Сообщество - Стоматология

Стоматология

770 постов 2 890 подписчиков

Популярные теги в сообществе:

8

Стоматологи помогите.

Четыре года назад, лечила зуб с удалением нерва. Но вот уже три дня болит, сил нет. Сегодня поехала в поликлинику (раньше не могла, т.к. муж на работе, а я с маленьким ребёнком.), а талонов нет. Только снимок сделала. Я конечно же ничего не поняла, что там изображено. Что там болеть может?! Вот надеюсь на вашу помощь. Может кто поймёт по снимку. Мне зуб обязательно удалять или может просто лечить заново. Простите за ошибки, зуб болит, голова болит, слезы глаза застилают...

Стоматологи помогите.
8

Зубы нужно чистить или как я ставил импланты

Последние два года хожу к стоматологам, чуть реже чем на работу, а на работу хожу, чтобы ходить к ним. Рекурсия фактически.
С детства ставили пломбы и опломбировали половину зубов, что было обыдено и сильно не мешало ничему, периодически делал чистку и один раз оьбеливание с заменой нескольких пломб на передних зубах. Ну и удалил две верхние 8ки, которые были как труха и крошились, нижние на месте, не маместе - где то в кости и один давит, но удаление отложилось, тк он рядом с нервом, и надо идти в челюстно лицевую хирургию, где я лечусь сказали не возьмемся.

Итак, под новый год 2016, мы пошли с другом в баню и пили пиво, закусывая воблой, с одним из закусов я почувствовал что то жесткое, оказалось верхний зуб, 2й от центра. Что делать?
Посоветовали врача, поставили штифт и коронку, за 3-4 посещения, коронка слетала раза 3 - ставили еще раз на цемент, да и во рту привкус гнили, внутрене я понимал, что корень сдох и надо удалять, а рентген в другой клинике это подтвердил. И решили ставить имплант, по однопроходной схеме, удаляем корень - имплант вкручиваем. Еще на КТ увтдиле кисту на соседнем центральном зубе и сказали, что надо делать резекцию корня. За 2-3 посещения поставили имплант, закрутили его пробкой и операцию на корне. Больно? Анестезия все блокирует, но как отпускает, то ощущения не из приятных. Сказали погулять полглда и возвращаться, имплант должен обрасти костью. Но клиника закрылась ранеше, чем прошло полгода. Просто закрылась, причем находилась в одном офисе с моей работой, оказывается не лучший фактор для выбора.

Прошло чуть меньше года, надо ставить коронку на имплант. Нашел в интернете клинику, ряом с зоопарком, в центре, записался. За день до визита у меня сломался зуб на котром лечили кисту, в челюсти пробел в 2 зуба, печаль. Сделали осмотр, сказали, что снова киста появилась на центральном зубе, нало ее снова лечиль, потом штифт и коронка. А потом и на имплант коронку поставят. Ходил раза 3-4, все сделали. Как я думал на паузе лечение и успокоился.

Через несколько месяцев пошел на чистку уже рядом с домом, заодно рентен сделали, снова киста. Надо удалять, вариантов лечения нет. Возвращаться

Где лечить? Родители посоветовали врача, у котрого лечили сами. Удалять и сейчас, был диагноз. Удалили. 3 месяца гулял. Поставили имплант. 4 месяца гулял с временной коронкой и был пости счастлив. Но...из за того что было удаление предыдущий имплант оголился, сделали пластику десны, помогло отчасти. Полностью не закрыла она имплант, надо удалять. Удалять имплант тоже не из приятного, его просверливают, стачивая резьбу, потом как обычный зуб.

На текущий момент, у меня пустота на месте первого импланта и новый стоит.

По деньгам получается около 100 т.р. имплант с коронкой. Если интересно, готов ответить на вопросы, что бы ваше лечение было проще.

Показать полностью
24

Для тех, кто пережил сильную моральную травму у стоматолога

Привет!


Наверняка вы пережили тотальный и беспросветный ужас у садиста-стоматолога, анальгетик вас не взял, каналы вы чистили, нерв вытаскивали и чувствовали адскую, несравнимую ни с чем боль.


Тогда этот пост я посвящаю страдальцам и героям, которые прошли этот ужас.


Я не боялась стоматологов, пока мне не пришлось вытаскивать нерв под, пожалуй, плохим уколом. Это были передние зубы, сейчас я вспоминаю и ужасаюсь.


