Сообщество - Стоматология

Стоматология

770 постов 2 890 подписчиков

Популярные теги в сообществе:

5

Вопрос стоматологам об этапах заживления десны при имплантации

Добрый день, уважаемые стоматологи.
Хотелось бы узнать, какой именно процесс заживления десны после лоскутной операции считается нормальным.

Моя ситуация -- потерял нижнюю правую шестерку(перфорация дна вследствие долгого забивания и вялотекущего кариеса на депульпированном зубе) и теперь ставлю имплантат.
Врач предложил двухэтапную схему лечения: сперва удаляем зуб и сразу ставим титановый корень, после чего ждем остеоинтеграции и потом протезирование. Я согласился -> меньше шагов в операции -> меньше шенсов чемуто пойти не так.
В целом первый этап прошел прошел хорошо, зуб удалили, корень поставили, десну ушили.
Но смущает следующее обстоятельство, после снятия шва видно, что десна не срослась до конца, т.е. в ней на поверхности где раньше был зуб сейчас щель, и в нее видно имплант.
Щель не воспалена, не болит, покраснения нет, в ширину один миллиметр, в длину четыре, в глубину наверное не меньше двух, т.е. имплант довольно глубоко.

К врачу ходил, получил рекомендацию не трогать и не переживать.
Однако все равно не могу успокоиться, т.к. найти подробной информации о том как должно протекать заживление десны над имплантом после снятия шва -- найти не смог.

Такое чувство что у всех кто рассказывает свой опыт в интернете или описывает процедуру имплантации, все сразу после снятия швов полностью заросшее было.

Поэтому буду признателен, если кто расскажет как оно должно быть на самом деле, и что считается нормой, а когда надо резко бежать в стоматологию и просить спасти от переимплантита.

Показать полностью
0

Зубы мудрости

Решила поделится опытом расставания с 8ками или зубами"мудрости". Вылезли все 4 зуба достаточно давно, и совсем не беспокоили. Слушая страшилки от других людей, как это ужасно, когда они начинают болеть, я им искренни сочувствовала, но совсем не понимала какой это ад). На осмотрах почти каждый второй стоматолог предлагал их удалить, но я не спешила, так как они мне абсолютно не мешали. И вот настал день, когда "зубешки" эти взбунтовались. Уж не знаю какова была причина, но после лечения очередного кариеса, верхняя и нижняя "мудрость" с левой стороны сильно напомнила о себе. И ночью и днем, распирающая боль с прострелом куда то в ухо не давала мне покоя, 5 дней на обезболивающих и вот я у хирурга на удалении. На тот момент мне было абсолютно все равно, в какую сумму мне вылиться это удаление, лишь бы это все закончилось. С хирургом мне повезло, удалил быстро и почти безболезненно, пока зашивал десна даже шутил, потом показал мне удаленные зубы и указал причину, чего это они вдруг так взбунтовались, дал рекомендации и написал пить антибиотик, обезболивающее, антигистамины.  Жду теперь когда заживет, питаюсь кашой и супчиком, стараюсь не жевать особо, челюсть пока еще болит. Кстати людям, кто сильно  боится  удалять такие зубы, рекомендую делать под общим наркозом, звук хруста прям щекочет нервы, ну и давление на челюсть тоже мало приятное.

3

Дисфункция ВНЧС, "кто виноват и что делать?"

Доброго здравия всем пикабушникам, и просто хорошим людям читающим сайт. Пришло и моё время написать свою историю, излить душу так сказать, ну и попросить здесь совета.

Что такое дисфункция ВНЧС? Мало кто из обычных людей, не наделенных медицинским образованием, вот прям так с ходу скажет. Ну в общем понятно, что это какая-то неприятная проблема:), а в частности...

Этот диагноз преследует меня как "страшный сон", как что-то ужасно ужасное , вкупе с огромным желанием избавиться от него и забыть, опять же как "страшный сон". Столкнулась я с дисфункцией полтора года назад.

Заранее небольшое отступление: щелчки в челюсти были всегда, с самого детства. Не часто, но были. Боли при этом не было никогда, я вообще не знала, что такое боль в челюсти. Понятно, что любая проблема рано или поздно приходит к логическому завершению, ну или нет, тут уж как кому повезет:)

Так вот, надо сказать, что незадолго до всей истории мне была удалена 8-ка верхняя слева.(Не знаю, имеет ли это значение, или просто совпадение)  Через пару недель с левой стороны появилась боль в шее, потом она(боль) поднялась к уху, и уже потом радостно обосновалась в месте где была удалена 8-ка.

