Серия «Протезирование тбс собаке»

163
Серия Протезирование тбс собаке

Протезирование ТБС собаке. Спустя два месяца

Просто решила поделиться с Вами двумя видео было/стало. На первом видео - Бася перед второй операцией. На втором - на этих выходных буквально. Такое ощущение, что нам вернули не нашу собаку, а дикую молодую волчицу) Она бегает, прыгает, с огромным удовольствием гуляет на большие расстояния, опять хочет играть с собачками и выполнять команды. Мы до сих пор порой не верим, что все позади и собака снова здорова. И видеть ее такой счастливой стоило всех нервов и денег.

Тут видно ,как резко вышла больная лапа из чата, в связи с чем мы максимально оперативно записались на вторую операцию, хотя изначально хотели отложить до весны. Сейчас уже не жалеем об этом.

Хоть половина собаки все еще с оригинальной стрижкой, но к зиме должна обрасти)

Показать полностью 1
58

ПРотезирование ТБС собаке. ч.3

Прошло две недели с момента операции. Рассказываю о ходе восстановления.

На 6-7 день после операции собаке заметно полегчало. Она стала более уверенно ходить по квартире, в глазах появился блеск и общее настроение стало веселым. На прогулках ее все больше стали интересовать дальние дали ,не доступные ей на текущий момент. В итоге мы рискнули увеличить дальность маршрута, т.к. общее состояние лапы не вызывало вопросов. Бася была очень довольна открывшимися перспективами, с удовольствием гуляла, нюхала и делала все свои важные собачьи дела. По лестнице муж по-прежнему носил ее на руках, но препятствия в виде бордюров Бася уже преодолевала сама. Вся забота на прогулках сводилась к тому, чтобы не дать ей скакать слишком резво. В собаке явно появились силы и борзота, так что тянула она ощутимо.

Не обошлось и без косяков, конечно. Оставляя собаку одну дома, мы баррикадировали ее в холле. Вот и в тот раз мы сделали все как обычно. Двери в комнаты, выходящие в холл, были закрыты, а на выходе из холла была сооружена внушительная баррикада из здоровой столешницы, которая ждала своего часа отправиться на дачу, и двух стульев, подпиравших эту столешницу. Таким образом выход перекрывался почти полностью. Надели на Басю воротник и уехали по делам. По возвращению домой эта "хорошая девочка" была обнаружена на диване в единственной открытой комнате. Пока я в ужасе хваталась за сердце, собачка спокойненько встала и спрыгнула с дивана. Тут же было накатано письмо доктору, собака ощупана, осмотрена. Итого минус 500 метров нервных клеток на двоих, плюс седина и довольная собака. Слава богу, обошлось. Но доктор все же попросил тщательнее следить, чтобы подобное не повторялось. Кстати, на мой вопрос на что обратить внимание, если что-то все же пошло не так, он ответил лаконично "лапа повиснет". Как эта волосатая змея в воротнике смогла просочиться сквозь баррикаду до сих пор не понятно. При условии, что вся конструкция стояла как и было задумано, можно предположить, что Бася ее перепрыгнула. Волосы дыбом от одной мысли как у нее это получилось, но тяга к дивану оказалась сильнее. По итогу мы сменили тактику. И теперь собака остается без баррикад, мы просто закрываем все комнаты. Так что владельцам более активных собак на заметку - по прошествии недели после операции собака вполне уже готова к подвигам и надзор нужно усилить.

Ну и второй косяк был не столь существенен. За пару дней до снятия швов Бася смогла найти лазейку в пластыре и всласть нализать шов минут 10-15. Но, т.к. все уже почти зажило, никаких последствий не случилось. Немного покраснела кожа, но на следующий день уже не было и следа.

По итогу вторая неделя после операции прошла значительно проще и комфортней, чем первая. Мы наконец привыкли к новым порядкам и закрыванию дверей, собака привыкла спать в холле, боли прошли, ночь проходила спокойно, а на прогулке с каждым днем она вела себя все веселее и веселее.

Съездили к нашему доктору на снятие швов. Процедура прошла быстро, он тщательно все осмотрел, покрутил лапу, проверил как собака ходит, ответил на все наши вопросы и отпустил на 1,5 месяца до контрольного рентгена.

Из нововведений:

  • Интенсивность и дальность прогулок нужно увеличивать. Минут 30-40 или сколько собака выдержит. В спокойном темпе, с перерывами на отдых, если требуется, но лапу надо расхаживать. Чем быстрее Бася привыкнет к новой лапе и чем быстрее нарастит мышцы, тем лучше.

  • Все еще обязательный контроль. Никаких рывков, бега, резких движений. Исключить контакт с другими собаками. Только на поводке.