Я начала запускать зубы, так как стала панически бояться стоматологов. Мать буквально тащила меня  за руку, я вырывалась и выла, рыдала в голос. У кабинета при каждом "вруммм бззззззззззз" меня колотило, я пыталась держать себя в руках но не могла. Я ревела навзрыд, так как понимала, что сейчас мне будет ОЧЕНЬ больно и этого не избежать. Стыдно мне не было, так как я знала что предстоят адские муки и мне было все равно, что обо мне подумают.


Зуб за зубом, мне чистили каналы и вытаскивали нервы. У меня "замораживались и немели" щеки, язык, голова, глаза - все что угодно, только не нервы. Я умоляла поставить мне нормальный укол, готова была заплатить любые деньги - никому не удавалось обезболить мои зубы. И когда стоматолог говорил мне "сейчас только где укольчик заболит и все, больше ничего не почувствуешь"- я знала, что он врет. Кстати, было дело, мне делали около 6 уколов за раз на один зуб, но меня не взяло. Никогда не забуду, наверное.


Уверена, вы понимаете, о чем я.


Один врач сказал, что меня просто не берут уколы. Другой не верил и утверждал, что я вру. Кстати, во время экзекуции последний получил от меня по лицу во время работы - это была защитная реакция.


Чего только не было. Звали медсестер, чтобы зафиксировать (нет, не голову и челюсть) руки и ноги, так как у меня была дикая истерика и я вырывалась. Я материлась и проклинала все, что видела, в том числе врача. В голос.


Я лечилась как в частных, так и в государственных клиниках.


И вот настал день Х. Я запустила зуб и решила, что самое время его вырвать - он раскалывался и резал мне язык. Еще кусочек я проглотила и долго параноила, что он меня разрежет на куски изнутри)) Вообще, я решила - лучше рвать, чем лечить зуб - не так больно.


Дело происходит в России. Я не являюсь гражданкой России, и честно думала, что здесь медицина недалеко от нашей ушла, а то и похуже - опыт у меня такой.


Как всегда, я проснулась с ноющей тревогой изнутри, всё как будто говорило мне - самое время умирать. Страх окутал со всех сторон, препарат (на бензо.......зепиновой основе) действовал вяло и не смог перекрыть ужас.


В приемной мне захотелось расплакаться и стало очень жаль себя. За что мне такие мучения?!


Я не особо верила что мне будет не больно и переубедить меня было невозможно. Я считала людей, которые утверждали, что рвать зубы не больно - лгунами.


Я прекрасно знаю, что вы, пережившие адские муки у стоматолога, не поверите мне, но все, о чем я напишу - чистая правда.


Меня любезно угостили чаем, наверное это был администратор. Мои руки плохо меня слушались. Все падало, я была сильной растяпой, ждала своего часа. Ничего не могло меня успокоить, тахикардия была не сильной, но достаточно внушительной. И только я успокоилась, как увидела своего врача - я знала, вот он, момент истины. Сердце забилось сильнее и это была паника, но я не рыдала - премедикация действовала.


На вялых ногах я приползла к кушетке, отметила для себя, что сбоку в шкафчике у них хранились какие-то коробки с надписью "анафилактический шок, аллергическая реакция" и тд. Для меня это было приятным сюрпризом - эдакая подстраховка, мол, начну помирать - так хоть шанс на спасение будет (я ипохондрик).


Чтобы разрядить обстановку, я начала шутить и вспоминать прошлый опыт. Мне намазали десна странным, вкусным гелем и сделали укол - так аккуратно не делал никто никогда. Это был шок. Я не могла поверить, что укол можно делать так аккуратно и точно, у меня если честно нет слов чтобы выразить свое восхищение профессионализмом моего врача.


Затем мы стали ждать. Меня утешило, что не случилось аллергии - её я боялась больше всего. Медсестра отметила, что в таком молодом возрасте не стоило пить такой сильный препарат для премедикации - хех, она же не знала что я пила целые коктейли из АДов, транков и нейролептиков еще в 16 лет. И сейчас мой препарат - самый легкий и лучший. Врач знал о моем тревожном расстройстве (была предварительная консультация) и тактично поменял тему, это было очень мило и трогательно :3


Так как у меня зуб сгнил, он должен был рассыпаться во время вырывания - я морально готовилась к этому. Врач аккуратно стал расшатывать его, успокаивая меня и поддерживая. Я ждала, когда мне будет больно.


