Стоматология по ОМС или почему нельзя запускать зубы...
Всем доброго вечера! Плюсы не нужны, просто надеюсь, что каждый кто прочтет, задумается. Жил я значит, не тужил, до 31 года дожил, полис ОМС имел, но не использовал. С зубами проблемы имею, врачей не боюсь, но как говориться, в больницу пойду только когда совсем жопа, а так как совсем жопы не было, то и сидел на ней ровно. Заболел полтора месяца назад один из верхних зубов, следующий после двух центральных, ну обезбол, все дела, лицо подопухло, но за пару дней прошло, да и пофиг, схожу когда-нибудь к стоматологу, когда денег накоплю... Проходит полтора месяца, аккурат перед выходными начинает опухать лицо. Пофиг, проходили же. Суббота - опухоль сильнее. Воскресенье - решаю, что в понедельник съезжу на работу (благо свободный график относительно), а потом в клинику таки по ОМС. Просыпаюсь в понедельник:
Температура 38, рожа как у пропитого алкаша, страшно, не узнал себя в зеркале... Далее поиск полиса, который я благополучно потерял, звонки в страховую (на госуслугах номер полиса был) с вопросом: "Чё делать то????". Пошел в ближайшую городскую стоматологию (СПб если что). И началась эпопея и экзекуции...
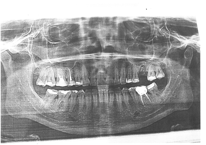
29 ноября: очередь из таких же как я в дежурный кабинет, рассказ мой о проблеме, потом рентген, потом в хирургию на обезбол (заплатил за более сильное обезболивающее, хотя мне сказали, что в моем случае я разницы не почувствую), потом сверление (не больно) и самый ад - последний кабинет, где резали десну... Да, я орал... По ощущениям - как будто без обезбола резали... Киста короче... После манипуляций отправили опять в дежурный кабинет, где сказали ехать на следующий день в клинику, где приписан... Ну ок... А полис то потерян... К вечеру выглядел значительно лучше, опухоль спадала.
30 ноября: час в очереди в страховой за получением нового полиса ОМС, затем в ту клинику, где приписан... Отправляют в хирургию, жду очереди, сажают опять в место пыток, опять рассказываю, что случилось, смотрят, херачат инструментами в рану на десне без обезбола. Уже не ору, не настолько больно, чистят, прописывают антибиотики, отпускают, но говорят приехать на следующий день.
1 декабря: осматривают, обеззараживают, отправляют в дежурный кабинет, где мне говорят: "А какого черта тебя не к нам сначала направили, а сразу в хирургию?". Опять осмотр, рассказ с самого начала о том, что случилось, заполнение карточки, рентген, записали на 7 декабря для установки пломбы.
5 декабря: звонок из поликлиники: "Вы записаны на 7 декабря, но врач заболел, можем записать к другому". Мне то как бы без разницы, записали к другому и блин, в этот вечер (как раз сутки прошли после окончания приема антибиотиков, рожа опять опухать начала...).
6 декабря: к вечеру опухоль сошла сама по себе.
7 декабря: по номерку иду в назначенный кабинет, жду, совершенно не понимая, что ждёт меня:
Дождался, в очередной раз рассказал всю свою историю этой эпопеи, сказали, что заложат лекарство и временную пломбу пока что, 40 минут в кресле пролежал с открытым ртом, благо не больно совсем... Теперь 29 декабря на постоянную пломбу идти...
Собственно к чему всю эту простыню я написал? Я был невероятно удивлен тому, что такие вещи вполне лечатся по ОМС, вам не хамят, не грубят, все вежливые, понимающие, но такие походы требуют времени и терпения. Я, сам того не понимая, довел ситуацию до реальной жести, хотя казалось, что ничего страшного. Надеюсь, что моя ситуация сподвигнет кого-то опомниться, не бояться и не допускать моих ошибок. Врачам в городских поликлиниках огромнейшая благодарность! Спасибо за внимание, будьте здоровы!