  • Бася может сама преодолевать небольшие препятствия - бордюры, пара ступеней. На больших лестницах пока придерживать. Как минимум до конца месяца.

  • При операции стараются минимально повреждать мышцы, но часть все равно режут. Мясо заживает около месяца. Хромота, подергивание лапой, вытягивание, заваливание задницы на данном этапе - норма. Мышцы заживут, нервы привыкнут и все будет хорошо.

Ужас первых дней уже подзабылся, таблетки все доедены, ограничения не так уж и проблемны и жизнь налаживается. особенно после разрешения не носить больше воротник и не заклеивать шов. Самый сложный этап пройден.

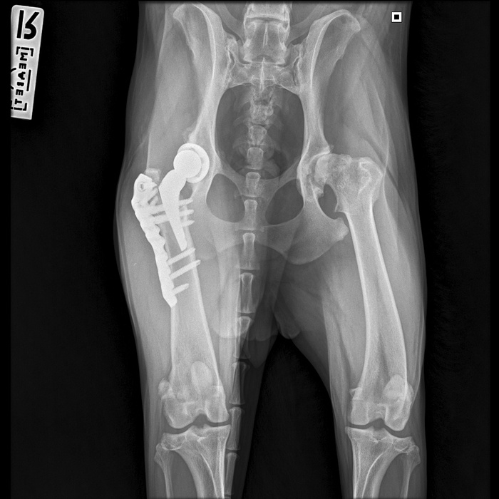
18.08.2025 мы съездили на контрольный рентген. Можно было сделать рентген и в любой ближайшей клинике, но мы предпочли не рисковать. Во-первых, делать снимки нужно было в каких-то особенных проекциях, на которых виден процесс приживления, а, во-вторых, для такого рентгена требовался наркоз. Потому мы решили не искать легких путей и сразу сделать там, где гарантированно все получится в лучшем виде. Так что записались мы в Медвет в Троицке и покатили к 9 утра.

Далее стандартная процедура: разговор с доктором о самочувствии собаки и наличии жалоб, осмотр анестезиологом и Басю забрали. Где-то через час нам вернули ее уже полностью отошедшую от наркоза, сказали, что все у нас хорошо, ограничения с нас сняты и мы можем быть свободны.

Вот как теперь выглядит ее внутренний мир

Что еще могу добавить? Конечно, второй месяц реабилитации был намного проще. Почти без ограничений и проблем. Мы ездили в деревню, на дачу, спокойно гуляли. Да, не контактировали с другими животными и не давали ей особо скакать и прыгать. Но на этом и все. И то, за недели две до рентгена мохнатая коза встретила в деревне зайца и припустила за ним на всех парах. И ничего, даже не хромала. После этого мы поняли, что все у нас хорошо. Да и в целом собака стала заметно активней. Ей больше хочется бегать, прыгать, она делает это легко и с удовольствием. Даже несмотря на то, что вторая лапа еще требует ремонта. Уже разница колоссальна по сравнению с тем, какой была Бася до операции.

П.С. Собирались мы вторую лапу чинить весной, чтобы и собака восстановилась, и мы, и деньги подкопились. Но Бася так не считала. Через неделю после контрольного рентгена вторая лапа вышла из чата. Так что мы спешно записались на самое ближайшее время и 16.09.2025 прооперировали вторую лапу. На данный момент мохнозадая коза восстанавливается и пытается скакать. Но пока нельзя, чем она крайне недовольна Так что ждем полного выздоровления.

Показать полностью 3
38

Протезирование ТБС (тазобедренного сустава) собаке. Часть 2

Продолжаю отчет о протезировании нашей пёсе)

ВНИМАНИЕ! В посте присутствуют фото послеоперационного шва. Мало ли кому это вдруг неприятно!

Басю нам вывели двое врачей. Один вел за поводок ,второй поддерживал на специальной переноске задние лапы. Встреча была душераздирающей, конечно. Бедная пёса кричала в голос и пыталась залезть на руки или впитаться в нас полностью. Но сразу хочу отметить, что это - индивидуальная реакция нашей конкретной собаки. Она с самого щенячества была крайне недоверчива к людям и за все 9,5 лет жизни никогда не оставалась с посторонними. В отпуск и любые поездки она всегда ездила с нами. Потому эти три дня без нас дались ей очень тяжело. И не ела она именно потому. Подозреваю, что другая более эмоционально устойчивая собака будет чувствовать себя более спокойно, т.к. объективно отношение в клинике к пациентам максимально трепетное и нежное. С помощью сотрудников мы загрузили наше сокровище в машину и поплелись домой, т.к. было страшно ее растрясти.

