Помогите спасти зуб
Всех приветствую! Прошу лигу стоматологов о помощи в решении сложной ситуации с зубом.
Дальше будет большое описании истории лечения как довели до такого состояния, что говорят стоматологи и, собственно, что с этим делать.
Первое лечение проводилось в мае 2024 как глубокий кариес, ходила с лекарством и временной пломбой, проблем не было, поставили постоянную пломбу
Примерно через неделю зуб стал ныть, реагировать на холодное/горячее, снова обратилась к к тому же врачу.
Он решил удалить нервы, поставив диагноз пульпит.
В процессе лечения пошла кровь, очень долго не могли остановить, врач долго копался и сказал, что не может найти 4й канал, якобы их всего 3, делал очень много прицельных снимков (не 3д), в итоге кровь остановили и поставили пломбу.
Насколько дней после этого из носа вытекала желтая жидкость, врач сказал что даже не знает, что это вообще, нужно обращаться к лору и сделать 3д снимок зуба.
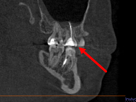
3Д снимок сделали в другой клинике т.к. в клинике, где проводилось лечение, не было аппарата. По результатам снимка сказали, что воспаления нет.
Также принесли снимок стоматологу который лечил зуб, но он не посмотрел из-за отсутствия оборудования.
Через какое то время зуб стал поднывать, реагировать на холодное/горячее, беспокоить, но время от времени успокаивался.
После использования ирригатора из десны над этим зубом шла кровь. Так прошел год после лечения, зуб периодически беспокоил.
Спустя год после лечения, решила заняться повторным лечением зуба. Далее мнения врачей и варианты лечения разделились. Заранее скажу, что старалась выбирать исключительно хорошие клиники и опытных врачей.
Клиника 1.
Был сделан снимок 3д всей челюсти, в клинике которой был сделан снимок, врач хирург посмотрела, и сказала что там периодонтит, что зуб вряд ли спасти и единственный выход удалить.
Клиника 2.
Врач второй клинике увидела на снимке 4 канала, и сказала, что первым врачом, лечившим зуб, были вылечены только 2. Также что вверху зуба инородное тело, его необходимо вытаскивать, лечение будет проходить в 2 приема. Нужно ходить с лекарством в зубе месяц и пытаться извлечь лишний материал от первого лечения через зуб, а в случае если не получится его оттуда вынуть через зуб, то пропихнуть его в пазуху и оно должно само через пазуху. Корни зуба находятся в этой пазухе.
Клиника 3.
Обратились еще в одну клинику, там врач сказал, что материал заложен неправильно, с пробелами, и выходит за пределы корня зуба. Зубных каналов пролечено 2, причем 3 она видит, а 4й нет. Также есть 2 варианта лечения: попробовать достать этот материал через зуб и проходить с лекарством 2 недели-месяц.
Либо если не получится достать материал на первом приеме, выход только пломбировать полностью зуб как есть и оставлять этот материал, и уже прорезать десну снаружи и доставать через десну.
Также уточнила, есть ли вариант выгнать его через пазуху (как сказал врач в клинике 2), но мне ответили, что если попытаться так сделать, то материал может застрять в пазухе и загноиться там, что приведет к осложнениям.
По итогу все врачи ставят диагноз периодонтит, отмечают воспаление десны в месте неправильного лечения, и не дают гарантию на спасения зуба, и есть вероятность, что его все же придется удалять. Но тем не менее, врачи советуют пробовать спасти зуб лечением и не удалять сразу.
В данный момент я не знаю какое лечение будет наиболее правильным, т.к. они все вызывают сомнение. В клинике 2 вариант извлечения материала путем проталкивания его в пазуху звучит не слишком хорошо, как и в клинике 3 пломбировать зуб как есть и доставать материал через десну. Тем более что такое лечение стоит порядка 50-60 тыс. руб. без гарантии того, что его не придется потом удалять и ставить имплант.
Прошу совета у лиги стоматологов, что можно сделать в такой ситуации. Также если кто-то знает стоматологов в Челябинской или Свердловской области, которые занимаются сложными случаями и вероятно смогут помочь в данной ситуации, пожалуйста посоветуйте.
Ниже прикреплю скриншоты 3Д снимка с проблемным зубом, если кому-то потребуется полностью 3Д снимок напишите почту или другие контакты, я пришлю полную версию снимка.
Пост без рейтинга, всем заранее спасибо за помощь и уделенное время.


