Сообщество - Стоматология

Стоматология

770 постов 2 890 подписчиков

Популярные теги в сообществе:

Вопрос для стоматологов

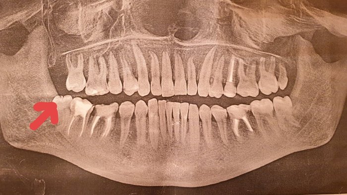
Здравствуйте! У меня вопрос к опытным специалистам в области имплантации зубов.
У супруги удалили 5й и 6й зубы. Поставили импланты. Сегодня ходила на слепок для временных коронок. Ортопед ей сказал, что нужно ставить 3 коронки, аргументируя тем, что там места на 3 зуба. И мы не можем понять, каким образом так получилось? Толи разводят на лишнюю коронку, толи ошиблись с установкой имплантов(большое расстояние между ними)?

2

Коронка или имплант? Нужен совет

Здравствуйте! Стоматологи, и у кого есть опыт, подскажите. Дано - два разрушенных зуба на нижней челюсти, премоляры. Врач предлагает коронки или импланты. Импланты дороже и страшно, и процесс переживания. Коронка дешевле, но пугает необходимость стачивать и убивать соседние зубы. Что делать?

7

Есть ли смысл в третьей попытке?

Мне 52 года, прыгала с парашютом, летала на параплане и дельтаплане, долбалась об землю со страшной силой, были сотрясения и выбила передний зуб лет 30 назад. Но ни единого перелома за жизнь, то есть кости крепкие.

А имплантат в челюсть мне вживить не смогли. Мучали два раза, потратила 60 тыс.руб. и всё в пустую. Причём по знакомству к какому-то дорогому хирургу ходила. Когда он выдёргивал имплантат через год после вживления я кричала от страшной боли, хотя я очень терпеливая и когда рожала ни звука не издала.

Так и живу со съемным пластиковым зубом-бабочкой. Как думаете - рискнуть в третий раз или это безнадёжно?

Вот КТ 2016 года до первой имплантации и 2017г. после того как этот имплант выпал. После каждой операции ждала 12 месяцев когда приживётся.
Показать полностью 2
11

Вырванный по ошибке коренной зуб

Случилось брату моей девушки, пойти в детскую стоматологию, так как у него была некоторая "дырка" в одном из зубов. Если это принципиально важно, брату 7 лет. С боем, в бесплатной детской стоматологии дали талончик.

Заходят Алексей и его отец в кабинет к стоматологу, и тот ему говорит, что не имеет права ставить анестезию, поэтому отправляет пациента к хирургу предварительно написав очередной талон. Конечно, Лёшу всё это время сопровождал отец, но в кабинете хирурга его попросили выйти, и папа, без каких-либо подозрений, сделал это.

Но Лёше вырвали коренной зуб. 7-ми летнему ребёнку вырвали здоровый коренной зуб. По ошибке, как выразился врач. Коренной мать его зуб. Вместо анестезии.

Возможно, доктор был сонный, задумался, делал всё на автомате, но как это относится к 7-ми летнему ребёнку, который просто думал, что ему сделаю укол и потом поставят пломбу?

Но хватит лирики, вопрос таков: что делать? Насколько я понимаю (возможно, я ошибаюсь. Буду рад, если вы меня поправите) это негативно скажется на росте зубов в целом.

Так вот, возможно ли как то предотвратить искажение будущей улыбки мальца?

Возможно ли взыскать средства за будущее лечение?

Как наказать виновного?