Сначала поход к ЛОРу -вердикт: ничего страшного. Потом к хирургу -" А вам не ко мне, вам к ЛОРу" :) Потом поездка в ЧЛХ, где сделали ортопантограмму, которую врач долго крутил в руках, выставлен собственно диагноз - "Дисфунсция ВНЧС". Причем выставлен радостно, ведь как только врач услышал щелчки в суставе, стало понятно, что никаких обследований, все и так понятно:) Тогда я ещё не понимала, что этот диагноз попортит мне жизнь.

Потом, пошла я к тому врачу, который собственно удалял зуб. Сейчас смешно вспоминать, тогда я чувствовала сильную боль и было  не смешно:) Врач при помощи стоматологического зеркала(не знаю, как правильно эта штука называется, уважаемые стоматологи, не кидайте тапками за такие термины, я ведь всего лишь пациент:) ) и ещё обычного зеркала, пытался мне показать, что лунка чистая и ничего у меня там нет, просто края лунки острые и ранят десну. Потом в тот же день был прием в другой платной клинике, прицельный рентген и...Ничего у вас там нет,всё чисто. Потом я выхожу,сажусь в автобус и еду в ближайшую к моему населенному пункту больницу скорой помощи, так как боль уже такая, что выть охота. В первый раз на приёме не повезло:), после слов врача -"Сейчас разрежем и посмотрим, что у вас там", я быстренько ретировалась с кресла, и попятилась к выходу. Знаю, надо было взять себя в руки, но, увы... На просьбу направить на КТ, врач, возмущенным голосом сказал, что не видит смысла.

Утром следующего дня, я опять под дверями кабинета, естественно смена врачей уже другая. После пальпации десны и дискуссии, не пришли ни к какому выводу, пока девушка врач, осмотрела меня и поставила вердикт, что это зкзостоз, который уже проколол десну и травмировал слизистую, она произвела необходимые манипуляции и на подносе оказалась довольно таки длинная и острая косточка, похожая на шип.

Всё, спасибо, до свидания, и на месяц я забыла про боль. Обрадовалась даже, что всё, муки закончились, боль прошла и я такая вся важная пойду на прием к тому врачу, что установил мне диагноз "Дисфункция" и потребую, что его убрали с моей карты. Наивная:)

Потом боль вернулась. А! Был еще поход к гнотологу, еще два похода в этот же кабинет скорой помощи, посылания меня опять к  ̶ч̶е̶р̶т̶я̶м̶ ̶с̶о̶б̶а̶ч̶ь̶и̶м̶ гнотологу. 

Потом просто жизнь с долгой ноющей болью, поход снова к стоматологу в поликлинику,  рентген, оказалось в лунке остался кусочек корня. Удаление, действительно, мааааленький кусочек. К сожалению боль не прошла. Потом опять обращение в клинику к врачу удалявшему 8-ку, посылания  меня ̶н̶а̶ ̶х̶у̶т̶о̶р̶ ̶б̶а̶б̶о̶ч̶е̶к̶ ̶л̶о̶в̶и̶т̶ь̶ записываться в порядке очереди, длинной в месяц. Опять поход в поликлиннику по месту жительства, уже к другому врачу, рентген. Снова удивленное: А вы уверены, что зуб вам удаляли? Он у вас там торчит в лунке. Удаление ещё двух корней, обморок, кровь из носа, и испуганный взгляд врача, в котором написано, что ему это всё ну очень не нравится:) ... Сказал, сделал, что мог, дальше уже не его компетенция. (Надо сказать, что на ортопантограмме, и на прицельных снимках в районе удаленной 8-ки было чисто, никаких остатков корней. Их с трудом видно только на "обычном" боковом рентгене черепа и на КТ).

Я ему благодарна, провозился он со мной долго, к сожалению, боль полностью не ушла, стала меньше, но присутствует постоянно. Потом длительное лечение у ЛОРа, попутно консультация челюстно-лицевого хирурга. Его радостное - "У вас прямо классика, как по учебнику, дисфункция сустава".

И опять вердикт: требуется консультация стоматолога-ортопеда.

Надо сказать, что после звонка в ОМС, выяснилось, что бесплатно я такую консультацию не получу, только платно, ну или если у меня отсутствует 80% зубного ряда:). Дело не в том, консультацию то оплатить не проблема, но вот ведь дилемма, в платной клинике врач назначит дополнительные обследования, который я в материальном плане просто не потяну. Так как работаю в бюджетной сфере и зарплата сами понимаете...

