Серия «Истории подопечных »

46

Минус один и плюс два

И да, снова о котах. Рыбов не продаем, просто показываем.

В нашем полку убыло, домой уехала Нота, сидевшая почти как год. Уехала в отличную семью, пусть и со второй попытки.

Не успели проводить - уже прибыло. Знакомьтесь, Чеддер и Моль.

Наглая шпротомраморная морда.

Наглая шпротомраморная морда.

Чеддер орал на козырьке подъезда. Откуда он там взялся неясно, сверху свалиться не мог. Снимать пришлось с бубнами и танцами. Явно не домашний, весь во внешних, внутренних и мимопробегавших пассажирах, репьях и много ещё в чем, вода при купании стекала цвета колы.

Имя получил за мраморный окрас и непередаваемые ароматы. По характеру - сложный подросток. В первый день забился в коробку, там же сходил под себя. Сейчас строит белого матриарха и раздает люлей всему что движется. С человеком - булочка. Вырастет роскошным.

А Моль это вот:

На самом деле она Молли, домашняя, затисканная-залюбленная пятью детьми, у кого-то из которых началась аллергия. Конечно - на «кошачью шерсть» (именно что на шерсть, угум.). В общем и целом Моли пришлось беспрекословно съезжать с прошлых апартаментов и временно переселяться к нам. Пассажиров чуть поменьше, но присутствуют.

Кошка потешная. Глаза косенькие, ими она забавно пытается фокусироваться при игре и прыжках, ищет общую точку. Из-за этого же, возможно, несколько неуклюжая. А может и из-за того, что раньше летала из окна.

В любом случае, Моль пока отходит от шоков, учится взаимодействовать с другими кошачьими (хотя бы через дверь) и готовится к плановому осмотру.

Когда-нибудь разгребемся.

Показать полностью 2
102

Истории подопечных: Бусинка

Или причина почему кошка на улице в городе - это не "нормально" и не "всегда так гуляли".

Спойлер: медицинские процедуры, рентгены и вот это вот всякое не про милоту.

Бусинка попала к нам на акциях.
Люди нашли котенка в одном из спальных районов на севере города, приехали с ней на юг, зашли в магазин, разговорились.. А тут тети в жилетках, которые почему-то говорят срочно тащить к ветеринару едва хромающую кошку которая вроде как ест пьет и все хорошо.

В целом, для любого животного с улицы прием ветеринара или самостоятельный тщательный осмотр - обязательная опция.
Даже если визуально кошка еще не умирает.
Если опыта для проведения чекапа не хватает - обязательно либо в веткабинет либо к знающему человеку.
Когда котенок ложится тряпочкой, делать что-то обычно уже поздно.

Дальше будут фото с вотерками, не рекламы ради а по причине любви отдельных личностей к комуниздингу с неблагочестивыми целями

По итогу осмотра оказалось, что если бы Бусина провела без помощи лишние пару дней, вполне вероятно сейчас она бы не мурчала у хозяйки на коленях.

Первый рентген

Первый рентген

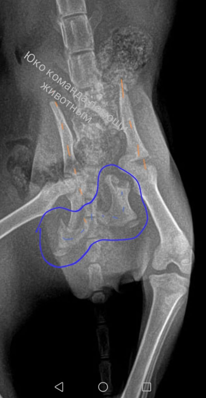
К сожалению, на рентгене не пузико, а грыжа.
Осколок тазовой кости пробил брюшную полость, потому прямой кишечник выпал под кожу, пережался, движение масс после пережатого места остановилось.
А это интоксикация и потенциальный некроз, возможный перитонит и в целом малооптимистичная картина.

А отсюда осколки

А отсюда осколки

У Бусины оказалась отломана и смещена вся нижняя часть таза.
К сожалению, такие травмы у котят неоперабельны.
Котенку три месяца, она растет, кости тоже растут. Жесткую конструкцию нельзя, перелом уже несвежий..
"Срастется как срастется" констатировала врач и забрала мелкую на операцию по ушиванию грыжи.

К слову, травма эта не высотная. То есть кошка не упала из окна. Ее вполне вероятно либо сбили либо переехали на чем-то либо причинили увечье целенаправленно. В таком состоянии она ползала около недели.

"Да что с ними случится?" Случается вот и такое.

На следующий день после операции

На следующий день после операции

Мелкая оказалась бойцом. Хорошо ела, материла на шипяще-кошачьем диалекте всех врачей, и после четырех дней стационара отправилась долечиваться во временном доме.