Замучился с коронкой

Дорогие Лига Дантистов. Что делать?
Случай мой может нетипичный, сложный, но все-таки, отчаяние заставляет искать выходы.
Живу за границей, в Южной Америке, сразу уточню на всякий случай.
Поставил как-то две коронки рядом, на верхней челюсти, зубы 5й и 6й по счету от середины, металлокерамические. Предыстория уже не важно, стоял мост лет 12.
Вскоре под коронкой на 6м зубе сломался собственно зуб, корни его то есть. Коронка слетела, зуб удалили.
Далее, через какое-то-то время, месяцы, слетает и вторая коронка, приклеили ее и вроде ниче, держалась, весь злосчастный 2020й год продержалась.
Но полечили мне неделю назад соседний зуб, коронку снимали, приклеили, а она через 2 дня выпала.
То есть выпала третий уже раз, выпадает всегда в таком виде- с частью зуба, который остается в коронке и штырем, который видимо когда-то использовали для формирования зуба, типа так:

Замучился с коронкой

Штырь торчит (нарисовал его голубым цветом).
В общем, сегодня, другой врач уже, приклеил опять. Я вечером кушаю, даже на эту сторону не жевал, и опять выпадает в таком же виде, со штырем.
Я не знаю, что делать.
Ну если зуб разрушен- удаление и имплант, но ясли же он не расколот (корни не расколоты),- можно ли как-то приклеить это, идти искать других специалистов?

Показать полностью 1
42

Брекеты

Доброго времени суток.
Не будет Японии (гоменасай), будет тема, которая крайне меня волнует.
Меня поймут люди, у которых в голове сидит идея фикс - хочу нормальную улыбку! Я, по натуре, человек улыбчивый, работаю с людьми, и мне очень хотелось иметь здоровую, красивую улыбку. Благодаря своей работе имела страховку, и могла вылечить зубы. Каждый раз, перед сменой дмс страхования, меня просиои заполнить анкету: куча вопросов о болезнях, аллергии, а еще пунктик: как вы себя чувствуете на приеме у стоматолога? Как-как? Ужасно! Нервозно! Но всегла шла и терпела все манипуляции, т.к. это, в первую очередь, нужно только мне.
итак, с первым пунктом "здоровым" разобрались. Далее пошло дело о красоте. Пошла к нашему, дмсному, ортодонту на консультацию. Дама меня удивила. Не то, что внешним видом, сейчас это никого не удивит (вставные зубы, что даже я заметила, стрижка а-ля панк, пирса на всех ушах), а манерой общения. Простите, но даже я, общаясь с детьми клиентов, всегда обращаюсь к ним на Вы. Это клиент, не важно какого возраста, для меня это табу. Но тут между тыканием, она мне насчитала сумму более 50к (перед брекетами очень важно,чтобы все зубы были вылечены). А она мне уже посчитала и протезирование (коронки на 6ти зубах), чистку, и удаление 8рок.
Как говорится, послушал одного, спроси у другого (не уверена, что вообще так говорят, но решила спросить мнения у лечащего меня терапевта).
отступление. Возраст -это когда у тебя появляется личный терапевт, стоматолог, механик, сантехник 😆 человек проверенный и по всем твоим меркам надежный!
спросила, мне посоветовали врача, с которым училась моя терапевт.
Заблаговременно, я героически удалила 3 8-ки. (Это вынужденная мера. Особенно, когда они не прорезалились до конца. В мои-то 27 не все 8ка вылезли!). Далее адский снимок мой челюсти. Стрелочками показаны 8ки. Корни у этих нычек ужасные. Кривые, закорюченые, ужас.

Хирург с асисстенкой за 2 недели сделали невозможное. Оказалось,что 1 восьмерки вверху у меня нет (стандартная аномалия. Нет корней и все), вторую 8ку сверху удалили в день посещения, а 2 нижних удаляли с разбегом в неделю, чтобы не занести инфекцию и дать организму восстановиться.
скажем так: я была настолько твердо уверена удалить эти злополучные восьмерки, которые напоминали о себе в самые не подходящие дни, что после удаления 1 зуба я вышла на работу спустя 2 часа. Врач назначил обезбол, сказал прийти на прием, если что, пропишет антибиотики. Но прошло все хорошо. Зажило, как на собаке. Промывала хлоргекседином после каждого приема пищи и чистила зубы детской супер-нежной щеточкой.
и вот, визит к ортодонту!
Врач посмотрела слепки (их делают перед установкой брекет-систем+проф чистка), и поставила замки. Отметила, что из-за неправильного расположения зубов, они начали стачиваться, это видно по снимку. Решили, что нужно расширять, а потом уже выравнивать. У меня еще беда с детства: клык выпирал, и никак не хотел становиться назад, хотя я уже выросла, челюсть раздалась, но не до конца. Проклятые восьмерки!
1й месяц - нижняя челюсть - минус 20 к
2й месяц - верхняя челюсть- еще минус двадцатка. И в течение года я исправно посещала ортодонта, раз в месяц, меняли лигатуры (проволоку, которая стоит на замках)