В машине собака немного успокоилась и ее потянуло в сон. Лапу она свою пока побаивалась, плохо ее сгибала и не знала куда деть. Но позу меняла самостоятельно, на кочки и торможение не реагировала. По приезде домой она с удовольствием поела и упала спать. Мы немного выдохнули и начали подготовку квартиры.

  • В выданном нам заключении указано, что на время реабилитации (особенно в первый месяц) необходимо максимально ограничить перемещения собаки. Клетка, вольер или отдельная комната. Т.к. ни клетки, ни вольера у нас нет, было принято решение ограничить ее спальней. Для этого в стратегических местах были разложены лежанки и пледы для мягкости, перенесены с кухни миски. Важно исключить возможность подскальзывания! У нас с этим проблем нет, но убедиться в этом нужно.

  • Строго исключается доступ на диваны и кровати. Никаких запрыгиваний и спрыгиваний. На всякий случай доступ на кровать был забаррикадирован подручными средствами.

К вечеру настал момент первой прогулки. Это было кошмарно. В первую очередь потому, что мы сами не знали как подступиться к собаке и что с ней делать. Вообще самым ужасным временем были первые сутки. Они тяжелее всего. Пока не знаешь что и как с собакой делать, как ходить, как носить, где держать. Но адаптация проходит быстро и к концу первой недели уже уровень комфорта близок к привычному. А на первую прогулку мы шли с шарфом под пузом, придерживая заднюю часть немного на весу, чтобы вес тела не полностью приходился на задние лапы. Собаке это, понятно, было не торт. Она оглядывалась, еле переставляла лапы. На улице быстро сделала все дела и мы понесли эту кракозябру домой. Дома обработали шов, выдали положенные таблетки и все втроем рухнули спать. У собаки явно был отходняк, так что ее срубило моментально.

Шов на четвертый день после операции

Шов на четвертый день после операции

В три часа ночи Бася разбудила нас скулежом. Мы полчаса скакали вокруг, не понимая, что происходит. Может мешает воротник? Сняли. Все равно скулит. Видимо болит лапа! Но обезбол дается 1 раз в сутки в обед. Звонить врачу как-то не нормально посреди ночи. Так бы мы до седых волос пробегали, пока не выяснилось, что собака банально хочет в туалет. Видимо, ужин после суток голодовки запустил перистальтику. Собрались, с шарфами и прочими приблудами выпали на улицу, все сделали и пошли домой. Муж был отправлен спать в другую комнату, чтобы хоть кто-то из нас был на следующий день в сознании, если что. Бася же полежала-полежала и опять запищала. У нее болел животик. Она требовала ее чесать и поглаживать, потому утро я встретила на полу в обнимку с собакой. Неплохо, кстати, спится на полу-то)))

На следующий день я написала в вотсапе хирургу, чей телефон был оставлен в выписке - Байзыханов Серик Кабдыр-Раззахович, оперировавший Басю вместе с Вилковыским. Уточнила что можно давать от боли в животе и правильно ли мы носим задницу на шарфе. И каково же было наше счастье, когда доктор ответил, что в постоянной поддержке нет необходимости. Наоборот, собака должна расхаживать лапу. Резюмирую по прогулкам:

  • Собака должна расхаживаться. Поддержка задней части необходима только в случае преодоления препятствий (лестницы, бордюры) или скользкого, неровного покрытия. Потому, кстати, хорошо делать операцию в теплое время года. Объективно зимой было бы намного сложнее. Плюс еще и половина собаки бритая.

  • Собака гуляет строго на поводке. Настрого исключаются любые намеки на рывки, резкие движения, прыжки и т.д. Только плавная спокойная ходьба. Иначе риск послеоперационных осложнений возрастает в разы. По гарантии вам ее, конечно, починят, но зачем тиранить животинку лишний раз?

  • По той же причине исключаются любые контакты с другими собаками и животными.

  • Нам для удобства контроля скорости передвижения пришлось заказать шлейку. Так проще придерживать собаку. Но это опционально. Кому как удобно.

  • В первые же дни мы заказали специальную переноску под пузо для собаки, но по факту, когда она уже приехала, они и не нужна. По единственной лестнице в подъезде муж спускает ее на руках, либо, если я одна, мне проще взять шарф.

На видео наша прогулка на пятый день после операции. После того, как мы отменили постоянную поддержку, процесс пошел легче и быстрее. На седьмой день прогресс на лицо. Чувствует себя отлично, хоть и много спит под действием лекарств. Но интерес к жизни отличный, бегает контролировать кухню, посматривает с интересом на баррикады на кровати и диване. Ночные побудки прекратились. На вторую ночь пришлось опять ее выводить на улицу, потом был день без стула, но после этого все наладилось и проблем никаких нет.