И ненавидела всем сердцем за процедуры.

И ненавидела всем сердцем за процедуры.

Никаких гарантий по тазу и ЖКТ нам не давали. Нижняя часть тела у котов в целом очень чувствительное место (вспомнить только несколько жестокую поговорку про то, что кошек нельзя дергать за хвост иначе "ходить будут где попало").

Самым сложным был гигиенический вопрос. Дергать ее переломанную лишний раз было нельзя, а подмывать так или иначе - необходимо.
По-маленькому первые две недели кошка ходила под себя. По большому - первые полтора месяца.
Тем не менее, почти с самого начала Буся старательно пыталась заползать в лоток, пусть в силу травмы это не всегда получалось.

Как только Бусина относительно стабилизировалась, она поехала в дом к коллеге-волонтеру, уже уверенно стоя на всех четырех лапах и более чем уверенно пользуясь лотком.

А позже ее забрали люди. Те самые, которые ее нашли, и которые поддерживали на всем пути.
Не каждый сможет потянуть уход за относительно тяжелым животным, особенно когда уход этот нужен несколько раз в день, но возможно без их участия у этой истории никогда бы не было хорошего конца. Да и самой истории не было бы.

У Бусины до сих пор все хорошо.
Сейчас этот мелкий диковатый чертенок живет там, где ее любят, и очень надеюсь, что так будет и впредь.

Показать полностью 7 1
159

Истории подопечных: Фасоль

Которая, кстати, продолжает искать дом.

Фасоль была и остается одной из тридцати хвостатых, вынесенных в лес сумасшедшей теткой.
(подробнее писала тут)
На момент нахождения ей было всего несколько дней от роду.
Весь день и половину ночи Фасоль пролежала на холодной земле, что для маленьких котят практически равносильно билету в кошачий рай.

Такой вот комок весом чуть больше 80 грамм

Такой вот комок весом чуть больше 80 грамм

С ней было действительно сложно, особенно потому что таких малявок раньше никогда не выхаживала (и надеюсь никогда больше не придется)
Мамашка котят самостоятельно не кормила, не вылизывала и не стимулировала. Ребятня вскармливалась полуискусственно.

Мелкие были целиком в лишае, с кишечной заразой и почти полным комплектом респираторных инфекций, которые вопреки всем стараниям оказались практически невосприимчивы к допустимым для использования у котят препаратам.

*светящиеся пятна на лапках и мордах - как раз лишай.
От лишая обрабатывать тоже было никак нельзя. Внутренние препараты не самая легкая штука, наружные - горькие или вонючие (соответственно кошка перестала бы их воспринимать совсем), купать в противогрибковым - равно переохладить еще больше.

В какой-то момент Фасоль практически перестала набирать вес.

Ее фото с того времени почти не осталось потому что в целом ветеринары не давали никаких гарантий выживаемости.

Тем не менее, мелкая оказалась бойцом. В месяц уже рыча отбирала у взрослых индейку, в два месяца скакала как сайгак и с разбега каталась по плитке.

Глаз спасли, почти без побочных проявлений (осталась маленькая спайка между радужкой и роговицей, которая кошше никак не мешает).
Лишай - пролечили когда Фасоль подросла. Не светится :)

А вырасти она вот не выросла.

ОПГ шпротобесов

Сейчас она весит приблизительно полтора кило и является эдаким "вечным котенком", благо после всего пережитого звездеца - без критичных отклонений по здоровью. Гоняет котов, спит с собакой, мурчит, крякает и ведет себя так, как должна вести компанейская домашняя кош.

Надеюсь, что когда-нибудь это чудище найдет своего хорошего человека.
Пока мы еще не влюбились в нее окончательно х)

UPD:

Москва

Показать полностью 7 2
12

Истории подопечных: Айва

Айва - это самое неконтактно-говнистое животное из всего табора. Нет, она совсем не дикая, просто ненавидит людей.

Ее история началась в зоомагазине, где мы стояли волонтерами на благотворительной акции по сбору кормов для приютов и бездомных животных.
Уже под самое закрытие, когда все собирались домой, в магазин зашла толпа абсолютно растерянных иностранных студентов, которые зацепились глазами за яркие зеленые жилетки и пошли к нам.

