими, то ли иначе нельзя было (проблема в моей кости на верхней челюсти, слишком тонкая).
Либо врач из другого региона по-другому не умел. Так и сказал: вышло так как вышло =)
Ну, примерно как евроремонт из 2000х и строители, которые его делают всем до сих пор.
С многоуровневыми конструкциями из гипсокартона, колхозными подрезками кафеля в санузлах и остальными изысками))
Первый вариант постоянного протеза оказался с жуткой ассиметрией, все зубы были разного размера.
Пришлось требовать переделки, но даже во втором варианте, как я понял, из-за особенностей установленных имплантатов, на месте верхних резцов зубы оказались нестандартного размера (каждый зуб примерно на 1/5 больше), и весь зубной ряд пришлось уменьшать аж на четыре штуки, пожертвовав малыми коренными.
Но даже в этом виде врач сделал по виду все вроде норм, но зубы оказались с потерей своих "зубных" качеств. То есть резцы режут плохо, так как толстые, а клыки по форме чуть ли не как коренные)) Спереди этого не видно, но при попытке что-то откусить - чувствуется хорошо.
То есть тут видимо криворуким оказался отливщик керамической массы.
В общем пздц))
Выводы:
1. Когда вы придете на первую консультацию, спрашивайте, какие варианты имплантатов вам могут предложить! Запишите названия, попробуйте сами выяснить разницу.
У меня сейчас 4 Анкилоса и 1 АльфаБио. Разница между ними по цене примерно в 10000 р.
То есть я спокойно мог бы сэкономить 40000 р.
А, и еще, неофициальная установка не даст вам сделать налоговый вычет.
Вообще в целом вышло чуть более 200 тысяч... Вот так вот.
2. Обязательно требуйте чтобы работу над протезом ваших зубов вели по трехмерному КТ-снимку обоих челюстей! То есть пользуясь современными технологиями, а не так, как это делали 20 лет назад.
Лучше всего внести это отдельным пунктом в договор: фото того, что вы хотели бы видеть. Сделайте в Фотошопе ту улыбку, которую вы бы хотели, и прямо говорите: хочу вот так, сделаешь? Если готов, прописывай в договоре что будет именно так, и никак иначе!
3. Ведите всю работу в одной клинике. Так будет проще спрашивать с протезистов и хирургов.
Не надо пытаться наеб обмануть судьбу)))
4. Если установили имплантаты - пользуйтесь ирригатором!
Об этом мне, кстати, никто не говорил.
Я не знаю насколько это критично, но кажется в этом есть смысл: зубная щетка совершенно точно не уберет остатки пищи из зоны между коронкой и десной.
То есть очень вероятно что бактерии туда, куда им попадать не надо, и в итоге имплантат вместе с протезом вывалится...
И пожалуйста, берегите зубы, памятуя о всех факторах, описанных в начале статьи.
Всем здоровья.
UPD
Как было (установлено в 2001 году, дал трещину в 2013м)
Как сделали в первом варианте
И наконец то, что сейчас
Кто-то взял кредит на свадьбу мечты , и через год развёлся. А кредит выплачивать ещё несколько лет. Печаль-тоска. А я зубы сделала за миллион, а улыбаться не хочется . Не, не подумайте что я капризничаю, сделано все супер , но цвет .. Врач сказал «давай сделаем белые, это будет красиво» . Врача я обожаю , он проделал колоссальную работу , но теперь я стесняюсь улыбаться. Так как это прям БЕЛЫЕ зубы , люди шарахаются. Работа связана с фото и видео съемками , кто-то написал в комменте на ютубе что я страшная и у меня до одури неестественные вставные зубы. Да я и сама знаю ! Я от зеркала сама шарахаюсь !!!
А я люблю улыбаться , я всю жизнь мучилась с зубами, мечтала как сделаю и перестану прикрывать рукой рот по привычке. Работала, копила, врач проверенный. Год страданий , очень трудная имплантация. А теперь мне с этим жить и ничего уже не сделать.