ощущения, прямо скажу, не из приятных, когда меняется дуга. У нее есть еще неприятное свойство -выпадать из замка. После замены дуги 2-3 дня кушать твердую пищу крайне трудно, но я справлялась.
Никаких жвачек, орехов, сухариков, иначе все отвалится к чертям! Во всех моих сумках и рюкзаках лежали зубные щетки и паста. Доктор так же дала ершик для чистки между брекетами пространства и дала воск. Тонкие полоски, их катаешь в шарик и если где-то колется, накладываешь на замок или, в моем случае, на дугу, когда выпадает. Первые пару месяцев она выпадала, особенно из верхних рядов. Выпадал так, что щеку царапала в кровь. Приходила в клинику, мне ее надкусывали, и это было счастье! Еще заметила, когда челюсть сильно сжимаешь, зубы "хрустят". Непривычное, необычное ощущение. Спросила у врача, она сказала, что это нормальная история.
наши зубы находятся в постоянном движении, особенно однокорневые (резцы, клыки). Еще под действием брекетов они двигаются, поэтому- привыкнешь.
Ортодонт так же занимается не только поставновкой челюсти, но и прикусом. Зубы не должны становиться друг на друга (резцы)! Верхняя челюсть всегда будет выпирать, насколько сильно - это уже зависит от генов, строения челюсти и работы ортодонта. Обычно считается, что челюсть выдается вперёд у деток, кто с пустышкой ходит, не расставаясь. По словам моей маман, пустышки я не признавала. А вот в 2000х денег на пластинку не хватало. Поэтому, мечта идиота сбылась. В 27 я поставила брекеты.
Так же для исправления прикуса врач дала мне эластики -тонкие резинки, их цепляешь за крючки и носишь по мере возможности. На ночь, после еды меняешь, в любом месте. Я их нлсила месяца 3, после чего их отменили, и в декабре 2020 сняли низ. После снятия замков, на все однокорневые зубы, а их 6 (4 резца и 2 клыка) ставится ретейнер (или ритейнер). Тонкая проволока, которая держит зубы в нужном положении и не даёт им пойти в пляс. Ее пости не ощущаешь, но лично мне нужно носить ее (с заменой раз в 5 лет) до вставной челюсти. На мрт не мешает и металлодетектер не определит ее. Его. Ретейнер. Или ритейнер.

Перед снятием была чистка. Моя терапевт аккуратно сделала чистку брекетов,1200 отдала, все комментировала, дала очки, на лицо пеленку,чтобы не попало ничего и вуаля! Хоспаде, я таких зубов не видела у себя 27 лет. 27! Это треть жизни! В январе заменили дугу, мой клык наконец-то соизволил стать на место, и скоро мне их снимут. Почти 1,5 года я отходила с брекетами и ничуть не жалею. После них уже будет протезирование 6-к. С детства были не в лучшем состоянии, и уже визуальная работа моего терапевта, чтобы подточить, нарастить клыки и сделать улыбку аккуратной. А там уже и до отбеливания дело дойдет.
С личной жизни наличие брекетов никак не мешает😏🤭 главное быть аккуратной и не делать резких движений! Иначе крайне трудно будет обьяснить травмотологу наличие рваных ран на.., ну, вы поняли, где.
кстати, по поводу курения, вина и другтх красящих ферментов. Главное соблбдать гигиену полости рта: у меня электрическая щетка орал-би, от ирригатора отказалась, не зашло, и скребок для языка. Эмаль здоровая, зубы в порядке, ни одной пломбы не вылетело за период брекетов, и я на шаг ближе к мечте о здоровой и красивой улыбке.