Но больно не было. Но я решила, что время мук просто еще не пришло. Что при вырывании уж точно будет больно, иначе никак, ну не бывает у меня вот нормально и все тут.


Он взял щипцы и аккуратнейше, медленно стал рвать зуб. Меня не держали за голову, не оттягивали зуб, не вытаскивали мозг. Не как та женщина - врач, которая упиралась ногой в кушетку - потому что зуб не поддавался, а медленно и спокойно. Но и той женщине стоит отдать должное - у меня было воспаление и выдирала она по кускам, терпеливо выслушивая мой ор и отборный мат.


Я услышала звон, звук, когда зуб упал на... На что он там падает? В специальную штуку железную, ну вы знаете.


И тут врач говорит - все. В смысле все? Как все?


Я знаю, что вы мне не поверите, но я даже не пискнула. Я не почувствовала ничего, кроме расшатывания и... И все?


Я была в диком восторге. У меня занемела только область возле зуба. Я могла разговаривать, улыбаться, радоваться. Фобия ушла моментально - этот доктор вернул мне веру в стоматологию!


Если честно, не знаю цену, но наверное около 3 000 рублей. Но если сравнивать с той болью, с теми переживаниями, да и ценами в прошлые разы - это просто божественно. Убрать боязнь стоматологов - бесценно! Но пока не узнаете - не поверите. Я это понимаю.


Отдельное спасибо стоит сказать моему парню и поставить ему огромный памятник - этот герой смог вынести мои истерики, рев и крик, препирание и неверие. Ну и вообще, что терпит меня, психованную...


Всем, кто боится стоматологов - настаивайте на премедикации, если получали моральную травму ранее. Это очень помогает.


В государственную или частную клинику идти? Не знаю, мне было больно везде.


Желаю всем страждущим найти компетентного, умного, тактичного и умелого врача. А всем стоматологам, которые повышают квалификацию и работают на совесть - низкий поклон!

Для тех, кто пережил сильную моральную травму у стоматолога
Показать полностью 1
1

Треснул зуб. Как действовать?

Я прошу прощения за такой пост. Я просто не знаю как действовать правильно. Помогите пожалуйста, кто знает. Я в панике.

11 ноября пломбировала зуб в клинике (зуб нижний, кажется седьмой). Убирали старую пломбу, под ней был кариес. Пульпита не было, нерв на месте(!)
Сегодня ела виноград (без косточек!) И заметила, что зуб начинает ныть, если на нем жевать. Рассмотрела в зеркале трещину. Трещина вертикальная. Начинается от пломбы и уходит под десну.
Нагуглила, что если треснул корень, то зуб надо удалять.
Завтра позвоню в стоматологию, в которой делала пломбу, сегодня уже закрыто.
У меня такой вопрос, как правильно с ними общаться? Что делать если они скажут, что это не их вина, и мне придется за свой счёт делать имплант? Должны ли они вообще бесплатно сделать мне имплант, если зуб треснул из-за их пломбы? Как мне это доказать? Куда идти на экспертизу? Как много времени у меня есть, не станет ли хуже?
Врач мне ничего не говорил, о том что зуб в опасном состоянии и такое может произойти. Нерв, я повторюсь, на месте, зуб живой.
Ничего твердого я не грызла, другие зубы относительно здоровые, без нерва только один. Ну это я к тому что зубы у меня сами по себе не разрушаются из-за какой-то другой причины.
Я просто могу растеряться и не понять что меня в чем-то обманывают или ещё что-то, я хочу быть готовой ко всем ситуациям, хочу знать как правильно нужно делать и что говорить.
Еще раз извините, что здесь пишу, я не знаю где ещё писать и как правильно гуглить, чтобы ответы на свои вопросы получить.

Показать полностью
223

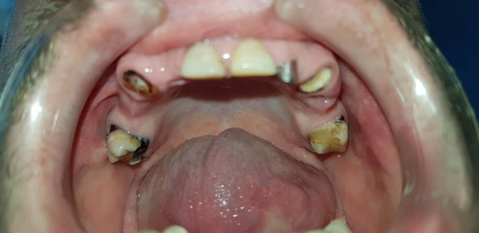
Всем моим подписчикам - что я выбрал и что получилось в итоге

Итак, прошло несколько месяцев с тех пор, как я задавал вопрос про базальные импланты.

Я обошел несколько клиник в городе, отправлял панораму в другой город к знакомым врачам и, собрав все результаты, сделал выбор.