Если вдруг кто-то на такое решится, Подумайте 10 раз , прежде чем решить, как вам «жить с голивудской улыбкой». Я не могу привыкнуть,, это капец ! Всех с наступающим Новым годом . И как говорят китайцы : «Бойтесь желаний, они могут исполниться»
Доброго времени суток. С детства плохие зубы и сейчас уже жевать нечем. Правительство не позаботилось вариантом для подобных случаев...т.е.бесплатно не поставить зубы. Кто что порекомендует из нынешних технологий....бюджет 0, но надо понимать за какой минимум будет приемлимый результат. Заранее всех благодарю за помощь.
А что вкалывают стоматологи сейчас для обезболивания, как это вещество работает, что вообще никакой боли не чувствуешь пока нерв или зуб удаляют. Волшебство какое то по сравнению с тем что было лет 30 назад. И почему некоторые говорят слово "Заморозка" это сленг или действительно с замораживанием такие обезболивающие уколы имеют что то общего, а может это наркоту нам доктора колят и нам просто не говорят об этом?))До сих пор помню советские времена и походы к стоматологу типа с обезболивающим лечением, бррррр(((((И почему только рядом с местом укола обезболивается, по крови разве не должно это средство моментально рассосаться по всему организму?))
За последние две недели пять раз посетил стоматологию.Пломбировал,чистил,удалял 8-ки и.т.д.И заметил одну странность,что во время ожидания своей очереди,в холе со мной за эти 5 посещений было в общей сложности приблизительно от 15 до 18 женщин,они тоже ожидали своей очереди,подписывали всякие бумажки входили и выходили из разных кабинетов.Дни недели были разные и будни и рабочие дни,время тоже разное и рабочее и не рабочее.Внимание вопрос,почему я ни одного мужика не встретил среди пациентов?))Может мне так повезло и все таки 50 на 50 посетителей в стоматологии,хотелось бы от сотрудников стоматологии услышать ответ,какое соотношение на самом деле среди посетителей,или мужские зубы крепче и здоровее?))
Всем здравия желаю! Не ожидал такой реакции на мою прошлую статью (если честно, не ждал вообще никакой реакции) и вот, наконец, дошли руки до написания второй части нашего, так сказать, цикла)))
Многие меня ругали за сложность слога, незнакомые слова и отсутствие картинок, так что в этот раз попробую (но не обещаю) минимизировать терминологическую атаку и разбавлю всё это картиночками из интернетов.
В этой статье, как и обещалось, затрону лечение кариеса и постараюсь по ходу ответить на вопросы, задаваемые под прошлым постом.
Приступим
Я, наверное, как и все стоматологи сторонник того, что лучшая защита – это нападение лучшее лечение – это профилактика. И вправду, регулярное посещение врача-стоматолога, как минимум два раза в год – это залог здоровья и, поверьте мне, это здоровье касается не только полости рта, а и организма в целом. Масса заболеваний органов и систем находят свои первичные проявления во рту (это такие заболевания как: заболевания крови, сердца, заболевание печени и почек, эндокринные заболевания, заболевания желудочно-кишечного тракта, сифилис, рак, туберкулез и так далее) Ротовая полость – это зеркало организма и, если Вам будет интересно, я напишу отдельно от всего цикла статей пост на эту тему. Информации там предостаточно и она будет крайне полезна для любого читателя и даже для врачей с 15 летним стажем работы ( и такие тут тоже есть :) )
Ну что ж, это была небольшая вводная. Приступим непосредственно к теме сегодняшнего поста – лечению кариеса.
Повторение – мать учения.