поэтому, я всем пропагагдирую: брекеты - это нормально, это круто, это здоровая жизнь для зубов. Аминь)

Показать полностью 2

Дорогие мои стоматологи...

Как я вас "люблю".
Живу в Южной Америке уже 5й год, страна вроде цивильная, но зубы я себе тут угробил.
Стоял у меня мост лет 12, ставил один заслвженный врач в Украине (реально, со званием заслуженного), мост дешманский из железа, покрашенный под золото, сейчас бы такое конечно не делал, но служил верой и правдой пока не проржавел.
Мост был на 4 зуба, одного из которых не было, ну вы поняли.
И в понтовой стране Перу, мост этот ломается, в том месте, где почередине нет зуба. Я хотел сразу заменить, сходил к местным "специалистам", сначала меня привели к мужику вида мясника, кабинет у него был на грязном балконе, со шторкой от солнца из пыльного брезента. Было предложено новый металлокерамический мост за 500 баксов, но у меня возникли сомнения из-за всего этого вида "кабинета", если его можно так назвать.
Да и проблем не было, пользовался дальше.
Но, еще года прошло 3 и одна часть моста, которая на двух жевательных зубах стояла- выпала.
Надо ремонтировать.
Пошел в более попсовую стоматологию в моем гламурном районе, там где сейчас живу (В Южной Америке, все столицы делятся на районы- элитные и голодранские). Мост почему-то делать новый не захотели категорически- это видите ли каменный век, совковые технологии. Сделает тебе две коронки металлокерамика по 200 баксов каждая.
Да не вопрос. Сделали. Через неделю один зуб под одной из коронок раскололся, я сразу чувствовал, что что-то не так, но надеялся, что пройдет. Но нет- зуб раскололся- удаление.
Осталась одна коронка, которая постоянно слетает. Поменял стоматологию.
Пару недель назад, чувствую зуб соседний с коронкой дал трещину (он леченный раньше, пломба надо, делов то). Пошел в свою последнюю стоматологию, но врач какой-то другой оказался.
Чтобы запломбировать зуб он снял коронку, поскольку она соседствует и мешает, окей, согласен.
Поставил обратно коронку, приклеил, а она почему-то мешает, высокая.
Че делать? Он ее начинает стачивать. Это несколько странно, но я хз. Стачивает, стачивает, а она мешает. С полчаса точил.
Ладно, решили посмотреть, если будет мешать- потом доточить.
Прошло 2 дня. Сегодня- выпадает у меня коронка, во время еды. Че делать- вставил назад, пятница, ночь. Написал месседж в стоматологию начальнику, что хочу консультацию, только не с тем врачом который этот раз лечил, а с докторшей, которая раньше, она не чудила.
А сейчас чувствую- я вставил корнку и она не мешает! Похоже доктор вставлял ее развернутой на 180 градусов, то есть задом наперед, поэтому она не вписывалась! И он ее стачивал еще... Капец...
Бля, ну как такое может быть?
Пикабушники-стоматологи, отпишитесь плиз, помогите советом, как избежать таких ситуаций?
Дело не в деньгах, я не хочу очередной зуб потерять, и так за 4 года здесь- минус 3 зуба (ладно, один зуб мудрости, не считается).

Показать полностью
11

Лечение зубов,  импланты,  поделитесь опытом или знаниями

В период массового перемалывания всяческого корма случилась у меня неприятность,  рассыпался зуб.  Теперь по правой нижней стороне имею от 5-6-7  только остатки корней в десне.  Решено активно занятся жевательной функцией организма. От этого и прошу совета,  что делать,  какие варианты  , что долговечнее и надежнее. Какие виды и системы  лечения и протезирования предпочтительнее  и т. д.  Сам понимаю что для начала надо убирать корни,  это естественно. А вот куда двигаться дальше и к чему готовиться?  Заранее спасибо за советы.

Отличная работа, все прочитано!