И снова о зубах (остатки незамеченной информации)
Сначала написала под предыдущем постом где и как я лечила зубы, но судя по комментариям инфа осталась незамеченной. Никаких больше постов кроме данного касательно этой темы добавлять смысла нет, но так как у меня появилось еще больше подписчиков, просто необходимо продублировать информацию из моего комментария и дополнить по мере появления вопросов. Так как просили непосредственно адрес и все данные, рекламой уже не назвать, но минусы меня не волнуют, лишь бы те кто в этой информации нуждался таки получили ее.
Коротко о том каким боком я чуть не лишилась передних зубов: мне во время не выявили основную проблему. Это если совсем коротко. Ну а так- оказывается я не только 2 года проходила с малюсенькой опухолью в щитовидке, но из-за некоторых своих предпочтений нарушила и без того полетевший по п*де обмен веществ. Что в бесплатной что в платных больницах никто не удосужился провести чуть больше диагностики, чем тупо взять анализ крови по стандартному списку и послушать мои жалобы. Идиотка, да, не настояла на конкретных анализах, хотя даже интернет мне тогда не помог в слишком разрозненных симптомах. По поводу обмена веществ- предпочтение мое это нелюбовь к солнцу, коего в моих краях итак мало. Как мне сказали на этой почве нехватка витамина Д, оттуда херовое усвоение кальция. Кальций-зубы, тут все ясно. Сейчас согласно данным инструкциям все восполняю. Что произошло узнала когда опухоль уже "сгорела" (точно почему выявить невозможно, но доктор сказала возможно из-за моей неоднократной смены противозалетных от сильно-гормональных до слабых и обратно). А то что опухоль имела место быть выявило потом узи. Теперь о клинике.
Клиника находится в Минске на Захарова 52. От вокзала добираться не сложно, в минуте ходьбы гостиница "40 лет победы", одна ночь в 2х местном номере 40белр (1200рус что ли). Не самый дешевый вариант конечно, но если необходимо остановиться на несколько дней, самое то. Одноместных как я поняла там в помине нет (или зажопили), но мне на тот момент сказали, что дешевле номеров нет. Как добираться из Минска прямо до клиники или Москвы могу подсказать.
На покушать мне сказали есть довольно дешевая, но очень вкусная столовая (сама не ходила), в здании водоканала, там так же минут 5 идти. Ближайшее приличное кафе уже подальше, аж 10 минут. Цены от наших недалеко ушли, но кухня и сервис отменные. Кто не страдает топографическим кретинизмом, найдет в округе (а это на секундочку центр) любую интересующую кухню- от макдака до бара "Вальхалла". Все таки Минск.
Вот эту тарелку я смогла осилить за час на половину, в чашечке красная икра. На все про все с 3 стаканами морса и кваса 850 рус рублей. Это того стоило.
Мне делали в одном кабинете большую часть, собственно оттуда уже направляли к другим. Очередь по записи там как я поняла адовая, да и берутся ли за граждан РФ через кассу хз вообще (да да, не так все просто). Поэтому в идеале направить кого нить знакомого из Минска предварительно уточнить что да как, ну и договориться когда приходить/прилетать. Я думаю проблем не возникнет сразу подойти к помощникам терапевтов и не шепотом но и не ором поинтересоваться, как это все оформить.
Выплаты на месте по факту готовой работы, считают по прайсу, но только что "касса" в тетрадке на столе того же кабинета. По расценкам для общего представления (*30 для перевода на рус рубли): в один день наделали на 130бр, в другой все 170, остальные по мелочи сколько успевали, 6 керамических вставок вышли 150*6=900. Мне по России (не только в округе, но и в столичных клиниках) за эти же 30к рублей предлагали от силы 2-3 вставки, тут как бы небо и земля. Не, может где-то я и нашла бы дешевле, но за такие сроки я сомневаюсь. По итогу вместе с билетами туда-обратно за 4т км от Минска, проживанием-питанием: около 1100$. Из всех прочих клиник, самый минимум предлагали (и то "ну мы на месте посмотрим") 1700 без жилья-дороги. Может где и есть дешевле, но я не видела смысла дальше искать. Ладно бы 3-4 вставки, парочка на лечение, так и ехать бы смысла не было.
Кто не в курсе как проходит установка керамики на убитые зубы (касательно этой клиники именно, хз что в других), говорю сразу: даже при самых минимальных сроках потребуется минимум 1 неделя. В нее будет входить подготовка 1-3 зубов, взятие слепка, и вот собственно неделя на то пока по нему сделают керамические вставки, раньше там фиг кто сделает, текучка лютая, а с зубными техниками видимо не договариваются. Ну или так положено. В течении недели ожидания, вам спокойно могут долечить остальное, от получаса до 3 ежедневно, там уже зависит сколько людей на записи у врача. В эту неделю я ходила с металлическим забором вместо зубов. Пытаясь поесть нет, не застревает (нет между чем застревать), просто рвала еду. Ощущения так себе, но быстро забила. Ограничений не было кстати кроме банальных "первые Дцать часов не есть-полоскать-чистить", а потом неделю питайся как хочешь. Дабы не смущать людей при покупке билетов-еды, выпросила мед-маску у помощницы, посмеялась, но выдала две :) А во второй визит решила поиздеваться и предложила шапочку для комплекта. Сказала, что в третий раз даст еще бахилы и халат. Веселый в общем персонал)))
Сама клиника обозначена как Захарова 52/2, но это не столь важно. Для моих подписчиков- вы свободны товарищи) Просто об этом писать уже больше нечего, на вопросы я тут же и буду отвечать, а там черт знает какие посты я начну делать.
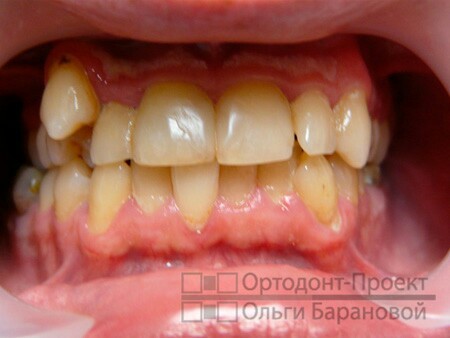
Ах да, кто интересовался фотографиями: их нет :( Ну в смысле фото "до" я не делала никогда (для меня это была не самая приятная тема), когда началось лечение мне вообще было не до того и я откровенно забыла, что есть люди интересующиеся этим. "После" делать тоже смысла нет- не самый светлый цвет, но вполне здоровый, зубы как родные, смотреть в общем не интересно, если не с чем сравнить. Было фото "забора" разве что, но туда жесть нужна явно, да и найти не могу чего-то. Еще есть снимок до установки штифтов, в середине лечения и переделки работы криворуких мудаков что занимались мной раньше. Качество какое есть, пардоньте :( Комментарии от врачей о состоянии моих зубов были в прошлом посте. Оказалось не так все дерьмово как выглядит.
В общем не болейте котятки, ищите лучше деньгу на полноценное лечение, чем потом сидеть столько часов с не самыми приятными ощущениями. Надеюсь смогла помочь хоть кому нибудь- кармодрочество для реальных людей приятнее виртуальных плюсов будет :3


