Да, и еще одно. Оперированная лапа постепенно приобретала жуткий вид. Расползалась багровая гематома и опухала в районе скакалки. Это нормально после такого вмешательства. К концу первой недели отек и синяк полностью сошли. Впереди еще была неделя до снятия швов.

Показать полностью 3 1
58

Протезирование ТБС (тазобедренного сустава) собаке. Часть 1

Пост НЕ рекламный, НЕ агитирующий и т.д. Все - лишь личный персональный опыт.

Далее будет много текста.

1. Предыстория

Зимой 2015 года мы подобрали на пустых дачах замерзающего щенка. Ну, точнее она сама подобралась, придя к нам. История спасения и приобретения этого сокровища - тема отдельного поста, здесь эта информация будет лишней. По итогу мы стали обладателями чистопородной дворняжки. Где-то года два назад мы начали замечать, что Бася иногда прихрамывает на заднюю лапу. Чаще всего это появлялось после долгого лежания на жестком. Похромает пару минут и все проходит. Собаку вроде сильно не беспокоит. Мы несколько раз при случае спрашивали ветеринаров про эту хромоту, но общий смысл ответов сводился к "отстаньте от собаки, это возраст". Вроде выглядело все логично. Особого дискомфорта нет, собака нормально гуляет, ест и прочие дела делает. На жестком спит редко, только летом в жару. Для профилактики периодически давали ей курсами хондропротекторы и на том успокаивались. Да и с возрастом она стала очень спокойной барышней, почти перестала играть с собаками. Так мы и жили спокойно, пока одним непрекрасным апрельским утром Бася с утра не отказалась идти. Она еле переставляла мелкими шажочками задние лапы. Да, потом она расходилась, но мы поняли, что что-то тут не то, срочно потащив ее уже на целенаправленный прием к хирургу.

2. Подготовка к операции

На приеме хирург покрутил и повертел лапы, сделал рентген и сообщил, что ТБС у Баси-то практически и нет. Суставы оба убиты в ноль. Мы, честно говоря, немного обалдели. У нас до Баси был немец и мы знали что такое дисплазия, хотя немец ушел на радугу все же на своих четырех лапах без операций. Но мы думали ,что мы знаем как выглядят больные суставы. Оказалось, что вот эта редкая хромота была вполне себе признаком. Тут мы виноваты, конечно, не досмотрели. Ну и хирургом нам были предложены три тактики дальнейшего лечения. Первая - оставить все как есть. Условно - приложить подорожник в виде все тех же хондропротекторов. Но толку от этого не было бы никакого, так, для собственного успокоения. Вторая - реабилитолог. Походить на плавания, занятия и т.д. Но по честному мнению врача в нашем случае это было бы чуть лучше, чем подорожник. Спасать там было нечего уже. Ну и третий - операция. В этом случае еще 5-6 лет активной жизни у собаки будет. Из минусов - цена. Описав все варианты, доктор отпустил нас, не склоняя и не агитируя ни в какую сторону. За что ему большое спасибо. Конечно, мы были шокированы и испуганы перспективами. Либо обрекать собаку на постоянную боль (а как оказалось, она испытывала постоянную боль уже очень давно) и риск в любой момент получить перелом или травму бедра от любого резкого движения, т.е., фактически, класть собаку спать, или собираться с силами и деньгами и делать операцию. Резюмирую, что решение оперироваться было принято нами с мужем единогласно, т.к. девочку нашу мы любим и хотим ей долгой и счастливой жизни. О нашем решении мы сообщили хирургу и он рекомендовал нам клиники, которые делают подобные операции в Москве. По сути, их всего две.

Наш выбор пал на клинику Медвет по нескольким причинам:

  • Оперирующий хирург - один из авторов системы бесцементного эндопротезирования тазобедренных суставов у животных (все авторы - сотрудники этой клиники)

  • Сеть клиник внушила больше доверия, чем одна клиника

  • Пожизненная гарантия на операцию

  • Ну и решающий фактор - при одинаковой примерно стоимости в Медвете ждать операции нужно было намного меньше времени.

В клинике мне дали электронную почту того самого автора системы Вилковыского Ильи Федоровича (для краткости далее буду писать ВИФ), на которую я и отправила письмо с фото рентгена и описанием проблемы. ВИФ отвечал быстро, очень подробно. Рассказал об операции, о нюансах, сообщил стоимость и перечень анализов, дал ссылку на сайт, где все рассказано про операцию и сами протезы. В итоге записались мы на 16 июня 2025 на операцию, внеся предоплату в 50 т.р.