Сразу предупреждаю - ссылок давать не буду, но врача назову; реклама это или нет - не знаю даже, если что - пусть модератор поправит.

Предупреждение номер два - в посте будут фотографии, которые чисто эстетически неприятно выглядят - я считаю, что они нужны для показательности, но кому то они могут испортить аппетит или настроение. Как их замаскировать - не знаю.


Итак - кратко напомню суть: первый врач, классический имплантолог, набросал схему сроком на полтора-два года и стоимостью больше миллиона рублей, при этом предупредил, что пока мою десневую кость не увидит - не решит, будет он мною заниматься или нет, но уже точно понятно, что нужен будет синус-лифтинг.

Вторая клиника, которая занимается именно одноэтапной имплантацией в нашем городе, выкатила счет 796 тысяч рублей за 3,5 месяца работы, при этом в авторитарном порядке мне было сказано, чтобы я не лез в глубины процесса - какие там будут импланты, например - не нужно мне это знать; единственное, что я понял - они сохранят и по максимуму укрепят имеющиеся у меня корни. Прайс-лист не то, что вынести, даже сфотать не дали: политика контры такая - мы вас осматриваем, делаем 3Д-снимок, выбираем процедуры и называем конечную цену. Соглашаетесь или нет - ваше дело, цена не изменится.

Из другого города от знакомого знакомых прислали примерный план лечения, который оказался где-то посередке между планом первого врача и планом клиники - от 560 тысяч и срок от полугода, при этом сослались на то, что это очень примерный план, нужен осмотр и т.д.


Напомню еще, что я искал именно отзывы тех, кто делал себе одноэтапную имплантацию более года назад, и именно такие ролики я нашел на ютуб-канале доктора Георгия Патарайи. Канал он бросил вести году в 2015, но я нашел сайт его клиники и написал письмо с некоторыми вопросами. Мне быстро ответили, что будет лучше, если я пообщаюсь с Георгием в скайпе. Именно с этой самой первой беседы у меня сложилось понимание, что если все получится - я буду лечиться у него. Потом по его просьбе я сделал актуальный панорамный снимок, выслал ему и мы пообщались второй раз - уже в фейсбучном Мессенжере, где он примерно описал, что сделает, и озвучил цену. Для нетерпеливых и вообще - цена верхней челюсти на круг - 6000 долларов (около 400 тысяч рублей у меня вышло). Тогда же он сказал, что с 2015 года он переехал на фейсбук и свои работы выкладывает там. Собственно, фотографии в этом посте будут с его фейсбука.


Итак - панорама до:

Как бы уже понятно, что хорошего мало, но к такому я шел примерно лет 20 своей жизни и как-то привык.

Теперь - как это все дело выглядело в реале:

Вот честно, пока я не увидел именно эти две фотки - я слабо осознавал, какой именно у меня пипец во рту. Каждое утро в зеркале это воспринималось немного не так. Передергивало, конечно, но было привычно. Кстати, все эти фото я увидел уже сильно после лечения и никакого влияния на мое решение лечиться у Георгия они не оказали - не успели )))


А дальше, 3 ноября, за 3 часа времени со мной сделали вот это:

Заметили на последней фотке, какие у меня нижние зубы?


Расскажу маленькую предысторию и вообще про Георгия. Он по образованию челюстно-лицевой хирург, работал в Питере, несколько лет обучался и работал в Париже, с примерно 2003 года практикует одноэтапную имплантацию. Два года назад вернулся в родной город - Батуми - и сделал там клинику. Клиника чисто семейная - я когда понял, что на площадке подъезда одна дверь - это клиника, а вторая - это их квартира,  это все в мансарде четырехэтажного дома и имеет общую террасу, то понял, что мои вопросы в переписке - до скольки они работают и работают ли в выходные - ну, слегка бессмысленны. Например, я прилетел в Батуми в 3 часа дня, в 4 был в гостинице, в 6 за мной зашла Хатуна - супруга Георгия и тоже стоматолог - и показала мне, где клиника и они с зубным техником - Гочей - сразу сняли слепки челюстей, прикинули, какой должен быть прикус, и решили, что сначала надо поправить нижние зубы, чтобы от них уже верхнюю челюсть строить. Собственно, с 30 октября по 2 ноября мне сделали нижние зубы и одели на них коронки. Именно они сейчас на мне и их вы видите на фото. Опять же, замечу, что параллельно они занимались семейной парой из Красноярска, по моему, и парой из Израиля. У красноярцев лечилась жена, у израильтян - муж. В файсбуке Георгия в записях между 30 октября и 6 ноября - мы трое, на фотографиях и видеороликах.