Как мы помним с прошлого поста – субстратом для прикрепления бактерий является пелликула (рис.1) – это такая тонюсенькая плёночка, которая образуется на поверхности зубов примерно через полчаса после чистки. Именно к ней и «прилипают» бактерии, результатом жизнедеятельности которых является образование мягкого зубного налёта. По логике вещей, этот налёт необходимо счищать посредством ежедневной чистки, но есть, так называемые труднодоступные места (межзубные промежутки, участки на боковых поверхностях крайних жевательных зубов (особенно, если это зубы мудрости)), до которых наша щетка не достаёт. Чаще всего, именно в этих местах спустя, примерно, 5 дней после образования мягкого зубного налёта образуется твердый зубной налёт – зубная бляшка, от которого уже привычными средствами гигиены не избавиться и придется обратиться за помощью стоматолога. Если же вы все же решили пренебрегнуть походом к врачу, то будьте готовы к тому, что та самая зубная бляшка станет для вашего зуба бомбой замедленного действия, в которой каждую секунду будут происходить процессы окисления, провоцируемые теми самыми бактериями. К слову, химический состав эмали, по своей тонкой натуре, ой как не любят кислоты и вот эта «нелюбовь», спустя, примерно месяц подобного бактериального танго в замкнутом пространстве на поверхности зуба, перерастает, в так называемую деминерализацию (рис.2) эмали.
Деминерализация - это постепенный и поэтапный процесс «вымывания» из эмали зуба солей и минералов, начинающийся образованием очага поражения и закономерно заканчивающийся разрушением эмали.
рис.2
рис.3 Гистологическое строение зуба.
Диагностика
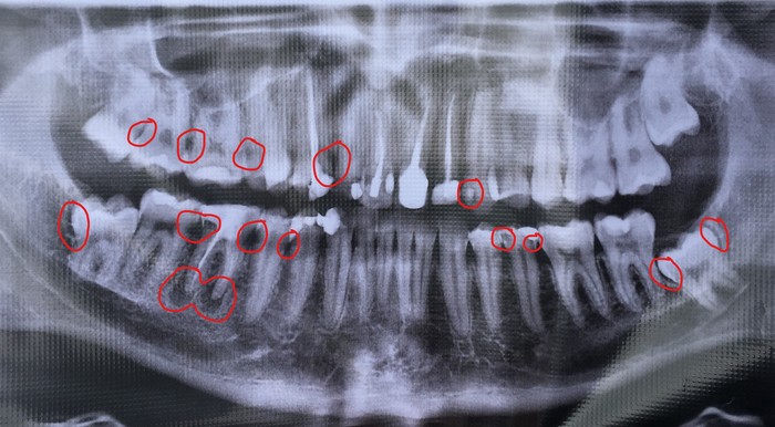
Всё начинается с неё. Обязательной частью составления плана лечения является – тщательная диагностика. В нашем случае, она будет заключаться в сборе анамнеза – врач обязан уточнить, по какому поводу и с какой проблемой явился пациент (плановый ли это осмотр или причиной стало наличие болевых ощущений, или дискомфорта), провести осмотр непосредственно в полости рта, заглянув в самые сокровенные участки вашего тела и, наконец, рентген обследование. Без рентгена сейчас никуда. Я бы даже советовал, на первичный приём сразу приходить со свежим, да простят меня пикабушники, ортопантомограммным (рис.4) снимком (свежим считается снимок, которому не более полугода), так как это сильно облегчит постановку диагноза, сохранит время вам и врачу и, что самое важное, может показать наличие скрытых полостей или скрытых патологических процессов (рис.4 обведенные участки) - это как правило кариозные процессы или локализованные гингивиты\пародонтиты, которых не видно невооруженным глазом. Чаще всего – это участки в области межзубных промежутков и, всё те же участки на боковых поверхностях крайних жевательных зубов.
