И снова рубрика Голливудская улыбка!
Сегодняшний пост будет посвящен коронкам. Тема обширная, поэтому объяснять буду максимально доступно и коротко, за разъяснениями обращайтесь в комментарии, ну и постараюсь разбавлять всё ненавязчивым юмором. Колобок повесился, Буратино утопился.
Коронки бывают в первую очередь естественные (свои, бесплатные) и искусственные (которые делают в стоматологии за деньги). Во вторую очередь искусственные коронки бывают множества сортов и расцветок, о них мы и поговорим.
Металлические коронки: штампованные из нержавейки или золота, литые из неблагородных или золотого сплавов. Пластмассовые: они и в Африке пластмассовые. Металлические с декоративной облицовкой: пресловутые металлокерамика, металлокомпозит, металлопластмасса; кстати, основание тоже может быть благородным и не очень. И лига безметалловых коронок: из прессованой керамики с облицовкой или цельнопрессованные, на основе диоксида циркония, так же цельные или с облицовкой и коронки из керамики послойного нанесения.
Теперь по два слова про каждый вид.
Штампованные - просто нет. Серьезно. Не надо. Не делайте этого. Точность самая низкая, функциональность, как у китайского швейцарского ножа, эстетика отсутствует даже в зародыше. Именно "благодаря" им многие думают, что зуб под коронкой обязательно со временем разрушится. Штампованные из золота - немного лучше, но все еще нет. Зубы сохраняются под ними достаточно хорошо, в остальном Вам завидовать будут только цыгане:)
Пластмассовые коронки - точные, изготавливаются быстро, стоят недорого, эстетика какая-никакая есть, отличный вариант. Но временный. Любая пластмасса пористая, поэтому со временем от неё начинает воспаляться десна, идти запах изо рта, а цвет становится темнее и темнее. К тому же не отличаются прочностью. Иногда их приходится ставить, как постоянную конструкцию, но это уже в крайнем случае.
Цельнолитые коронки - уже обладают высокой точностью изготовления, восстанавливают полноценное жевание, артикуляцию и прикус, очень надежны и долговечны. Из золота - вообще супер. Вот только их тонкая эстетика придется по вкусу разве что гэнста-реперам с ист кост.
Если же вы предпочитаете классическую музыку, вроде Рахманинова или Mayhem, то добро пожаловать в мир эстетических конструкций!
Металлопластмасса, металлокомпозит - немецкое кино про любовь категории 18+. Сохраняют все минусы пластмассы, кроме прочности, увеличенной за счет металлического каркаса. Только пластмасса к металлу не клеится, поэтому облицовка очень часто скалывается.
Типичный металлокомпозит "Солидекс", положен бесплатно ветеранам труда. На заднем плане цельнолитые коронки. Внизу зубы свои, кроме одного.
Металлокерамика - проверенный годами вариант. Хорошая эстетика, прочность, точность, долговечность. Рассчитаны в среднем лет на 10 использования. Каркас может быть никель-хромовым (плохо), кобальт-хромовым (хорошо), серебро-палладиевым и на основе золота (отлично). От неблагородных металлов может поменять цвет десна, на благородных протяженный мост не сделаешь.
Металлокерамика на кобальто-хромовом сплаве. Если присмотреться, немного просвечивает каркас. Внизу зубы свои:)
И делаем шаг в 21 век - безметалловые конструкции.
Прессованная керамика - выигрывает у металлокерамики в красоте и долговечности. проигрывает в прочности - длинный мост опять же не сделаешь.
Диоксид циркония - идеален по прочности и точности. Многие этапы делает компьютерная программа, в т.ч. непосредственное изготовление каркаса, либо зуба в случае цельноциркониевой коронки. Эстетика лучше, чем у металлокерамики, но в первую очередь за счет десны, поскольку любые безметалловые коронки не обязательно под неё заводить. Материал полностью инертен, как японский хикикомори, так что из него делают даже импланты.
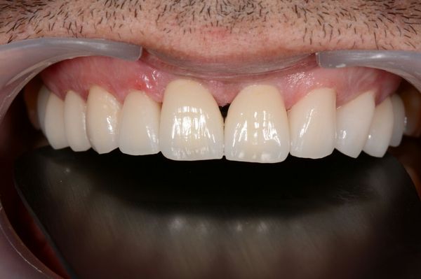
Диоксид циркония в человеке:)
Это уже другая работа, цвет более насыщенный, крайняя правая коронка - металлокерамика, остальной - ДЦ. Разница видна на уступе (переход коронки в зуб в области десны), в остальном цвет подбирается очень близко.
Отдельно скажу про срок службы безметалловых коронок - его нет. Если зубы подготовлены к протезированию правильно и соблюден протокол фиксации, то эти коронки становятся полноценной частью вашего организма, только более прочной и надежной.
Гайд по ценам смысл делать не вижу, поскольку всё очень сильно меняется в зависимости от местности, оборудования и просто уровня клиники. Да и стоимость одной коронки ни о чем не скажет, а Вас же интересует общая стоимость протезирования вместе с подготовкой:)
P.S. Вопросы и заказы на новые статьи принимаю в комментариях;)








