История 46 зуба
В глубоком - преглубоком детстве, когда я жила в селе, куда был сослан Маньшиков, мне приходилось очень часто лечить зубы. И именно там, зародился мой страх стоматологов. Свою первую пломбу увидела ещё в дошкольном возрасте. Когда я поступила в среднюю школу, то там был стоматкабинет. Работал там один дагестанец, да почти что седьмая вода на киселе. Такой большой и страшный. Я на его приемах я нередко орала, а может ещё и всхлипывала. И даже как-то раз, он начал ставить мне укол, а я испугалась так, что я начала ножками стучать по креслу, и оно тряслось так, что этот мужик такой реакции не обрадовался.
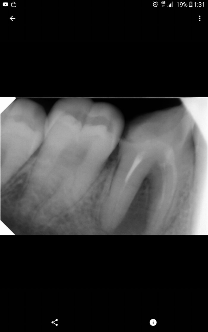
Сейчас мне уже 20 лет. В июне начались боли в области 47, абсолютно здорового зуба. Я пришла в частную клинику. Врач сначала не смог понять из-за чего боли, пока я не попросила его сделать снимок предыдущего. От увиденного он был в шоке... Канал не был закрыт до конца пломбой, и там такое начало развиваться. Врач заложил лекарство, поставил временную пломбу, зуб красиво прорезался, боли прекратились. А сверху есть зуб, который нессимертично разломался, а там остался острый край, которым я и разбила временную пломбу. Боли начались такие сильные, да ещё и канал оказался голым. Десна отекла, так что лицо потеряло симметрию. Есть неудобно, ибупрофен не помогает. Я побежала в госбольницу с острой болью. Зубной врач сказал, что неизвестно выживет зуб в этой схватке или не выживет.
Я этой малоприятной историей удивила всерьёз лежащего врача, и он, сделав новый снимок, вынес Вердикт - зуб под снос.
Чтож, удалять, так удалять и ставить имплант.
Мне в тот же вечер звонит мой репетитор по вокалу, и я выкладываю ей всю эту историю с зубом. Она порекомендовала мне обратиться в страховую компанию, потому что это в госбольнице этот зуб мне так пролечили.
И тут началось самое интересное. Потому что до 14 лет я жила селе, а с 14 до 19 в Нягани. Я подала на экспертизу в нягань, где просто не было манипуляций с зубом. А мои частники не могут делать пока никаких манипуляций со мной, пока длится экспертиза.
Сижу и думаю, писать дальше или не писать. С одной стороны, в селе врачом сложнее работать, чем в городе, да ещё и делал кандидат на звание в отчимы, да и стоматолога там только двое, а с другой стороны, это проблемы больницы, а не мои. К тому же 46 зуб у меня один единственный, а у них пациентов океан.
А ещё, чтобы компенсацию получить нужно ещё и иск оформлять, в суде отвечать на вопросы, что создать дополнительную нервотрепку перед нг.
А что думаете, пикабушники??
P. S. Следующее фото это фото после, а фото ниже, это то, с чем я пришла к стоматологу.