Теперь про операцию - она проходила под местным обезболиванием, была именно операцией - я был в халатике и на лице - салфетка с дыркой напротив рта. Седации никакой не было - Георгий сказал, что он это не практикует. Имхо - его личное дело. Была толпа народу - сам Георгий, Хатуна, Гоча и еще один дядька, который хирург и, видимо, учился у Георгия, и пара медсестричек. Георгий сам удалял зубы и потом вкручивал импланты.

Я устал, обезболивание отходило неравномерно и последний час раны ныли и я уже на волевых держался; Хатуна наложила швы, я сел и понял, что меня трясет. Трясло минут 10 - мне дали таблетку обезболивающего, типа кеторола, отпоили валерьянкой, два раза померили давление - и только через полчаса отпустили в номер. В гостинице я принял свою любимую таблетку - темпалгин, и как только ноющая боль стихла - бухнулся спать. В 5 вечера зашел Георгий - я к тому времени уже проснулся - и отправил меня в рентген-кабинет и в аптеку - за антибиотиками и мазью Романадзе. Ну, то есть, после двух часов сна я уже был вменяем и у меня ничего не болело, только ныло на отходняках. Мазью я смазывал свежесделанную капу - она типа для заживления ран и все такое - и одевал капу на ночь и в свободное от еды время.

Вот снимки через 5 часов после операции:

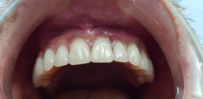
На следующий день мне спреем обезболили верхние десны и Гоча снял финальный слепок челюсти. 5 числа вечером мне одели и за полтора часа подогнали верхнюю челюсть так, что когда я пришел на контрольный осмотр 6 числа - мне ничего подтачивать не пришлось. Гоча - мастер не меньший, чем Георгий и Хатуна.

7 числа мы увиделись в последний раз, проговорили планы на нижнюю челюсть - и 8 числа я улетел домой.

Вот, собственно, и все.


В итоге - в стоимость в 6000 долларов мне вошли работы по благоустройству переднего ряда нижней челюсти, а через год в ту же стоимость кроме новой нижней челюсти войдет работа по перебазированию верхней челюсти.

Георгий сказал, что он неправильно спланировал работы и именно поэтому мне было больно - потому что мог получиться передоз обезболивающего. Но у меня не самый простой случай.

Хатуна сказала, что у меня очень рыхлый дентин под эмалью и пломбами. Может, дело в дефиците витамина Д, или в плохой новосибирской водопроводной воде - я не знаю.


А, забыл самое главное то:

Это я. До начала лечения вообще.


А это - мои новые зубы:

Буду учиться по новой улыбаться, есть и разговаривать - с кем из родственников говорил - отмечают, что с шипящими у меня некоторые проблемы еще есть; но, думаю, с разговорной практикой все наладится.


У Георгия есть два ролика - на одном я делюсь впечатлениями (и там да, нарушения дикции легкие есть), а на втором - делаю то, что не делал лет 10 - стучу зубами, громко.


Вот теперь уже совсем точно все, жду вопросов в комментариях и все такое.

Показать полностью 15

Нужна помощь, совет)

Доброго времени суток)

Пришел к стоматологу с зубной болью(парень 26 лет, к врачам только когда ну уж оч...)

Врач:  так и так зуб "мертвый" болеть не должен, фантомная боль, бла бла бла.....

Ясно...поговорили...

Вскрывают зуб, очищают канал (как мне сказали, я хз что это значит), вставляют "временную-лечебную" пломбу и дают совет формата "больно? - крепись!, это нормально!"

Ок.

Три дня жутко болело, перетерпел.

Еще спустя 3 дня просыпаюсь с опухшим лицом(заморозку вам в щеку!) , бегу в клинику..

Меняют "лечебную" пломбу на новую, (зуб гноится в десну)  Врач дает совет удалить зуб, иначе это будет повторяться каждый раз как простыну(продует, заболею), посылают к хирургу резать десну.....(скопился гной)

Больно, оч больно, ок, переживем)

Прошла неделя, у меня снова восполяется десна....

Что мне делать?

Зуб самый передний, лишних 50-100к на замену у меня нет...

Снова резать десну?.....

Нужен адекватный совет,

Спасибо!

Показать полностью
Отличная работа, все прочитано!