Небольшая ремарка:
Как понять, у вас кариес или пульпит? Пора бежать сломя ноги к врачу или можно еще на денек оттянуть? Задача, на самом деле, не из лёгких. Но вполне решаема. В первую очередь – это характер боли. При кариесе – боль имеет причинный характер, то есть сама по себе, спонтанно, она никогда не возникнет. Для ее провокации, как правило, хватает любого химического или температурного агента – сладкого горячего чая или вкусной, тающей во рту, шоколадки будет достаточно. Что самое интересное и важное – боль длится ровно столько, сколько на зуб действует раздражающий фактор и сразу же проходит после его устранения. Ну что? Кто-то уже захотел провести над собой эксперимент? Но подождите! всё не так прозаично, как хотелось бы. Есть особые стадии кариеса, когда он вообще никак не дает о себе знать – это хронический кариес. И вот с этим парнем шутки плохи. Он не даст о себе знать до последнего. Ровно до тех пор, пока процесс не дойдет до нерва. И тогда будет уже поздно. Его диагностика затруднена и без профессиональной консультации здесь не обойтись.
Боли при пульпите, как можно было уже понять, чаще всего, спонтанные – возникают неожиданно, очень часто ночью. Длятся минутами или часами, и купируются только лишь приёмом обезболивающего (и то не всегда) и обязательным безотложным посещением стоматолога. Не буду сильно углубляться в данную тему, оставлю основной пласт информации на следующую часть статьи, где также обязательно расскажу, почему боль при пульпитах очень часто возникает ночью перед сном.
Наконец-то Лечение
В первой части я имел неосторожность упомянуть о, так называемом кариесе, лечение которого можно провести без жужжания над головой острых боров, но не объяснил с чем это связано, что побудило небольшую волну, я бы даже сказал, волнушку негодования.
Но прежде чем ответить, я бы хотел начать с классификации (рис.5), коих десятки. Но чтобы не забивать баки остановлюсь на самой, как по мне, показательной – это:
классификация по глубине поражения:
• Начальный или кариес в стадии пятна (надэмалевая зоны)
• Поверхностный (кариес эмалевой зоны)
• Средний (кариес дентинной зоны)
• Глубокий (кариес околопупальрной зоны)
Именно глубина поражения твердых тканей зуба влияет на конечный диагноз и методы лечения кариеса. Давайте разберем каждый процесс в отдельности.
Начальный кариес или кариес в стадии пятна (надэмалевая зона)
Представляет собой процесс деминерализации эмали БЕЗ образования дефекта (дырки, полости, дупла). То есть, это период, когда на эмаль относительно недавно начали воздействовать процессы окисления, описанные выше, и из нее не успело «вымыться» необходимое для разрушения, количество минеральных солей. В данном случае, лечение можно провести без использования острых крутящихся инструментов. Лечение будет комплексным и состоять будет из:
• Коррекция рациона питания (это условная рекомендация), заключающееся в минимизации кол-во поглощенных простых углеводом и сахара (по-хорошему, это совет для любого человека)
• Подбор паст и щетки, подходящих именно для вас – как правило, это будут пасты, в состав которых входит кальций, фториды, фосфор, солевые пасты и так далее. Тут всё сугубо индивидуально.
• Третье, но самое важное – реминерализующая терапия с препаратами всё того же фтора, кальция; покрытие зубов фторсодержащими пастами; электорофрез препаратами кальция и фтора.
Вы могли заметить, что в процессах реминерализации (восстановлении молекулярной структуры зуба) важную роль играют препараты фтора, фосфора и кальция. Дело в том, что здоровая эмаль зуба, в основе своей состоит именно из этих элементов, вымывание которых и провоцирует образованием очагов деминерализации. И вот эти процессы направлены на восстановление утраченной структуры, путём создание новых химических связей.
Минутка интересных фактов для зубрил:
Все вышеописанные микроэлементы (кальций, фтор, фосфор) находятся в зубе не в хаотическом порядке, а выстраиваются в строгой последовательности и под определенным углом, образовывая таким образом, так называемые кристаллы гидроксиаппатитов, составляющие основной неорганический пласт твердых тканей зуба. Под микроскопом эти кристаллы имеют форму призм, находящихся под углом 45 градусов (рис.6). И именно по этой причине наши зубы имеют естественный блеск - свет, попадающий на зуб преломляется и красивенько поблескивает. (рис.6. красные стрелки – направление пучка света). Ровно по этой же причине, кариозно пораженные зубы утрачивает свои преломляющие свойства и имеют сероватый оттенок.