-Мы купить кошка десять тысяч - на ломанном русском констатировала девушка
-Что Вы хотите найти для нее? - спросила коллега уже думая отправить их к консультантам
-Нет, кошка... нельзя, - обозначила девушка, доставая из-под кофты наладошечный комок

После тяжелого англо-русского диалога выяснилось, что ребята купили котенка около ТЦ, у какой-то премилейшей бабушки, "фром зе шелтер", так сказать. Приехали в общагу, а там им покрутили пальцем у виска (с животными-то в общежитие нельзя).
Когда они вернулись к ТЦ, "милейшей бабушки" резонно уже и след простыл.

300 грамм непонимания

300 грамм непонимания

В волонтерской и не очень среде таких людей называют "коробочниками". И дай бог у них хватает разумности хотя бы обменяться номерами с новым хозяином, если что-то вдруг пойдет не так.
А тут не хватило. Продала и любись оно все лошадкой.

Котенка ребята отдали просто так, вместе с приобретенной переноской и парой пакетов корма, обменялись телефонами (они правда так и не позвонили).
Бонусом шли ожидаемые глисты, респираторка и блохи, но благо без критичного.

Айва оказалась животным исключительной антисоциальности, шипела на все что движется (остальное двигала и шипела). Не знаю, в каких условиях она жила до этого, но очевидно человеческих рук не видела вообще. Обработка её глаз была похожа на борьбу с разъяренным медведем, только очень маленьким.

Дома на тот момент проживала собака с неизвестной реакцией на кошек, потому мелочь была размещена в клетке.
Которую научилась открывать...

Место занято

Место занято

В целом, спасибо что никто никого не сожрал, с собакой они вполне подружились. Айве уступали лежанку и миску корма.

В возрасте примерно четырех месяцев Айва уехала к знакомым.
И начала бросаться на ребенка, потому, что "еёное царское величество трогать не положено".
Вернулась.

Казалось бы, вообще не беда, породистую оторвут с руками, но все руки отсыхали на моменте "эту кошку Вы никогда не сможете погладить, даже ногой"

Так и осталась.
Собак обожает до сих пор, но человеки - злейшие враги, которым можно простить только доставку корма и уборку лотка.

Показать полностью 6
76

Истории подопечных: Бейгл Брецель и Бриошь

С ними все довольно банально: поселок на границе Новой Москвы, детская площадка и "заботливо" оставленная коробка с котятами на ней.

От рождения им было около месяца

От рождения им было около месяца

По-хорошему котята в их возрасте должны есть мамку, но видимо докормить лишние две недели было жалко, как и стерилизовать кошку. А выкинуть вот не жалко.

Бейгл

Бейгл

Изначально в истории их спасения собиралась участвовать только "материально": одолжить клетку, передать корм с акций, помочь информационно, но.. через неделю в ночи получила звонок
"Мы не можем войти в дом, там кто-то есть"
"Так вызывайте полицию", - ответила я
"Вы не поняли, это не наш дом..."
Как оказалось, котят решили не нести в тепло а просто оставить в заброшенном строении на окраине поселка. Одних, в клетке.
Ну а почему бы и да, правильно?
В строении этом волей случая решил переночевать какой-то мужчина, благо клетку с котятами не тронул. Или просто не заметил...

Как до этого можно было додуматься - не знаю. Маленьким нужно есть каждые четыре часа, им обязательно нужно обеспечить тепло, в идеале - грелку или термоковрик, а тут "поселить" в заброшке и кормить раз в сутки.. Ну хоть занялись...

Транзитом мелкие приехали к нам. 170 грамм Бейгла, 195 Брецеля и 160 - Бриоши, что близко к весу новорожденных.

Бейгл

Бейгл

Брецель

Брецель

Бриошь

Бриошь

Следующие два месяца каждое утро заходила к ним в комнату с мыслью "лишь бы живые", так как ЖКТ у мелких был сорван напрочь, при этом ни температуры ни какой-то бактериально-вирусной картины, ни паразитов не было.
Корм просто не усваивался, даже консервы для котят выходили частично непереваренными.
Смесь же есть отказывались.

Питались они по итогу детскими мясными баночками, на которые уходило какое-то неимоверное количество финансов.
Но черт с ними с финансами, спасибо что выжили.

Через месяц, уже после ввода неперемолотой натуралки, двое смогли перейти на корм.

Брецель и Бейгл.

Брецель и Бейгл.