А в нашей местной  "бесплатной" поликлинике только рентген на старом аппарате (на очень старом аппарате:) ) 

Вся эта байда, приключившаяся со мной, совпала ещё и с проблемами по эндокринологии, мой высокий пролактин стал пытаться забраться ещё выше, но это уже совсем другая история...

Букофф вышло много, не ругайте за ошибки, это мой первый пост на Пикабу:).  История на самом просто крик души. Понятно, что многие скажут "просто возьми деньги и сходи в платную", но если бы всё было так просто в материальном плане:). 

Может кто-то из присутствующих здесь врачей на основе вышеизложенного даст дельный совет? Буду очень благодарна. На самом деле, если бы я знала, как поступить, я бы уже как-то собралась с  ̶д̶у̶х̶о̶м̶  деньгами и постаралась решить этот "больной" вопрос.

Показать полностью

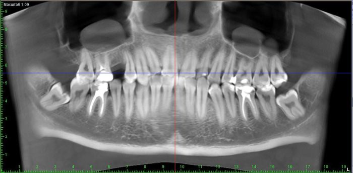
Зуб мудрости. Нужна консультация стоматолога.

Добрый день Уважаемые Стоматологи!

Необходима консультация по поводу удаления зубов мудрости (2 нижние восьмерки).

До этого ходил в 2 платные клиники на консультацию и в 1 поликлинику (бесплатную).

В 1 платной врач сказал "конечно удалять" и озвучил стоимость 6.500 за 1 зуб.

В другой платной врач сказал можно и не удалять, но один который подпирает лучше удалить - стоимость 8 тыс с ультазвуком.

В бесплатной государственной поликлинике врач сказал не надо удалять - они лежат в кости и уже выросли, ничего не будет.

Теперь вопрос - что делать с зубами удалять или оставить?

Снимок томографии ниже.

Зуб мудрости. Нужна консультация стоматолога.

Что лучше - чистить зубы утром и вечером или только вечером+зубная нить?

С точки зрения обывателя (а может и объективная) я не правильно ухаживаю за зубами в последнее время - не чищу утром. Однако обыватели и не пользуются зубными нитями. Я перед сном пользуюсь зубной нитью и после неё чищу зубы. С утра ничего не беспокоит, просто полощу рот. А вот если зубной нитью не пользуюсь вечером, а утром пользуюсь, чувствую, что кусочки пищи уже того. Поэтому я не особо понимаю, зачем чистить утром зубы, если ты их перед сном почистил.


Как по крайней мере лучше - два раза чистить зубы без нитей, или 1 раз с нитью? И насколько хуже это сочетание, чем двухразовая чистка+нить?

1

Воспаление зуба.

Здравствуйте, очень нужен ваш совет, или экспертное мнение. К врачам уже записана, но попаду нескоро.
Дело в том, что стоматолог занесла мне в зуб инфекцию (был очень сложный случай с непробиваемым каналами, пять раз была на приеме по три часа) и эта инфекция, как они сказали пошла в челюстную кость.
Они предложили оплатить мне лечение в другом городе, но там сказали либо вы приезжаете прямо сегодня вечером, чего я сделать не могу никак, либо приезжаете в августе.
в следствии чего, моя мать подняла огромную панику, и рассказала что у прадеда была точно такая же инфекция, он не успел ее вылечить и она развилась в рак, от которого он и умер. Я не нашла в интернете что бы рак развивался именно от инфекции в зубе и хотела спросить возможно ли такое теоретически? Стоит ли паниковать, или можно и подождать эти пару месяцев ? Зуб болит, как и сама кость(хотя кости вроде не должны болеть, но так ощущается).

4

Подскажите как быть лига юристов или стоматологов

Суть:
Моя девушка решила исправить прикус обратившись через знакомых(без договора) к врачу ей предложили "элайнеры" оплатив 140т.р. ей сделали эти карты и обещали пол года и результат,в сентябре будет год а результат 50%,капы постоянно ей переделывают так как то не подходят то повторно надо относить.девушка говорит что по ощущениям результата не будет,в начале обещали делать капы пока не будет результата 100% но уже проговаривают что по истечению срока бесплатно делать не будут.можно ли как то без договора попробовать с ними бадатьс или забить?

Спасибо за внимание!

Подскажите как быть лига юристов или стоматологов
Показать полностью 1
Отличная работа, все прочитано!