Поверхностный кариес или кариес эмали
Особенность этого процесса, как и всех последующих (среднего и глубоко кариеса), заключается в том, что в эмали зуба уже произошли безвозвратные химические процессы, вспять которые повернуть уже никак не получится. Эмаль уже разрушена и на зубе появляется небольшая кариозная полость темно-коричневого или черного цвета.
Лечение данного процесса проходит в несколько этапов: начиная с механической (теми самыми борами) и медикаментозной (внесение в полость зуба специальных жидкотекучих материалов) обработки зуба и заканчивая его пломбированием.
Средний кариес или кариес дентина
Суть процесса, ровным счётом, та же самая, что и при поверхностном кариесе, только глубина поражения будет больше и обширнее. Соответственно, кариозная полость будет больше.
Лечение аналогичное с прошлой формой
Глубоки кариес или кариес околопульпарной зоны
Часто так выходит, что лечение глубокого кариеса – это игра с огнём. Это связано с тем, что глубина поражения настолько велика, что кариес находится очень близко к нерву и есть большая вероятность его механического повреждения путём перегрева или же прободением полости зуба режущим инструментом, повредив таким образом сам сосудисто-нервный пучок и вызвав пульпит.
Лечение глубокого кариеса, в отличии от всех остальных форм, как правило, проводится в несколько этапов (посещений):
в первое посещение: проводят удаление всех пораженных тканей и НАЛОЖЕНИЕ на дно зуба специальной лечебной КАЛЬЦИЙСОДЕРЖАЩЕЙ пасты, далее пломбировка временной пломбой на основе СТЕКЛОИНОМЕРНОГО ЦЕМЕНТА на период около месяца.
В чем суть данной методики. Кальций, содержащийся в лечебной пасте, помимо своих лечебных и антисептических свойств оказывается небольшое раздражающее действие на пульпу зуба, провоцирую таким образом защитную реакцию в виде образования заместительного дентина – это такая защитная твердая ткань зуба. Помимо этого, стеклоиономерный цемент в своем составе имеет фтор, который вместе с кальцием образует кальций-фторидовый мостик, также оказывающий защитное и лечебное действие на ткани зуба. Всё гениально – просто.
Во второе посещением, если врачом наблюдается положительная динамика, проводят замену временной пломбы на постоянную фотополимерную.
Очередная ремарка:
У многих, наверняка, в голове возник вопрос – А как надолго мне хватит этой пломбы? Ответ не так однозначен, как хотелось бы. Долговечность пломбы зависит от ряда факторов – того, 1) правильно ли врач придерживался протоколу лечения, 2) особенности вашего конкретного случая (где находилась кариозная полость и как сложно было до нее добраться, объем дефекта), также важно 3) качество пломбировочного материала, который тоже бывает разным, начиная от китайской подделки, заканчивая японскими топами. Если все эти факторы если сложить в один и получить оценку «хорошо», то такая пломба может простоять от 3 до 8-9 лет в зависимости от вышеупомянутых факторов. Почему такой большой разбег в сроках? – Довольно сложно спрогнозировать человеческий фактор и индивидуальную физиологию каждого человека. Всегда есть масса факторов, влияющих на долговечность и качество лечения.
В заключение хочется сказать, что лечение и профилактика кариеса – это основа, которой должен придерживаться каждый человек. Это важнейший этап в профилактики заболеваний зубов и челюстного-лицевого аппарата в целом. Все имеет своё начало. Ровным счётом, как и потеря зуба из-за того же периодонтита является следствием вовремя не леченого кариеса.
Посещайте стоматолога два раза в год и это сохранит вам не только здоровье, но и толстоту кошелька.
Берегите себя и будьте здоровы!
То, что Вам советует стоматолог, на самом деле Вы знали всегда.