Бриошь нашла дом быстро, даже почти не осталось ее котячьих фотографий.
Бейгла было решено оставить до стабилизации состояния (оказался самым слабым), а беломордый Брецель отправился в свой первый дом.
Мужчина брал его в сюрприз жене, но сюрприз условный, заранее оговоренный. Она хотела котенка, он котенка привез.
На следующий день Брецеля вернули, так как по рассказу мужчины супруга констатировала "Страшненький и неказистый". Ну, штош, видимо не уродился.

"Страшненький и неказистый"

"Страшненький и неказистый"

Через пару недель Брецель нашел второй дом. Приличная обеспеченная семья, двое детей-пацанов, всё закупили, приняли с распростертыми.
Его шпротного брата, Бейгла, мы решили оставить насовсем.

И казалось бы все у них было хорошо, и слава тебе господи, но через полгода Брецель вернулся опять.
Аллергия. Не весенний поллиноз, а вот именно на кота. И педиаторы и аллергологи в один голос говорят животное убрать, и вот прямо никак. Полгода вот все было нормально, а полетела береза и виноват кот..

Оговорюсь, я довольно спокойно, пусть и с некоторым сожалением отношусь к возвратам, никогда не устраиваю скандалов и нотаций. Спасибо, что не бабушке в деревню, спасибо что не на улицу и не первому встречному, но с котятами этот вопрос вызывает и некоторое негодование. Особенно когда вопрос аллергии обсуждался "на берегу".
Пока они маленькие, дом им можно найти всегда.
Многие хотят именно котенка, и с каждым лишним днем и лишним граммом веса шансы стать "домашними" у них постепенно уходят. А когда животное возвращается уже через полгода-год - достигают околонулевой отметки.

Так произошло и с Брецелем.
Спустя все попытки пристроить его, даже пару выставок животных (на которые просто так не попадешь) оказалось, что стандартный окрас "кот Борис" не очень пригляден.
Потому он без откликов просидел еще около полугода и объявление о нем было в конце концов снято.

На выставке

На выставке

Сейчас Бейгл и Брецель - два счастливых шестикилограммовых оболтуса, и наверное самые ласковые в мире коты. Единственные на моей памяти просятся на ручки, а Брецель прямо запрыгивает, с пола. Иногда, к сожалению, не предупреждая.
Оба успели побывать донорами крови и, надеюсь, спасти маленькую кошачью жизнь.

Тыгыдыкают друг с другом, спят вместе и, скорее всего, никуда уже не денутся, только если для них обоих не найдется действительно хорошего хозяина.

Показать полностью 10
22

Истории подопечных: Куркума

В волонтерстве часто слышу вопрос: "да где вы их вообще находите", и к сожалению или к счастью - не всегда просто "на улице".

Куркума - это собака, которая с переменным успехом жила у меня в течение прошлого года и, скорее всего, останется на всю жизнь. Не потому, что с ней что-то не так а потому, что некоторые люди - безответственные идиоты, но обо всем по порядку.

В ноябре позапрошлого года в соседнем частном секторе сгорел дом. Сгорел как спичка, ночью соседи не сразу увидели пожар, а к приезду пожарных остался только остов и догорающие угли упавшей крыши.

Фото из поселкового чата

Фото из поселкового чата

Хозяином дома был мужчина глубоко одинокий и возможно по этой причине выпивавший.
В пожаре он погиб, в своей собственной кровати, которая стояла возле взорвавшегося котла.

На участке оставался его пёс, Белка, метис якутской лайки (крайне недоверчивый товарищ) и несколько полудиких кошачьих душ. Неравнодушная соседка попросила помощи с кормлением оставшихся без хозяина животных, но когда я утром принесла к участку корм, там ждал.. сюрприз..

Собственно сюрприз

Собственно сюрприз

Помимо Белки на участке оказалось семь дрожащих от холода абсолютно ручных клопят, которые имели к нему определенное но несколько неясное отношение: мамки рядом не было.
Пропахшие гарью, голодные и перепуганные. Четыре суки и три кобеля.

Куркума, кстати, вот.

Куркума, кстати, вот.

Обычно животных, которые находятся в относительной безопасности, мы пристраиваем с улицы предварительно обработав, привив и сдав анализы, но в этом случае оставлять их было негде: теплого укрытия нет, мать невесть где (как оказалось позже, сбежала на соседский участок), а на улице ночами стояли морозы под 25 градусов ниже нуля.
Более того, утром следующего дня внезапно объявились дедовы "родственники", вспомнившие про деда только после его смерти и скоропостижно примчавшиеся оформлять новоприобретенное имущество (до этого о наличии родни соседи даже не знали). К сожалению, собаки и кошки в "приобретенное имущество" у таких людей обычно не входят, потому Белку, который настойчиво лез под забор родного дома, настоятельно потребовали деть "куда хотите", а щенков - забрать.