Оперируют только по одному суставу за раз. Восстановительный период - 60 дней до контрольного рентгена. Но самый критичный - первый месяц.

Дней за 5 до операции мы пошли сдавать общий анализ крови, биохимию и ЭХО. По ЭХО вопросов не было, а вот биохимия пришла с хилезом. Направив данные ВИФ, мы были переадресованы анестезиологу, которая дала комментарии по результатам и направила на пересдачу биохимии с узи брюшной полости. И, хотя нам грозил срыв операции, такой обстоятельный и серьезный подход внушал оптимизм. Слава богу по узи все было хорошо для нашего возраста, кровь пришла почище и нам дали добро на операцию.

3. Операция и первые 3 дня.

Настал день Х. В 9 утра мы были в клинике. Кстати, оперируют только в филиале Троицк. С собой велено было принести только порцию корма на 2-3 дня. Сначала нас принял сам ВИФ, еще раз подробно рассказал о ходе операции, о том как все будет происходить. После осмотр анестезиологом и пёсу забрали.

Дальше опущу все наши страдания и переживания, постараюсь изложить только факты.

  • Выехали из клиники мы около 10 утра. Бася должна была быть первой в очереди на протезирование. Вместе с нами был еще как минимум один пес. Вообще в неделю 4-5 собак оперируются. Так что опыт и практика там богатейшая.

  • Около 15:30 позвонила анестезиолог и сообщила, что операция прошла успешно, собака полностью вышла из наркоза и уже поела.

Вам при оформлении дают памятку как и куда звонить, чтобы интересоваться состоянием собаки. Это телефон стационара. Но нас заранее предупредили, что в день операции самим звонить смысла нет, т.к. собаку переведут из ОРИТа в стационар только ближе к вечеру. Приходилось ждать сообщений

  • Около 22 часов позвонил дежурный врач стационара, сообщила, что Бася уже у них, чувствует себя нормально, поела, погуляла(!) и отдыхает. Рассказала о планируемых процедурах на завтра. Мы выдохнули с мужем и утекли спать.

  • Утром 17.06 пришло сообщение в вотсап о том, как прошла ночь. Оно достаточно сухое, но информативное. Состояние, аппетит, туалетные вопросы, плановые процедуры. После 13:00 можно звонить уже самим в стационар. У Баси все было хорошо кроме отказа от еды.

  • ВИФ прислал на почту видео как Бася гуляет. Да, собака была чумная, заднюю часть поддерживали на переноске, но она шкандыбала своими лапами.

  • Позвонили из стационара - кровь опять была хилезная. Под вопросом была выписка на следующий день. Решили пригласить для консультации гастроэнтеролога. Бася все еще отказывалась от еды и была в стрессе.

  • Утром 18.06 пришло сообщение с самочувствием. Собака все еще отказывалась от еды, но была готова к выписке.

  • В 16:00 мы приехали за Басей.

  • Сначала вышла врач, подробно рассказала все нюансы прибывания в стационаре, отдала заключение гастроэнтеролога (ничего критичного, но надо будет заняться этим вопросом позже). Ну и чуть позже вывели нам с поддержкой, но на своих четырех нашу принцессу.

3. Стоимость

О восстановительном периоде и первых днях дома стоит написать в отдельном посте, а то итак уже простыня неприличная. Но вопрос стоимости я хочу оставить тут. Операция на июнь 2025 года стоила нам 195 000 рублей, 50 т.р. из которых были внесены предоплатой. В эту сумму включена сама операция, протез, три дня стационара, все препараты и т.д. Кстати, даже за консультацию гастроэнтеролога с нас не взяли никакой платы и отдали еще и лекарства, которые Бася получала. Но стоит учесть, что есть доп расходы:

  • предоперационные анализы

  • лекарства, которые нужно будет давать собаке. При чем начинать уже в день выписки. Имейте это ввиду и оставьте себе возможность дойти или доехать до ветеринарной и человеческой аптеки. Мы вет препараты купили в Медвете на месте (ценник вполне нормальный, не задран).

  • Воротник. Нам в нем уже собаку отдали, но мало ли как оно пойдет.

  • Перевязочные материалы. Первые 14 дней минимум 2 раза в день нужно обрабатывать шов хлоргексидином и заклеивать спец пластырем. Это лучше тоже купить заранее.

В общей сложности мы закладываем на оба сустава около 500 т.р. с учетом доп расходов.

Пост пробный. Если будет интересно, то продолжу рассказ о реабилитации и восстановлении)

Показать полностью 2
Отличная работа, все прочитано!