Продолжение поста «Перелом ноги»
Прошло полгода с момента перелома ноги Турина. немного информации о том как идет заживление лошади.
Фото ног без всего, на ноге виден отек, видоизменено копыто. На ногу конь почти не опирается.
Пролежни оставшиеся от гипса, уже почти зажили
Лангету ставили сами, для этого требуется вата рулонная (только в новом веке нашли), бинты обычные и липкие, терамицин. Меняем раз в неделю. Лангету можно снимать, обрабатывать пролежни и давать коже подышать. Это большой плюс.
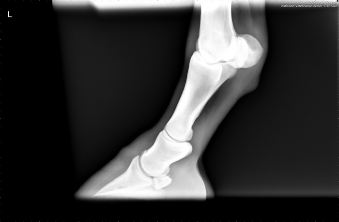
Рентгены ноги
перелом
Сейчас
Здоровая нога для сравнения
Одна из причин такого продолжительного времени срастания кости скорей всего кроется в проседании кости после снятия штифтов. Изначально, при переломе, кость очень сильно просела. На штифтах вытянулась, стали нарастать ткани. Когда штифты сняли ткани не выдержали и кость снова просела. (Их сняли раньше назначенного срока из-за подозрений на проблему с костью). Соответственно все ткани, образовавшиеся за это время, порвались. И с того момента, как кость приняла «окончательную позицию», весь процесс можно сказать пошёл заново...
Нога под всем этим страшно чешется и теперь конечка получает несказанное удовольствие от того, что ему чешут ногу
Передвигается конечно не очень.
Верховым конь не будет! Люди спасают друга. Перелом ноги лошади это все еще ее приговор, современная медицина сделала большой шаг в этом направление, однако на выходе мы все равно получаем полного инвалида
p.s. случайно опубликовала пост без редакции, удалила, поэтому бм немножко ругается