Лицо мужа, когда он обнаружил меня нерешительно мнущуюся под дверью с коробкой с семью комками шерсти, покраснело быстрее, чем рак в кипятке, но тем не менее табор был принят на размещение.
Слава богу, удалось договориться с коллегами-волонтерами, вечером у меня осталось только двое. Остальные отправились на вакцинацию и в карантин пункта размещения бездомных животных, откуда дальше и постепенно разъехались по домам.

Здесь в историю вступают люди. Хотя назвать их так сложно.
Куса нашла первый дом еще до прививки, но через два месяца позвонили и сказали "забирайте, она вырастет огромная!! мы не можем держать такую собаку".
Позиционировалась Куркума как "до 15 кг", а в пять месяцев весила 9. До полугода все щенки растут стремительно, но.. видимо подумали, что вырастет не иначе чем слон. Хотя вроде чихуа и не обещали.. Скорее всего, наигрались.
Вернулась. Уже повзрослевшая и мало кому интересная.
Все ведь хотят маленьких.

Любая собака переживает при расставаниях с семьей и привычной обстановкой, Куса исключением не стала, но тогда это далось ей еще относительно легко.

огромная собака

огромная собака

После возвращения старательно правили страхи, отучались гавкать дома, приучались спокойно оставаться в одиночестве, ничего не грызть, не гонять котов, ездить в транспорте... и, о чудо, в возрасте уже девяти месяцев ее снова заметили.
Хорошая девочка-хозяйка, мама - заводчик шарпеев, об адаптации и возможных "неполадках" в виде возможной беспокойности и вокализации были предупреждены. Собака к тому моменту в целом была довольно социальной булочкой без значимых тараканов.

Ехали на другой конец Москвы, отдавались из рук в руки, подписали договор

Это пристройство, честно, считаю своей большой ошибкой. И это к вопросу, почему волонтеры часто лезут с крайне неуместными и нелогичными вопросами про "пообщаться с остальными членами семьи".
Не учла переменную "муж", а муж наверное был заинтересован только в том, чтобы удовлетворить хотелку жены. Без понимания, что такое собака и как с ней жить.


На вторые сутки, после умилительных фото "лежания с собакой в кровати и чесания за ушкой", в два часа ночи раздался звонок "заберите, она лает", с хозяйскими слезами.
Отдаваясь в лапы разраставшимся до этого сомнениям, срываюсь на такси.
Уже перед подъездом второй звонок: "не надо мы не будем отдавать нам ее жалко"
Прокуковала под открытыми окнами несколько часов (прокуковала - почти буквально, ходила и напевала тихим голосом песни, ведь скучающая собака услышит).. но собачьего лая не было. Совсем. Поехала домой уже на общественном.
В десять утра звонок снова.. снова заберите, снова лает, снова срываюсь на такси по еще не рассосавшимся пробкам.
По дороге хозяева снова передумывают с истерикой в телефоне и "я не хачу чтобы мая девачка плакала" на фоне. Потом передумывают обратно.
Уговорами про дообучение такой "ну прям вообще невоспитанной собаки" забираю.

и кстати да, в ней всего 14 кг

и кстати да, в ней всего 14 кг

После этого Кус вернулась поломанной.
Боится поднятой руки, боится чужих людей, периодически хохлится на мужа, когда он резко выходит из комнаты, а она не успевает узнать. Блондинок не воспринимает вообще.
Один плюс - на прогулке всегда оглядывается, боясь потерять меня из вида и по свисту пулей летит к ноге.
Он же и минус - оглядывается она только потому, что без меня у собаки на улице случается истерика. Оставят и предадут. Опять.

Дома она не лает, даже когда заливается на курьеров вторая, мелкая собака. Прекрасно остается одна в знакомой обстановке.
Принимает как родных всех прибывающих кошачьих и не испортила наверное ни единой вещи.
Да и площадку с барьерами и туннелями бегает, и команды знает...

Что может быть нужно от собаки - я не знаю, но наверное, некоторым лучше завести плюшевую.

Показать полностью 11
Отличная работа, все прочитано!